2020年Nature十大医学研究与发现丨梅斯评述
原创 Sunny Xu MedSci梅斯
导语:2020年度医学研究与重大发现top10盘点来咯~
2020年接近尾声,梅斯医学为大家盘点了《自然》(Nature)杂志2020年发表的十项重大的科学发现,包括肠道菌群与结直肠癌的关系、压力如何导致白发、HIV治疗等突破进展与研究。一起来看一下吧~

Nature
1. NATURE:感染是否会导致阿尔兹海默症?

Nature. 2020Nov;587(7832):22-25. doi: 10.1038/d41586-020-03084-9.
数十年来,关于感染可能导致痴呆的理论一直在流传。在大量证据的支持下,大多数阿尔茨海默病的研究人员认为,关键的罪魁祸首是大脑中称为淀粉样蛋白的粘性分子,它们会凝成斑块并引起炎症,杀死神经元。
而越来越多的研究数据提示,淀粉样蛋白可能不单纯是有毒的废物,而是保护大脑免受感染的防御者。但是年龄或遗传因素会干扰系统的制衡,使淀粉样蛋白变成反派。
到目前为止,已经有多种细菌或微生物被认为能够诱发阿尔兹海默症,其中疱疹病毒是最常与阿尔兹海默症相关的病原体。神经遗传学家Rudolph Tanzi及其同事的研究小组针对它作出了更深一步的探究。在此之前,研究人员就已经发现,淀粉样β肽可以杀死试管中的8种常见致病微生物,包括肺炎链球菌和大肠杆菌。

Nature. 2018 Jul;559(7715):S4-S7. doi:10.1038/d41586-018-05719-4.
但即便如此,仍有许多研究人员对此表示怀疑。英国爱丁堡大学的神经科学家Tara Spires-Jones说,尽管到目前为止的数据证实感染可能引起某些人患上阿尔兹海默症,但正常的衰老过程也是一种解释。她指出,衰老带来的脑补炎症才是老年痴呆症发生发展的最大风险因素。
当然,即便无法确定感染导致阿尔兹海默症患者的比例,感染理论也是成立的。只不过,细菌引起阿尔茨海默氏症的证据将是“最难提供的证据”。
2.Nature:胶质母细胞瘤进展,新途径可避开血脑屏障,显著延长生存期!
胶质母细胞瘤(GBM)是最为常见且难以治愈的原发性脑部肿瘤,患者术后预后普遍不佳,即使有放疗相助,患者5年生存率仍然低于10%。肿瘤免疫治疗的发展给多种不治之症的治疗带来了新希望,但大脑独特的免疫环境将大多数治疗药物拦截在外,导致该疗法在GBM治疗领域裹足不前。
今年1月15日,耶鲁大学的研究人员发表在Nature杂志上的研究声称,他们发现了一条可顺利将免疫药物送至GBM病灶的新途径。研究者避开了血脑屏障的围追堵截,转而大幅度激活脑膜淋巴管系统,并将免疫治疗药物通过脑膜淋巴管输送入脑,最终成功诱导GBM内产生剧烈免疫反应,显著延长了GBM实验动物的生存期。他们指出,该途径或许可助力GBM治疗柳暗花明!
众所周知,血脑屏障可以控制血浆各种溶质的选择通透性,是维持中枢神经系统内环境稳定的结构基础。但当大脑内部发生病变时,药物作为“外来者”也自然而然的被拒之门外,使得治疗常常事倍功半。
于是研究人员决定另辟蹊径。考虑到大脑没有自己的淋巴网络,但是脑膜却有淋巴血管网络,即脑膜淋巴管系统。脑膜淋巴管系统多在个体出生后不久在血管内皮生长因子C(VEGF-C)的刺激下形成。

