种植牙——我们的“第三副牙”
原创 口腔科 复旦大学附属眼耳鼻喉科医院
除了众所周知的乳牙、恒牙我们可能还会有“第三副牙齿”
“第三副牙齿”——人工种植牙人的一生有乳牙、恒牙两副牙齿。恒牙掉一颗少一颗,现代医学虽不能让掉落的恒牙再生,但人工种植牙能修复恒牙缺失,重建咀嚼功能,提高人类生存质量,因此可谓是我们的“第三副牙齿”。
近三十年来,种植义齿在临床广泛应用并取得良好效果,在欧美发达国家缺少牙齿的患者首选修复中占到了50%以上。口腔种植修复10年成功率在上颌达到80%,下颌达到90%。
一
什么是种植牙?
种植牙,是把经过精密设计并和人体兼容性高的纯钛金属制成类似牙根形状,然后通过种植牙手术将其植入缺牙区的牙槽骨中。种植牙手术经过3个月后,当牙槽骨和人工牙根紧密结合时,就可以在人工牙根装上烤瓷牙冠,最终修复牙齿。在牙槽骨中的种植体就相当于我们天然牙的牙根,由于它可以和牙槽骨紧密地生长成一个整体,所以能够稳定地支撑并固定露出牙龈外的假牙。现代种植牙技术经过数十年的发展,已经成为缺牙后的理想修复方法,并且适合于大多数缺牙患者。
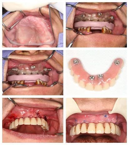
下图是一个在我院种植牙的实例——
种植过程
种植前
种植后二
种植牙相比传统修复方式的优势
1、接近天然牙外观,美观舒适
种植牙最接近天然牙的外观,体积较小,不像活动假牙需要必备基托与卡环,更加美观,也没有由于大面积塑料的基托而导致的味觉迟钝及不舒适感。
种植牙没有基托与卡环等结构,因此口腔内没有异物感,舒适感优于其他传统假牙,对发音影响小,也便于口腔清洁维护。
2、咀嚼效率大幅提高
种植牙的咀嚼效率较传统假牙有大幅度提高。种植牙是将人工牙根植入牙槽骨中,并通过骨结合紧密连接在一起,种植牙的稳固牢靠不言而喻,就像真牙一样在口腔里扎根,可以承受正常的咀嚼力量,可以像真牙一样吃东西。
3、无需磨损正常牙齿
不需要磨损缺牙周围的正常牙齿,这是种植牙一个很大的优势。拿烤瓷桥来举例对比,烤瓷桥需要把缺牙处两边的健康牙磨小,这样去掉健康牙的一部分十分可惜。而种植牙是直接将种植牙体植入,因此不会对邻牙造成损伤。
4、适应范围广
种植牙适应范围广也是它的一个显著优势。以前牙齿缺失的患者只能选择装上活动假牙,但是活动假牙相比种植牙在舒适、美观、自洁能力及咀嚼功能等各方面都不是很令人满意,而种植牙通过植入的方式使患者获得了稳固的义齿修复,对于某些用传统假牙修复困难或效果不佳的患者更具优越性,对于部分患者,还有恢复面部外形的良好效果。
三
口腔种植要经历的过程
按照种植时间可分为即刻种植和延期种植。
即刻种植
延期种植
VS
即刻种植是指患者在拔除患牙后立即植入种植体的方法,即刻种植比较方便快捷,能缩短疗程和降低牙槽骨的吸收,但种植体在拔牙窝内和骨组织不能很好地贴附,而且牙龈伤口关闭相对比较困难,容易造成感染。
延期种植是在拔牙后一段时间,一般是三个月以后牙槽骨的伤口愈合以后再植入种植体的一种修复方式,这种方法相对来讲比较成熟、安全,不容易引起术后感染。
广义的种植修复包括种植外科的术前准备、种植外科手术、种植义齿的冠上制作及戴入和种植义齿的维护等过程,种植修复治疗程序较为复杂,周期较长,并且需要长期维护,患者应在修复前清楚地了解整个种植修复过程可能出现的问题,以更好地配合医生。
1、身体检查
