餐桌上突发脑中风,齐鲁医院(青岛)卒中绿色通道紧急救命
2021-01-11 10:30
山东
数九寒冬,气温骤降,又到了脑血管疾病高发的季节。近日,一位65岁的老年男性在家中吃晚饭时突发脑中风,紧急送往山东大学齐鲁医院(青岛)急诊后,立即进入了脑卒中静脉溶栓绿色通道进行抢救,目前患者除遗留轻微口齿不清外,身体状况恢复良好。
发病当晚,患者在吃饭过程中突然出现说话口齿不清,左侧肢体麻木无力,行走困难等症状,家属见状拨打了120急救电话。晚上8点左右,神经内科值班医生接到通知,一名怀疑脑中风的患者正在被送往医院的路上,医护人员立即做好接诊准备。5分钟后,患者到达急诊,急诊值班的神经内科医师完成初步评估后,又安排患者迅速完成化验及头部CT检查。根据检查结果,排除患者脑出血可能后,考虑患者脑梗死,立即给予静脉溶栓治疗。应用静脉溶栓药物1小时后,患者左侧肢体麻木无力症状消失,仍有轻微口齿不清。
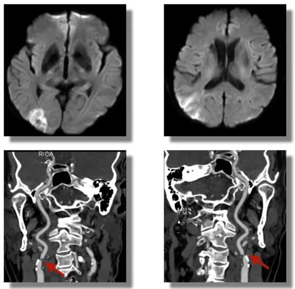
通过我院卒中绿色通道,该患者从到达急诊到应用溶栓药物(DNT)时间窗为28分钟。对于脑卒中患者来说,时间就是生命,“快”是救治的关键。随后,颅脑核磁共振证实,患者此次发生的是右侧大脑半球新发梗死灶,进一步的血管检查发现,患者右侧颈内动脉起始段重度狭窄。经过全脑血管造影术,进一步明确诊断,立即给予支架置入成形术。
红色箭头所指位置显示, 患者右侧颈内动脉起始段重度狭窄。
患者支架置入手术中

住院治疗7天后,患者肢体麻木无力症状完全消失,能够完全自主行走,遗留轻微口齿不清的症状。
什么是脑中风?
脑中风,即脑卒中,分为缺血性和出血性两种。缺血性脑中风即脑梗死(脑血栓),是动脉粥样硬化导致血管狭窄或者不稳定的斑块脱落引起脑部血管堵塞,进而导致脑组织血液供应障碍出现缺血缺氧坏死。出血性脑卒中即脑出血,是指脑血管破裂引起的出血,占全部脑卒中的20%~30%,发生的原因主要与脑血管的病变有关,即与高血脂、糖尿病、高血压、血管的老化、吸烟等密切相关。常由于情绪激动、费劲用力时突然发病,早期死亡率很高。无论缺血性脑卒中还是出血性脑卒中都可能会出现头痛头晕,言语不清,偏瘫,甚至严重时出现昏迷,大小便失禁,抽搐等表现。
脑中风的发病率与我们的生活习惯密切相关,随着老龄化以及生活条件的不断改善,“三高”(高血压,高血糖,高血脂)患者的增多,俗称“中风”的“脑卒中”成为国人生命健康的“头号杀手”。
静脉溶栓是目前治疗急性缺血性脑卒中最有效的治疗方法之一。溶栓治疗是指人为地应用某些药物(溶栓剂),使脑动脉内的血栓/栓子溶解,堵塞的血管再通,脑血流恢复正常,从而达到使局部脑缺血造成的神经功能缺损的症状、体征得以缓解或减轻的目的。
需要注意的是,溶栓治疗时间窗目前要求在4.5小时内,因此,患者出现疑似症状后,应在4.5小时内尽快到达医院,以及时救治患者。如何快速识别脑中风?
快速识别脑中风(脑卒中),中风“120”来帮您,如有上图中任何症状突然发生,即刻拨打120。山东大学齐鲁医院(青岛)脑科中心开启24小时脑卒中绿色通道,守护您的生命健康。 特别声明
本文为澎湃号作者或机构在澎湃新闻上传并发布,仅代表该作者或机构观点,不代表澎湃新闻的观点或立场,澎湃新闻仅提供信息发布平台。申请澎湃号请用电脑访问https://renzheng.thepaper.cn。