人类和小鼠GBM与VEGF-C表达谱的相关性。Nature. 2020Jan;577(7792):689-694. doi: 10.1038/s41586-019-1912-x.
研究人员先将VEGF-C引入没有药物治疗的GBM小鼠的脑脊液中,发现脑部肿瘤的T细胞反应水平一定程度增加,这就意味着脑膜淋巴管系统的活化可促进T细胞向大脑的转移。而当VEGF-C与免疫系统检查点抑制剂联合使用时,GBM小鼠脑脊液中可检测到令人满意的免疫药物浓度,T细胞反应剧烈,小鼠的生存期显著延长。这就意味着VEGF-C对脑膜淋巴管系统的高水平活化有助于免疫检查点抑制剂对GBM的靶向作用。
这项研究为GBM免疫治疗开拓了一个新的研究方向,将药物递送方式从“穿过血脑屏障”中解放出来,转而“绕过血脑屏障”,为提高免疫治疗疗效、减少毒副作用提供更多选择,有望让GBM的免疫治疗柳暗花明。假以时日,这些结果或许可成为GBM患者摆脱病魔的新希望,我们静待佳音。
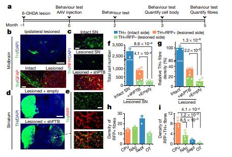
3. Nature:一种单一的设计性DNA药物治疗有望完全治愈帕金森症!
美国加州大学圣地亚哥医学院的付向东教授一直致力于一种名为PTB蛋白的研究,这种蛋白以结合RNA并影响细胞中关键基因的“激活”或“沉默”而出名。近日,付教授团队的研究发现:仅仅抑制或删除一个基因,即编码PTB的基因,就能将几种类型的小鼠细胞直接转化为神经元,便能使老鼠的帕金森氏症症状完全消失。相关结果发表在6月24日的Nature杂志上。
反义寡核苷酸,也被称为设计性DNA药物,是神经退行性疾病和神经肌肉疾病研究的一种行之有效的方法,也是治疗脊髓性肌萎缩症和其他几种目前正在临床试验中的疗法的基础。
研究人员将PTB反义寡核苷酸直接应用于小鼠的中脑,中脑负责调节运动控制和奖励行为,而在帕金森病中,中脑通常会失去产生多巴胺的神经元。对照组小鼠接受空病毒或不相关反义序列的模拟治疗。
在接受治疗的小鼠中,一小部分星形胶质细胞转化为神经元,使神经元数量增加约30%。多巴胺水平恢复到与正常小鼠相当的水平。更重要的是,神经元得到生长并将这一过程延申到大脑的其他部位。对照组小鼠则没有变化。

补充丢失的DA神经元可以逆转帕金森表型。Nature. 2020 Jun;582(7813):550-556. doi: 10.1038/s41586-020-2388-4.
通过两种不同的肢体运动和反应测量,治疗后的小鼠在一次治疗后的三个月内完全恢复正常,并且在其余生中完全没有帕金森氏症的症状。相比之下,对照组小鼠没有改善。
此后,该研究小组将优化他们的方法,在帕金森氏症的小鼠模型中进行测试并进一步通过临床试验来验证这一方法。我们可以期待,该疗法有望作为帕金森氏症,以及其他神经退行性疾病的治疗方法,如阿尔茨海默氏症、亨廷顿氏病和中风。
4.NATURE双重磅: 肠道菌群紊乱或能引起结直肠癌?可能与p53有关!
8月28日,美国《复仇者联盟》系列电影饰演“黑豹”的好莱坞演员查德维克·博斯曼,因罹患结肠癌在洛杉矶家中去世,终年43岁。在为博斯曼惋惜的同时,大家更要警惕结直肠癌这类恶性肿瘤。
结直肠癌(CRC)是最常见的恶性肿瘤之一,其发病率居于全球恶性肿瘤第3位,死亡率高居第2位,是占全球发病和死亡首位的消化系统恶性肿瘤。在我国,CRC发病率呈逐渐上升趋势,2018年,我国新发病例占全球同期的30%。更重要的是,目前我国CRC5年生存率远低于美国及日韩,85%以上的病例发现时已是晚期。
而在人类肠道中,居住着大约10万亿个细菌,它们能影响消化功能、抵御感染和自体免疫疾病的患病风险。健康人的肠道菌群中大部分是有益菌,而肠癌患者的有益菌比例可低至10%左右。近年来,有关肠道菌群生理功能和病理地位的研究越来越多,已经证明肠道菌在结肠炎的发生和发展过程中发挥重要作用,而结肠炎是大肠癌的重要危险因素。
那么,近年来被研究的如火如荼的肠道菌群是否与CRC的发生有关呢?今年年初,发表在Nature上来自荷兰胡布勒支研究所(KNAW)Hans Clevers研究团队的研究或许能给出答案。