做必要的全身和口腔检查,拍X线或CT检查,包括牙槽骨状况检查(X射线检查)、身体骨密度测量、血压、血糖等常规检查。医生会根据缺失区的骨质和骨量,以确定是否适合手术,再制订相关的方案。
2、量身设计
根据身体检查及牙齿情况,设计种植牙策略后开始准备人工种植牙。
3、植入种植牙种植体
方案既定,即在专门的无菌室,在局麻下,在缺牙部位的牙床上作个小切口,用种植机在牙槽骨制备孔洞,将人工材料制作的种植体植入上颌或下颌缺牙部位的牙槽骨内。10天后拆线,经医生调整后原来的假牙可继续佩戴。
4、安装种植牙基台
种植手术3个月后,种植体与颌骨形成骨结合后,手术只是在局麻下用特制的手术器械在植入种植体相对应的牙龈上旋切一个小口,暴露种植体上端后,安装牙龈基桩,即将植入颌骨的种植体穿出牙龈。
5、安装种植牙烤瓷牙冠
基台安装后7-10天,即可修复取模,制作种植桥架及假牙。再过10天左右完成,试戴成功后即可佩戴种植假牙。
四
种植病人术前术后须知
需特别注意的疾病
如口腔内有龋齿或不良修复体或其他口腔疾病,须在种植手术之前治疗。长期服药的慢性病患者(例如心血管疾病)或服用骨质疏松症药物的患者在手术前务必告知医师,是否需要停药。糖尿病患者须做好血糖监测,以免造成低血压而昏迷。
术前注意事项
术前一周口腔清洁,保持口腔卫生;避免抽烟及喝酒;停戴种植区义齿。必要时术前一天开始口服抗生素以预防感染。手术当天尽量避免化妆,不可饮用任何含咖啡因的饮料。手术前按时适量用餐并保持愉快的心情。如有身体不适要提示医生,以免影响手术。女性应避过生理周期。
术后注意事项术后咬棉球或纱布30分钟止血。术区会有些微肿胀及疼痛属正常现象,可按医嘱服用止痛药物减轻疼痛。如做植骨手术术后可能肿胀较明显,一般术后第三日开始消肿。术后24小时内冷敷,每次约15分钟,每日4-5次,以减轻肿胀疼痛。
术后24小时内不刷牙,进流质食物,以免刺激术区出现肿胀疼痛。餐后可用漱口液含漱1-2分钟以保持术区清洁。注意休息,切忌做剧烈运动。上颌窦提升术后五日不要乘坐飞机,以免飞机起降时产生负压损伤上颌窦,尽量控制打喷嚏。若手术区有持续红肿或疼痛,请回医院诊治。
六
种植系统介绍
目前国际上主流的种植系统都来自于发达国家,包括瑞士、德国、瑞典、美国和韩国。优秀的种植系统必须有严格的种植质量控制,多样化的修复选择,完善的病例跟踪和不断发展的系统设计为基础,所以种植修复相当大的一部分费用都来源于材料费,但随着各个种植系统的不断发展和相互竞争,费用应该有所下降,种植修复普及的时代应为期不远了。
我院口腔科多年来在临床上一直使用的种植系统,其以操作的简单性及人性化得到越来越多的口腔种植医生的认可。
近期随着我院宝庆路分院的装修重建,口腔科无论是在诊室布局、设施设备都处于目前上海领先水平,口腔种植在原有基础之上又增加了许多新的治疗项目。
日前,我们利用CBCT和计算机辅助设计完成了利用手术导板的上半口即刻种植、即刻修复项目,种植当天,患者就有义齿戴入口腔,基本满足咀嚼功能,极大地改善了无牙颌患者长期佩戴活动义齿造成的不便和困扰,大大地提高了生活质量和信心,真正成为我们的“第三副牙”。
“口腔健康,全身健康”又遇春暖花开,大地复苏,新芽破土
作为口腔卫士我们把“第三副牙”奉献给您
希望大家健康生活,笑口常开!
供稿、供图 | 口腔科 苏怡
原标题:《种植牙——我们的“第三副牙”》

