女明星代孕生俩娃?“借腹生子”的买卖,远比你想象得残酷……
健康时报
权威健康资讯,因专业而信赖!
这两天,女演员郑爽在国外代孕的事件,引起吃瓜群众的关注。
1月18日,其前男友张恒发布微博称,目前自己滞留美国,是因为需要“照顾并保护两个年幼无辜的小生命”,并晒出一张他抱着两个小孩的照片。①
张恒和郑爽(右)
张恒和两个孩子两个小孩的身份迅速引起网友热议。根据张恒朋友提供的孩子出生证明显示,这两个孩子的生物学母亲(提供卵子者)疑似是女演员郑爽。
1月18日晚间,一份疑似郑爽和其父母与张恒父母的对话录音曝光,疑似郑爽一方甚至还提出“弃养”“打胎”。
1月19日,郑爽发微博回应“代孕风波”,称“这是我非常伤心和私密的事情。在中国国土之上我没有违背国家的指示,在境外我也更是尊重一切的法律法规。”还称屡遭曝光隐私的勒索。①
事实上最近以来,“代孕”的话题已多次登上热搜。先是陈凯歌导演的短片《宝贝儿》,撕开了代孕背后的伦理禁忌和法律问题,人民法院报甚至点名提醒:我国明确禁止代孕行为。
这次女演员郑爽被曝出“代孕生子”后,1月18日“@紫光阁”、“@共青团中央”等官方微博共同发文:“我国明令禁止!关于代孕的这些风险需要了解!”
1月19日,央视新闻发表评论称,“代孕在我国被明令禁止,其对生命的漠视令人发指......如此践踏底线,法律难容,道德难容!”
在代孕产业中,弃养、孩子出生后拒绝抚养的情况还有很多。甚至在大学校园随处可见的代孕、捐卵的广告,将那些渴望金钱的女孩子拖入伤害自己、为人代孕的深渊。
2020年4月,微博曝光了在广州的一个代孕机构——“从业超过10年,经手400多个代孕婴儿”,“保证合法落户”,提供“同母异父的双胞胎亲兄妹方案”,号称“供卵代孕一条龙,88万包成功”。
然而事实上,代孕不仅面临着道德伦理问题,还可能对供卵者、孕母造成无法挽回的伤害。
我国明令禁止代孕,
暗藏巨大风险!
代孕,俗称“借腹生子”。原卫生部2001年《人类辅助生殖技术管理办法》和2003年颁布的《人类辅助生殖技术与人类精子库伦理原则》,明确规定“医疗机构和医务人员不得实施任何形式的代孕技术”。
国内医疗机构禁止实施代孕,但仍然还会有一些地下机构开展违法代孕。
2019年7月法制日报报道,据不完全统计,目前全国的代孕中介已达400多家,大多属于“地下交易”,并因此造成代孕市场收费较为混乱。②
一般情况下,挑选卵子价格为6万元至10万元左右;代孕价格则按照不同档次定价,有不包成功的、包成功的、包生儿子的等,价格也从40万元至135万不等。②
而每一个“代孕妈妈”的背后,都是迫于生活的无奈和巨大的风险。
中国医学科学院生命伦理学研究中心主任翟晓梅2018年在澎湃新闻表示,妇女与妊娠有关的死亡率很高。中介不会告诉代孕母亲,给别人怀孕,有可能给她们躯体上、心理上带来长期风险。③
在代孕市场中,
女性的卵子、子宫都被明码标价
在代孕的产业链中,女性的卵子、子宫被作为一种商品明码标价。长相、身高、学历……这些条件让她们的“生殖功能”标价各有差异。
这些女性,被一次“捐卵、怀孕”就可以赚取“巨额”报酬所吸引,不惜铤而走险。
然而,在这个“商品交易”之前,没有人告诉这些“卵妹、代孕妈妈”,这几万块钱,到底会有些什么风险。
1. 对“卵妹”的伤害
提供卵子的第三方又被称为“卵妹”。
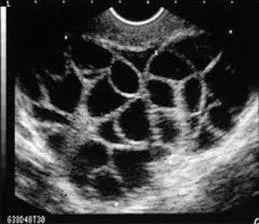
【取卵】
取卵的方法如下图,在超声的引导下,用长针穿过阴道壁,直接伸到卵巢,再将成熟的卵子一颗颗抽出。④
【卵巢过度刺激综合征】大部分正常生育年龄女性,每个月经周期仅排卵1个成熟卵子。
复旦大学附属妇产科医院邹世恩主任医师2018年在澎湃新闻表示,正常的辅助生殖仅会取8~15个卵。⑤
而这些灰色机构,为了让一次取卵获得二三十个甚至更多卵子,会让“卵妹”们打促排针,促使卵细胞成熟。随之而来的潜在的风险就是“卵巢过度刺激综合征”。
充满卵泡的卵巢患有“卵巢过度刺激综合征”的女性,可能会有不同程度的腹胀、恶心、呕吐、腹泻、体重快速增加、少尿或无尿、血液浓缩、血容量不足、电解质紊乱、胸腔积液、心包积液、腹腔积液、呼吸窘迫综合征,伴血栓形成倾向的高凝状态及多器官功能衰竭。④
而且,增大的卵巢如果发生卵巢扭转或卵巢囊肿破裂、出血等并发症,必要时也要采取手术治疗,有可能影响女性的生育功能。
对于出现“卵巢过度刺激综合征”的“卵妹”,代孕黑中介会给一小笔钱作为“营养补偿”。但实际上,这点钱连看病都不够。
2. 对代孕妈妈的伤害
除了“卵妹”的风险,代孕妈妈同样面临着风险。
如,黑中介所提出的“双胞胎”,为了增加胎儿的数量,怀上多胎会导致母亲患妊娠高血压、先兆子痫、贫血、妊娠期胆汁淤积综合征的风险升高。
有媒体报道中,代孕黑中介称:如果代孕妈妈难产致死亡、怀孕致死亡,或者导致以后不孕,都与客户无关。
此前,他们机构就有代孕妈妈分娩后不能再生育,黑中介给了一大笔钱作为补偿。④
海外代孕,
一样会面临伦理问题
然而,很多人选择非法机构、选择出国代孕,以为这样可以免于法律责罚。但其面临的伦理问题始终无法回避。
代孕对供卵者、代孕妈妈所造成的伤害,只要用钱就可以解决。将女性物化,将子宫和生殖功能变成商品,将怀孕变成交易。
生出来的孩子如果有缺陷,就可以当作商品“退货”,甚至“客户”自己不想要了,就“退货”。
非法代孕,美其名曰满足一部分人“不想怀孕、但想拥有自己的孩子”的愿望。实际上是在挑战人性与道德的底线。
原标题:《女明星代孕生俩娃?“借腹生子”的买卖,远比你想象得残酷……》

