中国医大一院首次完成机器人辅助三叉神经痛手术
2021-01-19 09:45
辽宁
三叉神经痛又称“天下第一痛”,常被误诊为牙痛。发病初期服用药物可以缓解,随着病情进展,药效逐渐变差,患者疼痛难耐。
近日,在神经外科主任吴安华教授带领下,神经外科首次采用先进的机器人立体定向技术成功为3位三叉神经痛患者实施经皮穿刺三叉神经半月节微球囊压迫术,术后患者疼痛立即消失,无明显不良反应。



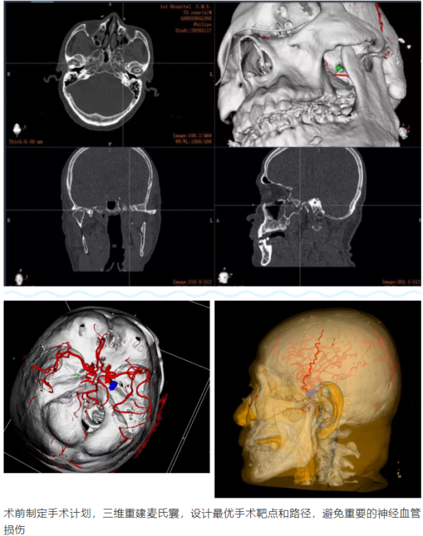
由于人体颅底结构复杂,骨质遮挡较多,传统徒手穿刺难度较大,即使穿刺成功也需不断调整进针方向找到卵圆孔的位置,有刺破颅底动脉血管的风险。而由机器人辅助的“经皮穿刺微球囊压迫术”,可以根据医生制定的手术规划,通过机器人的“脑”、“眼”、“手”精准定位至手术位置,由医生沿机械臂末端导向器穿刺到卵圆孔外口并植入微球囊压迫三叉神经半月节,术中影像验证植入微球囊位置是否准确。该术式创伤更小,术后患者疼痛立刻消失,避免了开颅手术可能致残、致死的风险,特别适用于无法耐受较长时间全麻及开颅手术等高龄、体弱或是具有严重系统疾病的三叉神经痛患者。
特别声明
本文为澎湃号作者或机构在澎湃新闻上传并发布,仅代表该作者或机构观点,不代表澎湃新闻的观点或立场,澎湃新闻仅提供信息发布平台。申请澎湃号请用电脑访问https://renzheng.thepaper.cn。