健康人肠道与基因毒性大肠杆菌共培养诱导DNA损伤。doi: 10.1038/s41586-020-2080-8.
研究人员怀疑一种名为 pks+ E. coli 的大肠杆菌是结肠癌诱因之一。这是一种能分泌大肠杆菌素的大肠杆菌菌株,因为这种菌株在结直肠癌患者的粪便样本中较健康人的更常见。克拉弗斯和他的团队用了5个多月的时间,在一个培养皿内将 pks + E. coli 菌株注射进了被称为类器官的小型人体细胞团中。他们发现,这种微生物触发了一种独特的DNA损伤模式(碱基序列发生了错义突变)。
大肠杆菌素和类似基因毒素以一种特定的突变模式破坏人类DNA,与烟草烟雾、紫外线等致癌物质相同。该研究小组随后核对了两项前人的研究,在这两项研究中,近6000个肿瘤(主要来自结肠)的基因被测序,结果显示,其中5%~10%的结肠癌有着相同的突变模式,但在其他肿瘤中没有发现这个现象。
Clevers说:“我们认为这是非常有力的证据,证明的确是这些细菌导致人们患上癌症。”如果得到证实,人们就可以用抗生素清除这种致癌细菌,并服用有益健康的大肠杆菌的益生菌胶囊,以阻止有害的大肠杆菌再次出现。
随后,在7月份的Nature杂志上,来自以色列希伯来大学的研究团队发现,与癌症密切相关的突变型p53在远端肠道中具有致癌作用,而在近端肠道(如小肠)中却显示出明显的抑癌作用。P53不同的作用或与肠道菌群有关。
研究人员使用抗生素来杀死小鼠结肠中的肠道微生物,结果发现,在引入突变型p53的小鼠肿瘤模型中,使用抗生素后,结肠和回肠中观察到的发育不良消失了,WNT的激活减少了,而且肠道的健康状态也变得更好了。

p53突变促进肠道肿瘤器官生长和分化。doi: 10.1038/s41586-020-2541-0.
该研究通讯作者Yinon Ben-Neriah总结道:“我们惊讶地看到微生物对癌症突变有这么大的影响——在某些情况下,甚至完全改变了它们的性质。”
上述两项研究共同表明,探究肠道菌群的组成在以后肿瘤的成因和治疗中将扮演越来越重要的角色。
5.Nature:中国两名男子率先接受开创性干细胞治疗心脏病
实施这项手术的心外科医生表示,中国的两名男子是世界上首批接受“重新编辑”干细胞的心脏病实验性治疗的人,并在一年后成功康复。

从诱导性多能干细胞(如图)中提取心肌,NCMIR/ SPL,Thomas Deerinck
在2019年5月份,实施这项手术的中国心外科医师王东进告诉Nature杂志,这两名男子被注射了来自诱导多能干细胞中提取的心肌细胞,这是多能干细胞技术在治疗受损心脏方面的首次临床应用。目前,尚无相关结果发表,因此没参与该研究的研究人员告诫说,尚无办法确认该治疗是否有效,不知道所报道的益处是由于iPS衍生的细胞所致,还是仅仅是由于伴随iPS的心脏搭桥治疗所致。
南京生物技术公司(帮助治疗)的负责人王嘉显表示,研究小组计划在今年晚些时候公布这两名患者的研究结果,他们在研究中使用心肌细胞进行治疗。他们已经获得批准将研究范围扩大到另外20名患者。
2021年1月,日本的心脏外科医师Yoshiki Sawa将用于治疗心脏病的多能干细胞衍生的心肌细胞引入一位心脏病患者体内,他们正在使用一种代替性方法,即把细胞片移植到心脏上,而不是注射到器官中。
6.Nature:谷歌AI系统筛查乳腺癌的国际评估
在临床肿瘤领域,乳腺钼靶筛查是预防筛查乳腺癌的常规方法,目的是在疾病早期阶段及时识别乳腺癌,这是成功治疗乳腺癌,甚至治愈疾病的基本前提。尽管全世界都有筛查程序,但对乳房X线照片的解释仍受到较高的假阳性和假阴性的影响。
今年1月,Nature上发表了一篇研究文章,来自谷歌等机构的研究人员合力开发了一种人工智能(AI)系统,该系统能够在乳腺癌预测方面超越人类医学专家。为了评估其在临床环境中的性能,研究人员选择了来自英国的大型代表性数据集和来自美国的大型数据集。
研究人员发现假阳性率降低了5.7%和1.2%(美国和英国),假阴性率降低了9.4%和2.7%。研究人员提供了该系统从英国推广到美国的证据。在对六位放射科医生的独立研究中,AI系统的表现优于所有人类医学读者:人工智能系统在受试者工作特性曲线下的面积(AUC-ROC)比一般影像学医师的AUC-ROC要大,绝对幅度达11.5%。研究人员进行了模拟,其中AI系统参与了在英国使用的双重阅读程序,结果发现AI系统保持了不逊色的性能,并将阅片医师的工作量减少了88%。

