放射科
顾晓丽 安冰月
“医生,我都做过磁共振了,为啥还让我做磁共振增强扫描呀!”
“医生,我的病很严重吧,你再让我做磁共振增强检查啊 ?
近些年来,磁共振检查已经渐渐成为患者在就医过程中的常用检查项目了,由于诊断疾病的需要,病人做完磁共振平扫后,影像科医生会建议磁共振增强检查。下面我们一起来了解一下为什么做完磁共振平扫还要做磁共振增强检查以及做磁共振增强检查前我们该做哪些准备?
磁共振平扫就是利用人体正常组织和病变组织所含的H离子不同磁共振信号不同来成像的,通过多个序列成像以显示病变组织的位置、大小、数目、形态及信号变化用于诊断疾病。但是有些病变比如说消化系统以及颅脑的一些肿瘤,平扫时它们的磁共振信号接近正常组织的信号,在图像上只能观察到某某区域稍有异常,而不能做出精准诊断,也有一些不同的病变信号接近造成鉴别诊断上的困难,或者病灶周围的结构显示欠清,这时就需要做磁共振增强扫描,通过静脉注射造影剂来提高病变组织和正常组织的信号对比度、强化-时间信号曲线变化做出精准的诊断,为临床治疗提供可靠的依据。总而言之一句话:磁共振增强检查可以看的更多更清楚,有利于疾病定位及定性。

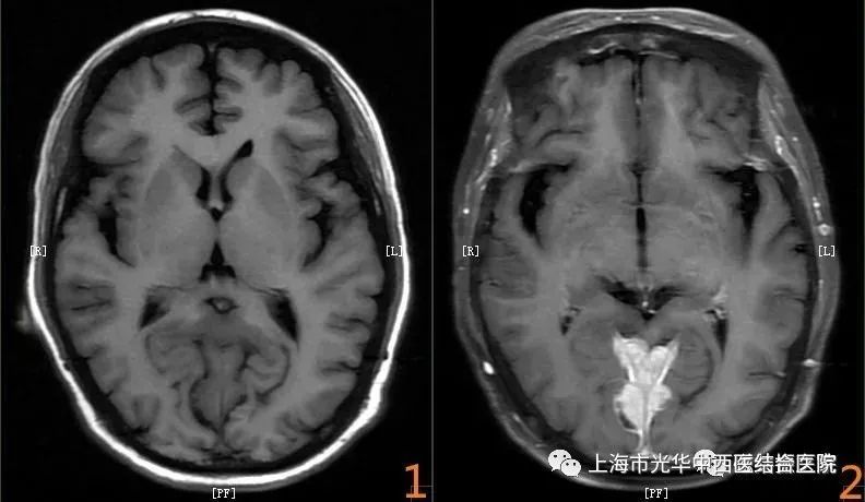
注:图1是平扫图像,图2是增强图像
造影剂也可称为对比剂,它利用缩短T1WI的弛豫时间来提高成像对比度和清晰度。目前临床最常用的造影剂为钆--二乙三胺五醋酸(Gadolinium-DTPA, Gd-DTRA)。磁共振增强的造影剂一般不被胃粘膜吸收,完全处于细胞外间隙内以及无特殊靶器官分布,有利于鉴别肿瘤和非肿瘤的病变。
Gd-DTPA是非常安全的对比剂,其安全系数(半数致死量/有效剂量)高达200 (碘对比剂的安全系数为8~10)。Gd-DTPA的副作用发生率很低,文献报道为1.5%~2.5%,多表现为头晕、头痛 、恶心呕吐、皮疹等。严重不良反应的发生率极低,约为百万分之一到百万分之二,另外Gd-DTPA是经过肾脏排泄的,做完磁共振增强检查后多喝水就可促进排泄,所以增强检查通常是很安全的。
磁共振增强检查注意事项:
1.检查时不允许携带各种金属物品,穿着合适的衣服,衣裤简单舒适,衣服上一定不能有金属配饰铁扣以及金属拉链,女性检查者不能穿有金属的文胸。
2.如有对比剂过敏史或是过敏体质,有严重的肾功能不全的应及时告知临床医生。
3.如有心脏起搏器,血管支架,钢钉钢板的植入以及假关节置换应及时询问临床医生明确植入物的材质及置入时间,检查前告知检查技师。
4.腹部增强检查前4-6小时前禁食,做其他部位增强检查前两小时前禁食。
5.对比剂过敏反应多在注射药物20分钟内发生,所以在增强检查后应在留观室或休息室观察半小时后无任何不适才能离开。若离开院之后24小时之内有不适应迅速前往医院诊治。
6.增强检查24小时之内不应再做其他磁共振检查且应尽量多饮水,加快对比剂的排泄。
7.磁共振增强检查后三天内禁饮酒,不吃海鲜等易过敏的食物。

原标题:《【光华|微科普】为什么要做增强版的核磁共振?》