超声心动图看不懂?从原理到检验单数值一文理清
原创 小白 医学界心血管频道
*仅供医学专业人士阅读参考
超声心动图,这么学,报告完全能看懂!
超声心动图是一个很庞大的知识体系,我国目前的临床环境对于一名合格的心内科医师而言,不要求掌握心脏彩超的操作,但是对于超声心动图的基本原理、不同切面上的结构、基本的超声结果的解读应有一定了解,接下来一起学习吧!
要点概述:
超声各个切面,从0开始学基础!
超声常用数值,教你看懂报告单!
超声专业应用,疾病超声怎么判!
一、二维超声切面图
首先需明确经胸超声心动图的流程及基本概念,声窗是指超声探头在心前区放置的位置(这个位置是一个大概的范围,根据不同病人的情况需要进行相应的调整,直到图像显示清楚),确定好声窗后,通过调整超声探头的角度,可以打出不同的切面,进而得到二维超声心动图图像,二维超声心动图实时显示心脏和大血管的断面图像,下面主要介绍常用的标准切面,
四个常用声窗
不同声窗下的各切面汇总1. 胸骨左缘区声窗常用切面
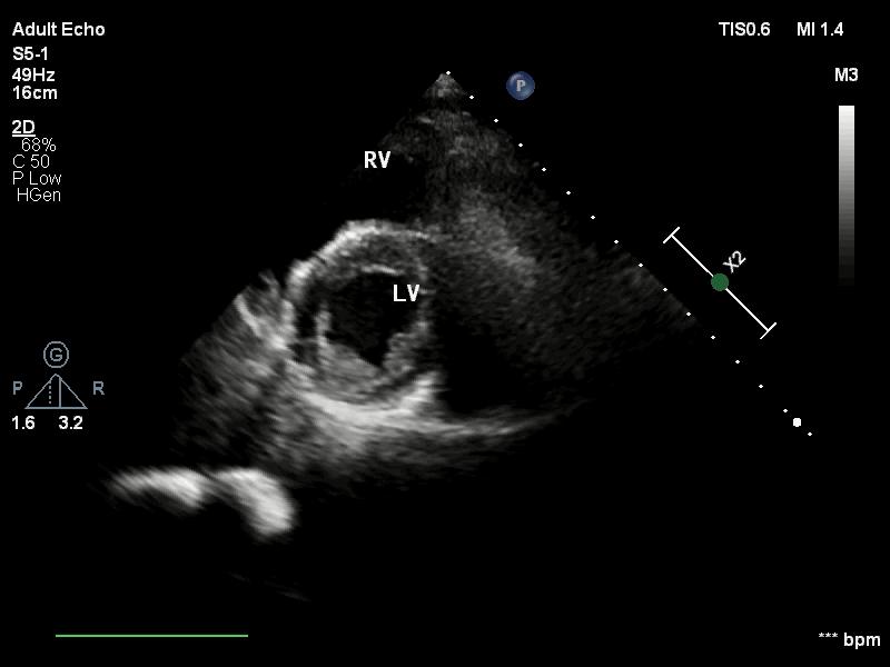
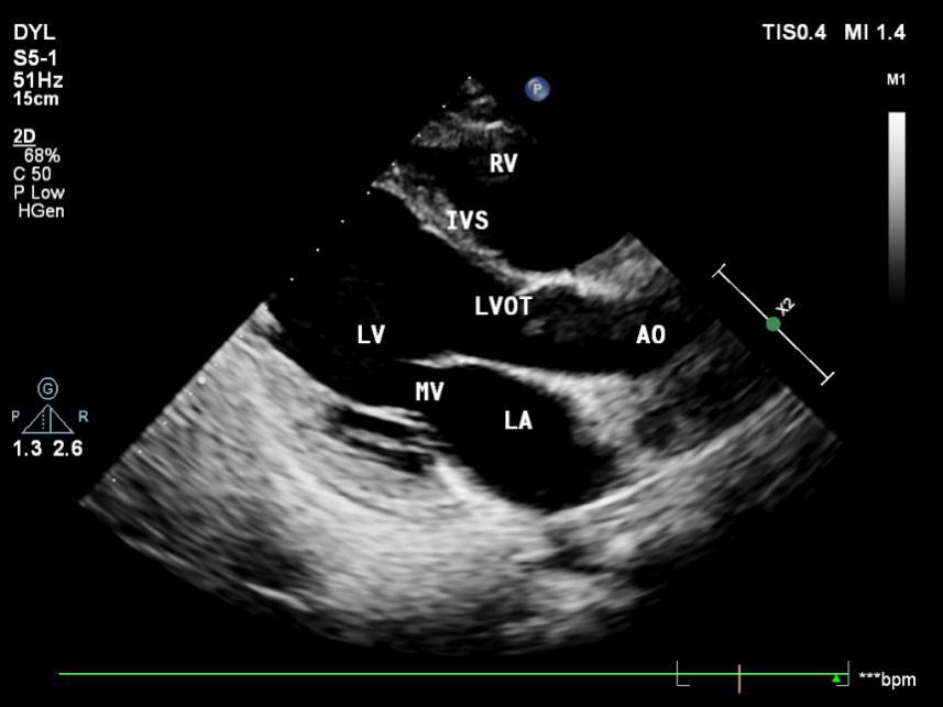
1.1胸骨旁左室长轴切面
胸骨旁左室长轴二维超声胸骨旁左室长轴二维超声
LA:左房 LV:左室 RA:右房 RA:右室;
MV:二尖瓣 TV:三尖瓣 AV:主动脉瓣;
AO:主动脉 LVOT:左室流出道;
IVS:室间隔。
1.2胸骨旁左室短轴切面
1.2.1主动脉瓣水平
胸骨旁左室短轴切面主动脉瓣水平二维超声胸骨旁左室短轴切面主动脉瓣水平二维超声
LA:左房 LV:左室 RA:右房 RA:右室 PA:肺动脉;
MV:二尖瓣 TV:三尖瓣 AV:主动脉瓣;
AO:主动脉 LVOT:左室流出道 RVOT:右室流出道;
IVS:室间隔 IAS:房间隔。
1.2.2二尖瓣水平

胸骨旁左室短轴切面二尖瓣水平二维超声胸骨旁左室短轴切面二尖瓣水平二维超声
1.2.3乳头肌水平
胸骨旁左室短轴切面乳头肌水平二维超声1.2.4心尖水平
胸骨旁左室短轴切面心尖水平二维超声胸骨旁左室短轴切面心尖水平二维超声
2. 心尖区声窗常用切面
心尖区声窗常用切面2.1心尖两腔心切面
心尖两腔心切面二维超声心尖两腔心切面二维超声
2.2心尖三腔心切面
心尖三腔心切面二维超声2.3心尖四腔心切面
心尖四腔心切面二维超声心尖四腔心切面二维超声
