原创 赵喜同学 XI区

儿童CT血管造影(CTA)可用于评估许多先天性和后天性疾病。本文讨论了胸腹CTA在儿科的常见应用,包括先天性肺气道畸形、肺隔离症、血管环、主动脉缩窄、肺栓塞、非创伤性出血、腹部移植评估和几种血管疾病,并强调了关键的临床和影像学特征。如果使用得当,CTA可在各种儿科疾病的诊断和术前评估中发挥基础性作用。
来自中佛罗里达大学,西雅图儿童医院,华盛顿大学医学院的学者最近介绍了儿童CTA的临床应用价值,我们一块学习一下。
在儿童中,CTA应用广泛。尽管电离辐射暴露在儿童中是一个令人担忧的问题,但CTA仍然是全身血管成像的常用方法,因为它具有视野大、采集速度快、多平面和三维显示能力。下文将阐述CTA在儿科患者胸部、腹部和骨盆的各种临床应用。
CT血管造影和MR血管造影
在许多临床情况下,MRA是CTA的合理替代方案。可以使用时间飞跃法或钆增强检查获取图像。与CTA相比,MRA避免了电离辐射和碘造影剂的使用,并提供了优越的软组织特征。然而,磁共振成像需要更长的成像时间,而且可能无法立即使用。磁共振成像也经常需要在儿童人群中镇静,导致成像延迟和潜在的心肺损害。此外,在儿科人群中,人们越来越认识到麻醉剂的潜在神经毒性。CTA通常是现成的,快速的,并且经常可以在没有镇静剂的情况下进行。与MRA相比,CTA具有更高的空间分辨率,在评估小血管方面非常重要,同时保持了较大的视野。最后,尽管MRI评估气道和肺实质的策略不断改进,但大多数中心发现CT比MRI更容易评估肺和气管支气管树。
胸 部
肺隔离症与先天性肺气道畸形
先天性肺畸形包括多种病变,包括支气管闭锁、先天性肺叶过度膨胀、先天性肺气道畸形(CPAM)和支气管肺隔离症(BPS)。特别是BPS和CPAM,由于其临床表现和早期影像学特征重叠,并且可能表现出综合特征的混合性病变,因此诊断具有挑战性。CPAM和BPS可能经常出现在产前超声上,或者在出生后因为胸片上的肿块性病变而被怀疑。表现也可能延迟出现,表现为复发性肺炎,或病变在成年后仍无症状。
CPAM,以前被称为囊性先天性腺瘤样畸形,是一组不同类型的囊性和非囊性错构瘤性肺肿块,由发育异常的远端支气管肺泡结构组成。病变可能很小,局限于单个肺叶,可能与相邻的肺叶交叉,或是多灶性病变。CPAM与气管支气管树相通,显示肺动脉和肺静脉循环。
BPS不连接气管支气管树或肺动脉。BPS分为叶内型和叶外型。叶内BPS与其余正常肺共用胸膜,通常由肺静脉系统排出,而叶外BPS有一个单独的内脏胸膜,由体静脉系统排出,通常进入奇静脉或门静脉。在CT上很难分辨出胸膜。然而,这两种类型的BPS的血管供应来自体循环,通常是降主动脉或腹主动脉,尽管在大约15%的病例中,较小的体动脉可能供应BPS。值得注意的是,在大约10%的病例中,叶外BPS可能发生在膈下;因此,扩大视野以包括上腹部很重要。
动脉期CTA的轴位成像是描述CPAM和BPS以及手术计划的首选方法(图1)。CTA很容易显示肺的异常部分,包括任何肉眼可见的囊肿。CTA显示供血动脉的位置;通过适当的CTA给药时间,还可以进一步确定静脉引流情况。虽然产后超声可以成功地识别供血动脉,但它高度依赖于操作者,在解剖定位和特征描述方面不如CT。传统导管血管造影曾经是金标准,但由于其具有侵袭性,现在很少使用。

咯血
咯血可能危及生命,需要紧急评估。咯血的病因很多,包括支气管扩张、肺恶性肿瘤、肺结核、慢性真菌感染、肺栓塞、先天性疾病如肺动静脉畸形和血管炎。在儿童中,囊性纤维化(CF)是一种常见的潜在疾病。
虽然血液动力学不稳定的大咯血患者可能需要通过支气管镜或手术立即治疗,但在稳定的患者中,影像学通常用于确定出血的部位和潜在原因。CTA在63–100%的病例中被反复验证可以定位出血部位。很少在气道中检测到渗出的造影剂。然而,活动性出血的位置可以通过支气管内的液体密度物质或代表肺泡内出血的毛玻璃实变来确定。CTA还可以识别其他潜在的肺实质异常、感染或肿块。也许最重要的是,CTA可以识别异常的肺血管系统,并为计划外科干预或经皮导管栓塞提供路线图(图2)。理想情况下是进行真正的系统动脉期成像,因为支气管动脉来自降主动脉。最大强度投影(MIP)图像增强了支气管动脉和异常血管结构的清晰度。薄层图像能更好地显示小血管结构。