AI和放射医生在乳腺癌预测中的表现。doi:10.1038/s41586-019-1799-6.
由此可见,AI系统的强大评估能力为临床试验铺平了道路,以提高乳腺癌筛查的准确性和效率。
7.Nature:NLMT宣布肺癌精准治疗临床试验取得成功
7月15日,发表在Nature上的国家肺基质试验(NLMT)是世界上最大的针对NSCLC患者的精确医学临床试验,由英国癌症研究所(CRUK)资助,并得到慈善机构分层医学计划第2阶段(SMP2)筛选平台的支持。
NLMT与辉瑞(Pfizer)、阿斯利康(AstraZeneca)等制药公司合作,耗资2500万英镑。NLMT根据癌症的基因变化,为不同群体的患者匹配不同的治疗方案。在英国国家医疗服务体系(NHS)的支持下,NLMT强调下一波精准医学研究,特别是治疗基因组复杂癌症需要考虑的重要因素。
NLMT采用了创新式试验设计,结合了多种治疗手段。与传统临床试验相比,NLMT提供一种更加灵活和知情的方法,确保每一组单臂针对不同基因亚型的非小细胞肺癌的不同靶向治疗。该方法可以有效保证一旦新药和药物组合没有效果,就可以立即加入或轻易退出试验。
为此,SMP2对参加NLMT的患者进行基因筛查,以了解他们的肿瘤类型,以及他们是否具有与靶向治疗相匹配的相关基因特征。2015.05-2019.11期间,共招募288名患者进入19个靶向治疗组中。
但由于试验纳入的患者多在病程终末期,癌症进展使得许多患者过于不适而无法参加试验,因此试验损耗率很高,仅有5%的SMP2患者接受了NLMT治疗。此外,研究人员指出,靶向治疗试验应该在癌症征程中更早进行,并使用基于血液的基因组测试来快速转换患者与药物匹配所需的信息。

