人类相比猿类如何发育出更大的大脑
原创 丛林 CellPress细胞科学
生命科学Life science作为世界领先的全科学领域学术出版社,细胞出版社特与“中国科学院青年创新促进会”合作开设“青促会述评”专栏,以期增进学术互动,促进国际交流。
2021年第十期(总第47期)专栏文章,由中国科学院脑科学与智能技术卓越创新中心助理研究员 中国科学院青年创新促进会会员 丛林,就Cell 中的论文发表述评。
长按图片扫描二维码阅读论文人类相对于灵长类动物最显著的特征之一是拥有一个更大的大脑。人类大脑的神经元总数大约是小鼠的1000倍,而且是所有灵长类动物中最多的,大概是我们的近亲黑猩猩和大猩猩的3倍。自人类与其他类人猿分离以来,人类的大脑经历了快速的演化扩张,但是人类这种独有的扩张机制尚不清楚。那么为何人类可以发育出更大的大脑呢?
最近,来自英国医学研究理事会,分子生物学实验室的Madeline Lancaster研究团队,就这一问题在Cell上发表了题为“An early cell shape transition drives evolutionary expansion of the human forebrain”的研究论文。该研究使用人类、大猩猩和黑猩猩的大脑类器官模型,发现了类人猿的神经祖细胞会经历一个新确认的细胞形态过渡状态,人类大脑在该状态的持续时间会延长,该差异是人类大脑比猿类更大的基础。研究者确定了造成这种差异的主要基因,被称为“ZEB2”,其在猿类大脑中开启的时间比人类要早。为了测试该基因对猿类的影响,他们推迟了ZEB2的表达,这减缓了神经祖细胞的成熟,使得猿类的大脑类器官变得越来越像人类。相反地,ZEB2基因过早的表达会导致人类的大脑类器官发育地更像猿类。研究者也指出,虽然这个研究结果来源于大脑类器官模型,不能完全代表真实的具有成熟功能的大脑,但是关于进化学的基本问题,这些培养皿中的大脑组织在大脑发育的关键阶段显示出了一个前所未有的图像,这对人们学习和理解大脑发育过程具有重要意义。
亮点
1. 在神经发生之前,人类大脑类器官就比猿类要大了。
2. 类人猿的神经前体细胞经历了一个新确认的细胞形态过渡状态。
3. 细胞形态延迟向过渡状态转变,细胞周期更短共同导致人类大脑更大。
4. 在细胞形态过渡状态中,ZEB2是调控因子。
背景介绍
我们对哺乳动物大脑发育原理的理解大多来自对小鼠的研究。小鼠在发育早期E10期,细胞会经历从神经上皮(NE)细胞到放射状胶质(RG)细胞的转变,然后开始进行神经发生[1]。在此转变之前,NE细胞具有很强的上皮性,呈现圆柱状形态,并以对称增殖方式分裂。在NE转变成RG细胞后,会丧失一些上皮功能,细胞会变薄和伸长,转变为非对称方式分裂,变得更加分化并且远离脑室区域[2]。这种细胞命运的转变导致了细胞扩张从切向到径向的变化,从而对发育后期生成的脑结构产生重大影响。虽然这种NE向RG细胞的转变已经在小鼠上进行了研究,但是它在人类和猿类上是如何发生的现在仍然完全未知。
尽管在神经发生之前,NE向RG细胞的转变在发育过程中扮演着很重要的角色,但灵长类动物与啮齿类动物在进化机制上是有差异的。在与人类大脑有关的研究中,一方面,在神经发生之前,人类的前脑已经比小鼠和猕猴大了,这表明NE细胞的扩张存在物种差异性。另一方面,比较成年灵长类动物的大脑形态,显示其皮层不均匀增厚,在猿类中尤为明显[3]。考虑到皮层是随着时间的推移而连续生成的,这表明人类和猿类的皮层在神经发生后都会发生扩张事件。另外,将人类大脑与猿类大脑进行比较后发现,人类大脑的大小普遍增加,但大脑皮层的特定层没有发现扩张[4]。这意味着,灵长类动物皮层的扩张可能受到发育早期和晚期变化的共同支配,而人类独有的变化可能发生在皮层神经元产生之前。因此研究人类和猿类在神经发生前,NE向RG细胞转变窗口期的发育过程将会提供非常有用的信息。
