读完此文,终于会看儿童胸片了
原创 喻蕾、顾殊能 医学界儿科频道
*本文所涉及专业部分,仅供医学专业人士阅读参考
阅片高手的进阶之路编者按
胸片目前仍是诊断儿童呼吸道疾病最常见且实用的影像学检查,胸片解读也是每个临床医生都需要掌握的扎实基本功。
来自美国内布拉斯加医学中心放射科的喻蕾博士,从胸片解剖基础、常见儿科胸肺部疾病及胸片表现等方面来为我们解读常见的儿童胸片,并给出胸片阅读的Checklist。
一、胸片基础解剖
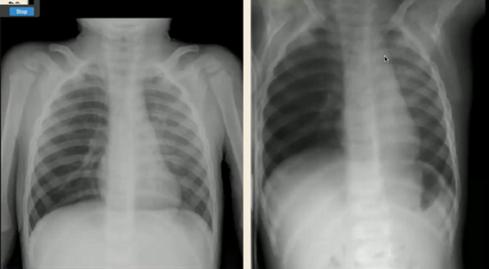
阅读胸片需要多个视角,以下图示标识了正位及侧位胸片中各个解剖结构的位置。其中,应特别注意小儿胸腺这一特殊的解剖结构。
图1.正位(后前位)胸片解剖结构
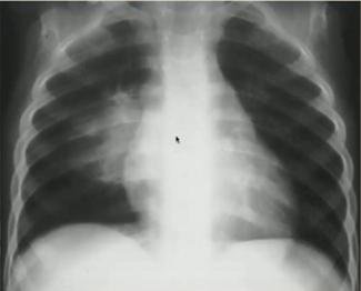
图2.侧位胸片解剖结构小儿胸腺位前纵隔内、心脏上方、胸骨后的软组织密度影,注意勿误认为纵隔或肺部肿块,一般3~4岁之后开始消退。在新生儿急性疾病时,胸腺可暂时消退,治疗后重新长回。
图3.小儿胸腺影的胸片表现(右侧胸腺表现:帆船征)二、胸片阅读Checklist
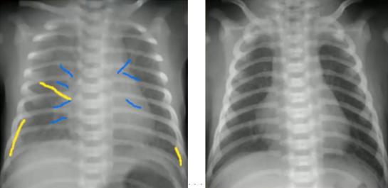
为了避免在胸片阅读中出现错误和遗漏,可根据以下ABCDE的步骤来记忆胸片的阅读顺序:
1、Airway/气管及主支气管(蓝色):是否居中、对称,有无左右偏移;
2、Breathing/肺及胸膜(绿色):胸膜有无增厚或阴影;
3、Circulation/心脏及纵隔(红色):心脏位置、大小、密度;纵隔位置、密度、面积;
4、Disability/骨头(黄色):有无骨折;
5、Everything else:气管插管、气胸、异物等。
图4.胸片阅读Checklist三、常见儿科胸肺部疾病及胸片表现
以下将从新生儿呼吸系统疾病、呼吸道感染(肺炎)、其他常见疾病等方面,结合相关胸片实例来讲解各自特征性的表现。
1
新生儿呼吸系统疾病的特征性表现:
①左右均匀分布的弥漫细粒状阴影:新生儿呼吸窘迫综合症、B组链球菌肺炎
②由肺门延伸的条索状阴影:新生儿暂时性呼吸增快症
③对称的粗条或网状阴影:胎粪吸入综合征、新生儿肺炎、早产儿支气管发育不良
④不对称的大片状阴影:新生儿肺炎、肺出血、胎粪吸入综合征
Example 1 主诉:30周早产儿出生后呼吸困难
胸片特点:气管插管;弥漫白色“铅笔尖”样白色小点。
诊断:新生儿呼吸窘迫综合症(表面活性物质缺乏症/透明膜疾病):是早产儿呼吸困难最常见的原因。
图5.新生儿呼吸窘迫综合症Example 2 主诉:足月儿剖宫产出生后出现呼吸困难
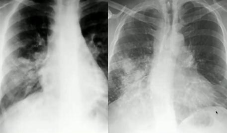
胸片特点:沿肺门分布的白色线状阴影;间质/肺裂增粗;卧位左侧胸膜增厚:少量胸腔积液(不表现为肋膈角变钝)。
诊断:新生儿暂时性呼吸增快症(新生儿湿肺):生后肺内液体过多引起暂时性呼吸困难,1~2天后自然好转;常见于剖宫产或短顺产产程的足月儿,多见于男婴。
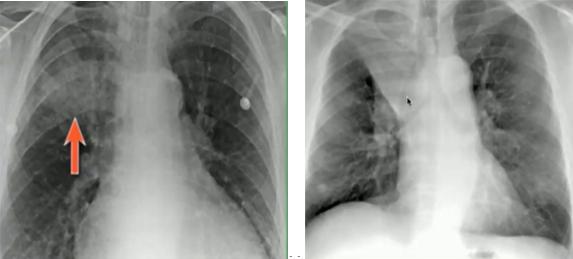
图6.新生儿暂时性呼吸增快症(左:生后胸片;右:生后20小时胸片)Example3 主诉:足月新生儿高热,胎膜早破
胸片特点:“马克笔样“弥漫颗粒、团块状阴影;50%伴胸膜积液。
诊断:新生儿肺炎(B组链球菌肺炎):常见于胎膜早破,母亲阴道感染;影像学表现多样,应结合病史及临床表现与TTN、RDS鉴别。
图7.新生儿B组链球菌肺炎Example4 主诉:过期产儿出生后呼吸困难
胸片特点:粗条、绳索状阴影(被阻塞的小呼吸道塌陷、不张);过度充气(未阻塞的小气道代偿性过度通气);常见并发症:肺气漏、气胸。
诊断:胎粪吸入综合征(对称性粗条线索状阴影/大片阴影)
图8.胎粪吸入综合征2
呼吸道感染的特征性表现:
①肺不张与肺实变的鉴别