2.4心尖五腔心切面(第五腔为主动脉)
心尖五腔心切面二维超声心尖五腔心切面二维超声
3. 剑突下区声窗常用切面
3.1剑突下四腔心切面
剑突下四腔心切面二维超声剑突下四腔心切面二维超声
3.2剑突下双房心切面
剑突下双房心切面二维超声剑突下双房心切面二维超声
4. 胸骨上区声窗常用切面
胸骨上区主动脉弓长轴切面
胸骨上区主动脉弓长轴切面二维超声心动图胸骨上区主动脉弓长轴切面二维超声心动图
AAO:升主动脉 RACH:主动脉弓 DAO降主动脉
RPA:右肺动脉INA:头臂干 LCCA:左颈总动脉 LSCA:左锁骨下动脉
二、参考值
在各个切面上找到不同的房、室、大动脉等结构后,通过机器的不同测量功能,得到M超、多普勒超声(包括彩色多普勒(CDFI)、频谱多普勒(PWD+CWD)、组织多普勒(DTI),其中彩色多普勒观测瓣膜反流程度,频谱多普勒测量各瓣膜反流速度、压差及瓣口面积等,组织多普勒用于评价心脏舒张功能等)图像及不同的数据,这些数据便是我们临床上常用的。
1.左室大小、质量、功能正常值参考范围
2.右室大小、质量、功能正常值参考范围
3.心房大小正常值参考范围
4.血流动力学指标正常值参考范围
表1 心功能指数评价表SV(ml)
CO(L/min)
CI(L/min/ cm2)
男
70-90
4.5-6.0
2.8-3.7
女
50-80
3.5-5.0
2.3-3.5
5.舒张功能分级
表2 舒张期功能分级
三、超声心动图诊断疾病举例分析1.冠心病
诊断要点
(1)节段性室壁运动异常。
(2)心腔扩大。
(3)心功能异常。
(4)心梗并发症:缺血性二尖瓣关闭不全、真性和假性室壁瘤形成、血栓形成、室间隔穿孔、左室游离壁破裂、梗死后心包积液等。
图室壁瘤形成2.高血压性心脏病
诊断要点
(1)高血压史;
(2)左心室壁向心性,对称性肥厚,心肌收缩活动较正常增强;
(3)失代偿期时,运动幅度减小;
(4)高血压性心脏病左心室舒张功能异常可早于室壁肥厚,当室壁肥厚时多有舒张功能异常。
3.二尖瓣狭窄
诊断要点
(1)瓣膜尤其是瓣尖增厚、开口减小。
(2)二尖瓣口开口面积<2.0 cm2。
(3)M型显示瓣膜增厚,EF斜率减低甚至消失呈“城墙样”改变,前、后叶呈同向运动。二尖瓣狭窄程度的定量分析
表3 二尖瓣狭窄程度评估
本文首发:医学界心血管频道本文作者:小白
原标题:《超声心动图看不懂?从原理到检验单数值一文理清!丨内附动图视频》