主要结果
1. 人类端脑类器官的组织结构在神经发生前显示出差异。
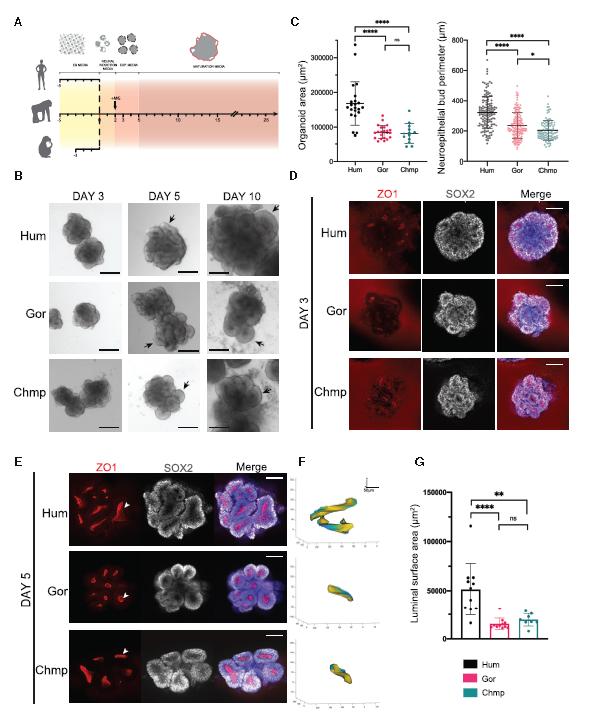
▲图1 人类、大猩猩和黑猩猩的大脑类器官的发育差异研究者从人类、大猩猩和黑猩猩的细胞系中生成了各自的大脑类器官。确立了最优的方案,产生具有可比性的高度相似的端脑组织,并对所有物种使用了相同的条件(图1A),这样得到的差异才是物种间的差异。成像结果显示,在端脑神经上皮芽(黑色箭头)形成及扩张的阶段,人类的大脑类器官始终比猿类的更大(图1B和C)。在诱导后第3天,不同物种的细胞大小和组织结构相似。然而,在第5天。猿类的大脑类器官表现出更圆形的端脑芽,而人类的大脑类器官表现出更多拉长的神经芽。免疫荧光显示(图1D和E),在第5天,人类的大脑类器官比猿类能够形成更大的腔(图1F和G)。
2. 从NE向RG细胞的转化过程中包括一个细胞形态过渡状态tNE,该状态在人类中延迟发生。
▲图2 人类的大脑类器官在tNE阶段发生延迟研究者发现两种动物的NE细胞在第3天表现出相似的形态,细胞尖端的表面积很大。到第10天,两种动物都表现出了完全的转变,细胞尖端收缩,表面积均减少了7倍(图2A和B)。这种尖端收缩的过渡状态,被称为tNE阶段。然而,在tNE阶段人类的NE细胞转变发生了延迟,在第8天的细胞尖端表面积与猿类在第5天的更接近。人类与猿类相比,会更慢的转变到尖端完全收缩的形态, 它发生在RG细胞的细胞特性和神经发生特性改变之前。在此阶段,人类NE细胞的核迁移较短(图2C、D和E),细胞周期较短(图2G)。这些发现共同表明,在人类的大脑类器官中,NE细胞尖端收缩转变的延迟会产生更大的祖细胞簇,从而预期神经元数量的增加(图2H),最终形成的拓扑结构会不同,大脑会更长更大(图2I)。
3. 调控ZEB2表达和下游信号导致种间拟表型。
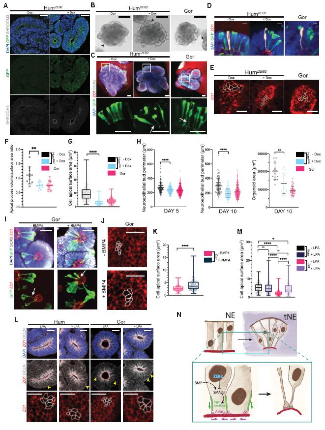
▲图3 ZEB2驱动细胞连接重塑研究者通过生物信息学分析筛选出NE向RG细胞转化过程中与细胞形态发生相关的基因表达,并验证了ZEB2是tNE阶段的调控因子。通过早期诱导ZEB2表达(图3A),第3天,未诱导的HumiZEB2、诱导的HumiZEB2和大猩猩的大脑类器官的形态难以区分。在第5天,诱导的HumiZEB2类器官产生的神经上皮芽在形状上更接近大猩猩,看起来更小更圆,而未诱导的HumiZEB2类器官的神经上皮芽具有更长的形状,具有典型的人类大脑类器官特征(图3B、C、D、E、F、G和H)。这些发现表明,ZEB2在人类类器官中的过早表达足以重现大猩猩类器官中所见的tNE细胞形状的过早改变。反之,大猩猩的大脑类器官可以通过操纵SMAD信号来获得更类似人类的表型(图3I、J、K、L和M)。另外,ZEB2的调控机制是改变细胞-细胞连接和尖端收缩,从而驱动细胞形态变化,这种变化正是tNE阶段的特征(图3N)。
本文参考文献
[1] Kriegstein, A., and Alvarez-Buylla, A. (2009). The glial nature of embryonic and adult neural stem cells. Annu. Rev. Neurosci. 32, 149–184.