肺实变主要是因各种内容物填充肺泡所致:水(肺水肿)、血液(创伤、血管炎)、脓液(肺炎)、细胞(肿瘤、机化性肺炎);表现为片状、边缘不清的阴影,内可见气管气象,肺量不变或增加。
肺不张主要是肺泡塌陷所致,可分为阻塞性(分泌物、肿瘤、异物阻塞)、压迫性(胸腔积液、气胸);表现为线条状、边缘清楚的阴影,内无气管气象,肺量减少。
图9.肺实变(左)与肺不张(右)②细菌性与病毒性感染的鉴别
细菌性感染(支气管性肺炎):表现为沿着支气管分布的阴影;弥漫性毛绒状、边界不清,可延续到肺边缘;可伴有胸膜积液、空洞。
病毒性感染(间质性肺炎):表现为沿肺门分布的间质阴影;肺叶过度充气,表现为横膈膜变平;支气管增厚;可伴有分泌物阻塞导致局部不张。
图10.支气管性肺炎(左)与间质性肺炎(右)以下是细菌性感染的一些典型胸片:
图11.肺实变、大片阴影、肺量增加
图12.肺实变、胸腔积液
图13.球型实变(不应诊断为肿瘤/异物)
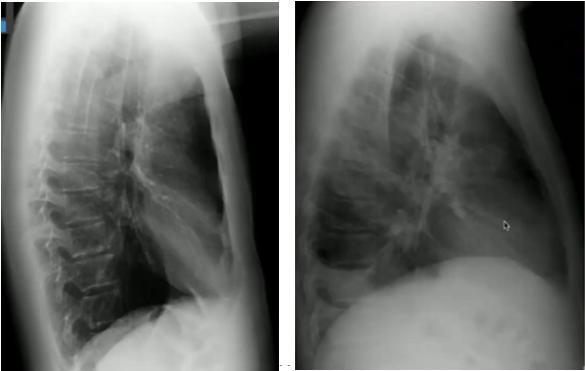
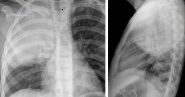
图14.“脊柱征”:位于心影后的下叶肺炎在正位片中不易看出,侧位片中可表现为椎体变白正常侧位片(左)与下叶肺炎(右)
以下是病毒性感染的一些典型胸片:
图15.沿肺门分布的线条状阴影,不累及胸膜边界
图16.正位片(左):肺不张(右上肺野肺裂上移);侧位片(右):过度充气(横隔变平)③支原体肺炎:可兼有细菌性及病毒性肺炎的表现,弥漫片状阴影或间质线性阴影,最常见表现为双下肺阴影伴积液,常伴有肺门淋巴结肿大。
图17.支原体肺炎胸片3
其他常见疾病的特征性表现:
①肺水肿
最初出现弥漫对称的间质性线状阴影,延伸到胸膜边界时表现为横条细线状(KeyleyB征),还可有胸腔积液、上肺血管增粗表现;晚期严重可出现肺实变(从间质累及到肺泡累及),出现蝙蝠翅膀征(严重急性肺水肿时,出现沿肺门翅膀样阴影)。
心源性肺水肿可有明显的心界增大。
图18.线状间质阴影(左);Keyley B征(右)
图19.心源性(左)/非心源性(右)肺水肿
图20.心源性肺水肿:心影增大(绿)、线状间质阴影(蓝)、胸膜增厚(红,卧位时胸腔积液表现)②气胸、纵隔积气、心包积气鉴别
图21.气胸(左):心缘旁见气胸线;纵隔气胸(中):气胸线延伸到肺下野,可通过纵隔延伸至皮下软组织,颈部、胸前多见;心包积气(右):积气限制在心包区域
图22.仰卧位气胸(左):深沟征(大片肺野透亮,纹理消失;肋膈角较对侧深);仰卧位纵隔气胸(右):天使翅膀征(胸腺边界特别清晰,可有“漂浮感”)③下呼吸道异物
图23.仰卧位或站立位时右肺过度充气(肺野透亮度高),右侧卧位后透亮度无变化④先天性肺不张/肺发育不良
可分为以下三类:
完全不张:支气管、肺组织均无
部分不张:支气管盲端,后无肺组织
发育不良:支气管、肺组织均有,但发育不良(最为常见)
图24.先天性肺发育不良:(左)左侧无肺组织,肺不张;右侧过度充气,纵隔向患侧偏移;(右)CT可见支气管盲端先天性肺发育不良可分为原发性和继发性,其中继发性可由胸外挤压(羊水过少)或胸内挤压(先天性膈疝等)原因所致。
图25.先天性膈疝膈疝:(左)纵隔右移,左侧肺野见充气肠管;(右)胃管位于胸腔内文中影像资料来源于:
www.statdx.com
Cleceland Clinic Pediatric Radiology Image Gallery
www.radiopaedia.com
本文整理自“医学界医生站”在线视频课程《常见儿童胸片解读》,由美国内布拉斯加医学中心放射科喻蕾博士精彩讲授,欲知完整版课程内容,请登录医生站APP观看。已下载“医学界医生站”的站友,可直接扫描下方二维码查看课程:
本文首发:医学界儿科频道
主讲老师:美国内布拉斯加医学中心放射科 喻蕾博士
本文整理:顾殊能
原标题:《读完此文,终于会看儿童胸片了!》