根据吸烟史和组织学表现,NLMT19个队列中目标病灶直径变化。Nature. 2020 Jul;583(7818):807-812. doi: 10.1038/s41586-020-2481-8.
该研究的主要作者、伯明翰大学的医学肿瘤学家Gary Middleton教授说:"这项研究提供了如何设计下一波治疗复杂癌症的试验靶向疗法的数据。这是第一次用贝叶斯设计允许开放组群的结果数据与封闭组群的数据同时被报道,而以前的伞形研究只发表了完整组群的结果。
研究人员表示,NLMT是一个具有里程碑意义的复杂的创新设计实验,代表我们理解如何开发精密医学治疗癌症的挑战的重大改变。为此,英国癌症研究所的研究主任Ian Walker博士说:“NLMT是英国癌症研究的旗舰项目,继续为我们应该如何治疗基因多样性的癌症,如NSCLC提供重要的见解。它不仅将塑造未来研究提供复杂精准药物的思路,而且还展示了分子诊断测试和临床研究如何在英国全国卫生服务机构内以真正整合的方式工作,让患者获得最新的新疗法。”
下一步,NLMT将继续招募患者。一个新的联合臂刚刚加入到研究中,并在六月初开放。
8.杀死潜伏的HIV病毒
导致艾滋病的HIV病毒可以长期“潜伏”在宿主细胞中,几乎不进行转录,因此不会被免疫系统发现。在Nature 1月同期发表的两项研究中,报道了被称为“激活并杀死”(Shock and kill)的治疗策略,旨在扭转这种潜伏期,通过增加病毒基因的表达(激活),使被感染细胞更容易被免疫系统消灭(杀死)。两组研究人员都描述了在动物模型中的干预措施,这可能是迄今为止报道的最有效的激活手段,而且是可重复的。Nixon及其同事使用了一种名为AZD5582的药物,用于激活转录因子NF-κB——HIV-1基因表达的主要刺激因子。McBrien等人则将两种免疫干预措施结合起来,先通过抗体疗法耗竭CD8+ T细胞(降低病毒转录水平的免疫细胞),再进行N-803药物治疗,该药物可激活HIV-1的转录。除了这些进展,这两项研究还展示了用药物逆转病毒潜伏相关的概念和技术挑战。

Robust and persistent reactivation of SIV andHIV by N-803 and depletion of CD8+ cells. Nature. doi:10.1038/s41586-020-1946-0

Systemic HIV and SIV latency reversal vianon-canonical NF-κB signalling in vivo. Nature, (), –. doi:10.1038/s41586-020-1951-3
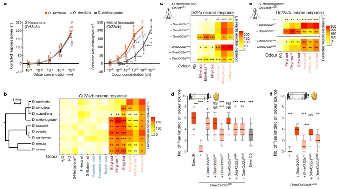
9. 基因编辑破解挑食之谜

一种学名为Drosophila sechellia的果蝇只以有毒的诺丽果柑(Morinda citrifolia)为食,是什么让这个物种如此挑食?
Auer等人利用基因组编辑工具CRISPR-Cas9破解了这个谜题。他们发现,相比其他果蝇,D.sechellia体内表达气味受体22a蛋白(Or22a)的感觉神经元格外丰富,而Or22a氨基酸序列的微小变化正是果蝇D.sechellia偏爱诺丽果的关键原因。他们还发现了其他几种可能导致这种简单行为转变的演化改变。即使是喜欢臭水果的小小果蝇,也能有力地揭示大脑如何演化出复杂的行为。

Or22a的调整对诺丽果柑很重要
Olfactory receptor and circuitevolution promote host specialization. Nature.doi:10.1038/s41586-020-2073-7
10.揭秘压力为何会使头发变白
这是Nature“新闻与观点”栏目在2020年读者浏览最多的一项研究报道。目前对压力对头发变白的相对作用尚不完全清楚。头发的颜色由黑素细胞决定,这些细胞来自于毛囊凸起部分的黑色素干细胞(MeSCs)。
这篇由哈佛大学许雅捷团队于1月Nature发表的研究成果,第一作者是张兵博士。研究报告称,在压力引起的“战斗或逃跑”反应中,交感神经系统的神经元会释放出神经递质分子去甲肾上腺素;在极端应激或高水平去甲肾上腺素暴露下,黑色素干细胞的增殖分化显著增加,导致黑色素细胞大量迁移,远离毛囊隆突区,但由于没有替代的干细胞,便导致头发变白。这项研究将有助于了解压力如何影响其他的干细胞,也为寻找阻止和逆转压力的方法提供了线索。

抑制MeSC异常增殖可防止压力诱导的头发变白
Hyperactivation of sympathetic nerves drives depletion ofmelanocyte stem cells. Nature, (), –. doi:10.1038/s41586-020-1935-3
以上就是梅斯医学为大家盘点的2020年十大Nature重磅医学研究与发现,当然2020年还有很多很多值回顾的亮点研究,欢迎留言补充~ 相信在即将到来的2021年还会有更多精彩的重要研究成果,让我们拭目以待!
来源:梅斯医学综合报道
授权转载、投稿及爆料请联络梅斯医学管理员