[2] Calegari, F., Haubensak, W., Haffner, C., and Huttner, W.B. (2005). Selective lengthening of the cell cycle in the neurogenic subpopulation of neural progen itor cells during mouse brain development. J. Neurosci. 25, 6533–6538.
[3] Sousa, A.M.M., Meyer, K.A., Santpere, G., Gulden, F.O., and Sestan, N. (2017). Evolution of the Human Nervous System Function, Structure, and Development. Cell 170, 226–247.
[4] Hutsler, J.J., Lee, D.G., and Porter, K.K. (2005). Comparative analysis of cortical layering and supragranular layer enlargement in rodent carnivore and primate species. Brain Res. 1052, 71–81.
论文摘要
自人类与其他类人猿分离以来,人类的大脑经历了快速的演化扩张,但是人类这种独有的扩张机制尚不清楚。在本研究中,研究者使用人类、大猩猩和黑猩猩的大脑类器官来研究驱动大脑扩张的发育机制。发现类人猿的神经上皮细胞分化是一个旷日持久的过程,其中涉及一个以前未被认识到的过渡状态,其特征是细胞形态的变化。此外,在人类的大脑类器官中这种过渡转变会发生延长,期间细胞核迁移与细胞周期长度与猿类都有所不同,这共同导致了人类的大脑类器官会变得更大。RNA转录组测序结果揭示了细胞形态转变过程中转录因子表达量的动态差异,其中一种已知的上皮-间充质转化调节因子ZEB2扮演了很重要的角色。研究表明,ZEB2会促进神经上皮细胞的转变,对其调控会在人类微环境中获得猿类的结构,反之亦然。该研究确立了神经上皮细胞形态在人类大脑扩张过程中的重要作用。
The human brain has undergone rapid expansion since humans diverged from other great apes, but the mechanism of this human-specific enlargement is still unknown. Here, we use cerebral organoids derived from human, gorilla, and chimpanzee cells to study developmental mechanisms driving evolutionary brain expansion. We find that neuroepithelial differentiation is a protracted process in apes, involving a previously unrecognized transition state characterized by a change in cell shape. Furthermore, we show that human organoids are larger due to a delay in this transition, associated with differences in interkinetic nuclear migration and cell cycle length. Comparative RNA sequencing (RNA-seq) reveals differences in expression dynamics of cell morphogenesis factors, including ZEB2, a known epithelial-mesenchymal transition regulator. We show that ZEB2 promotes neuroepithelial transition, and its manipulation and downstream signaling leads to acquisition of nonhuman ape architecture in the human context and vice versa, establishing an important role for neuroepithelial cell shape in human brain expansion.
向下滑动阅览摘要原文
中文内容仅供参考,请以英文原文为准
述评人简介
丛林中国科学院脑科学与智能技术卓越创新中心 助理研究员
中国科学院青年创新促进会会员
丛林,中国科学院脑科学与智能技术卓越创新中心,神经光学成像研究组,助理研究员。主要研究内容是针对各种模式生物(斑马鱼、小鼠、狨猴)大脑,优化设计与自主搭建与之适合的显微成像系统,并开发新的成像技术。曾在eLife, Nature Biotechnology等杂志发表论文,获授权专利2项。2020年入选中国科学院青年创新促进会。
Lin Cong is a research assistant in Laboratory of Optical Neuroimaging, Center for Excellence in Brain Science and Intelligent Technology, Chinese Academy of Sciences (CAS). His research mainly focuses on optimal designing and building suitable microscopic systems for imaging the brains of various model organisms (zebrafish, mice, marmosets), and developing new imaging technologies. His work has been published on eLife, Nature Biotechnology journals, and he has been granted two patents. In 2020, He was selected as a member of Youth Innovation Promotion Association of CAS.
中国科学院青年创新促进会(Youth Innovation Promotion Association,Chinese Academy of Sciences)于2011年6月成立,是中科院对青年科技人才进行综合培养的创新举措,旨在通过有效组织和支持,团结、凝聚全院的青年科技工作者,拓宽学术视野,促进相互交流和学科交叉,提升科研活动组织能力,培养造就新一代学术技术带头人。Youth Innovation Promotion Association (YIPA) was founded in 2011 by the Chinese Academy of Science (CAS). It aims to provide support for excellent young scientists by promoting their academic vision and interdisciplinary research. YIPA has currently more than 4000 members from 109 institutions and across multiple disciplines, including Life Sciences, Earth Science, Chemistry& Material, Mathematics & Physics, and Engineering. They are organized in 6 discipline branches and 13 local branches.

