B超盆腔低回声?MR考虑细胞神经瘤?直肠指检触及巨大肿物?让余先生担忧不已的元凶到底是什么?
一团疑云
是此是彼?
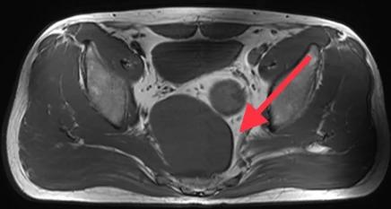
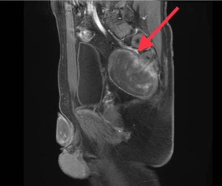
近日,余先生行色匆匆地来到同济大学附属东方医院胃肠肛肠外科傅传刚教授特需就诊,他自述自己既没有排便习惯的改变,身体也没有其它不舒服,但就是10天前在外院做B超检查时发现盆腔低回声,此外MR检查提示骶前直肠后可见一等T1,混T2回声,大小50*72*91mm肿物,结肠镜提示可见腔外压迫。余先生为此感到焦虑,难道自己得的是癌症?还是什么其他的疾病?他思虑万千,恳求傅传刚教授一定要帮他查出自己到底患了什么疾病!

寻找真相
傅传刚教授给余先生安排进行了详细查体和辅助检测。查体发现肛门外形正常,直肠指诊后壁齿线上约3cm向上可触及巨大肿物下缘,粘膜完整。盆腔(MRI增强)显示盆底占位,考虑神经源性肿瘤可能。


傅传刚教授结合余先生的病史、症状、体征、MR等,诊断明确,傅传刚教授和周主青教授于2020.09.14共同实施腹腔镜骶前肿瘤切除术
进行手术
拔除元凶

术中标本
手术成功
解除痛苦

科普小知识
骶前肿瘤:发生在骶骨和直肠间隙的肿瘤,也称直肠后肿瘤,是一种组织来源多样的少见肿瘤。骶前肿瘤通常缺乏典型的临床症状。可能出现的症状主要表现为肛门坠胀、排便困难或充溢性大便失禁、腰骶部胀痛或下肢疼痛、反复发作的肛瘘或脓肿;脑脊膜前膨出可有体位性头痛;巨大肿瘤可以导致肠梗阻,也可以导致产道梗阻,导致危及生命的难产。多数病人无明显症状,或缺乏特异性症状往往不易发现,常因为CT或MRI影像学检查发现肿瘤。
傅传刚教授简介

社会任职:美国结直肠医师学会荣誉委员、世界大学结直肠外科医师协会副主席、中国医师协会外科医师分会肛肠外科医师委员会主任委员、中国医师协会结直肠肿瘤专业委员会经自然腔道取标本手术(NOSES)专业委员会(学组)副主任委员、中国医师协会结直肠肿瘤分会外科委员会副主任委员、中国医师协会结直肠肿瘤专业委员会常务委员、中国中西结合医学会大肠肛门病专业委员会顾问、上海市普外专业委员会大肠肛门病学组顾问、中国抗癌学会大肠癌专业委员会常委、中国医师协会结直肠分会常委、卫生部大肠癌规范化诊疗专家委员会委员、英国《Colorectal Disease》、美国《Disease of Colon & Rectum》、意大利《Techniques in Coloproctology》、《中华外科杂志》、《中华胃肠外科杂志》、《中华普通外科杂志》等编委。
医疗特色:结直肠癌的诊断、传统开腹与3D腹腔镜微创手术以及综合治疗,尤其在低位直肠癌的保肛和局部晚期、复发性结直肠癌的手术方面成绩卓越,在国内外具有广泛影响。在国际上首创“直肠拖出式经括约肌间吻合器切除吻合术(PISTA)”,”3D腹腔镜结直肠肿瘤腹部无切口切除术”等,使结直肠手术更加微创,术后快速康复,低位肠癌保肛率明显提高,绝大多数患者避免做永久性人工肛门,术后局部复发率明显降低。另外在结肠镜诊断和治疗方面有较深的造诣。是国内PPH手术治疗重度环状脱垂痔的开拓者之一;在慢性顽固性便秘、直肠脱垂等疾病的诊治方面有较深的造诣。