超过90%的咯血需要栓塞或手术干预。导致肺动脉灌注减少的情况,如血管炎和慢性血栓栓塞症,可以增加支气管动脉对肺部的供血。支气管动脉也是绝大多数CF患者咯血的来源。虽然支气管动脉的解剖结构多变,但最常见的结构是一个或两个支气管动脉从中胸部水平降主动脉发出,供应每个肺。有异常起源的支气管动脉,例如来自内乳动脉、肋间动脉或膈动脉的支气管动脉在传统的主动脉造影术中很容易被忽略。支气管动脉直径与出血风险之间的相关性较差,但通常动脉口径超过2 mm被视为异常。
肺动静脉畸形
肺动静脉畸形(PAVMs)是一种罕见的异常,它通过异常扩张的低阻力血管,绕过正常的肺毛细血管床,将肺动脉与肺静脉相连。这导致从右向左(肺动脉到体动脉)分流,可能表现为低氧血症、中风或脑脓肿。不太常见的是,PAVMs破裂可能导致咯血或血胸。PAVMs是最常见的先天性疾病,与遗传性出血性毛细血管扩张症(HHT)合并最常见。HHT是一种常染色体显性遗传性疾病,导致多个器官(包括脑、肝、肺)的动静脉畸形(AVM)以及粘膜毛细血管扩张。获得性PAVMs可见于患有Glenn分流或肝肺综合征等疾病的儿童。
虽然在胸片上可以认为巨大的PAVM是一个突出的曲线结构,但许多PAVM最初被怀疑是因为在对已知或疑似HHT的患者进行超声心动图筛查时,由于其他原因无法解释从右向左分流。通过肺CTA确定AVM的位置、数量和大小,以预测治疗。通过小剂量测试或监测触发来优化肺动脉系统的强化水平。
在肺CTA上,PAVMs表现为增强的囊或扩张的血管团块。诊断需要有供血动脉和引流静脉,多平面MIP图像可提高对其的检测能力(图3)。如果可以的话,双能量扫描可以提供一个虚拟平扫序列,以排除疑似PAVM的钙化结节。

供血动脉的直径应在动静脉交通的近端、实质分支的远端大约2-3厘米测量。动脉直径大于3毫米表明病变可能适合经导管栓塞(图3)。如果PAVM不符合栓塞术的条件,建议随访肺部CTA以监测其生长情况。在儿科人群中,理想的随访间隔并不是很明确,常见的随访间隔为1到10年。Ratjen等人在HHT患儿中发现PAVM的平均年增长率约为10%。
肺栓塞
肺栓塞(PE)在儿科患者中非常罕见,但很可能漏诊。在临床怀疑PE的儿童中,PE的发病率约为15%。临床概率评分,如Wells标准和D-二聚体水平,在儿科人群中显示出较低的诊断率。然而,有多种危险因素与小儿PE相关,包括中心静脉置管、制动、高凝状态、雌激素过多、既往PE或深静脉血栓形成等。
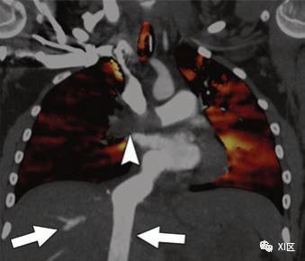
肺CTA是评价儿童PE最常用的方法,造影剂监测触发或小剂量测试有助于优化肺动脉系统的强化效果。多平面重组被证明可以提高诊断的可信度。使用双能量或减影CT技术绘制肺灌注的碘图,可以通过突出肺灌注不良的区域,进一步增加PE的识别价值。肺CTA扫描阳性的诊断标准包括在任何平面上的至少两个相邻图像上的肺动脉内出现边缘锐利的充盈缺损(图4)。充盈缺损可以是完整的、中心的或偏心的,与血管壁形成锐缘。栓塞的位置和程度(叶、节段、亚段)应记录在案。其他发现可能包括楔状周围实质实变,这与儿童肺CTA的PE显著相关。右心应变的次要症状,如室间隔变平或向右弯曲,或造影剂反流至下腔静脉或肝静脉(图4)。

血管环和吊索
血管环约占先天性心脏病的1-3%。它们代表胚胎性畸形,血管结构如主动脉、主动脉分支、肺动脉或血管残余物(如动脉韧带)环绕气管、食管或两者都有。临床表现根据血管环的位置和气管和食道的压力程度而不同。病人可能出现喘息、喘鸣或吞咽困难。
虽然血管环的影像学尚无参考标准,但CTA通常用于其明确的解剖鉴定和特征描述。胸片或食管透视可能提示血管环的存在,但缺乏直接的解剖显示。此外,CTA显示气管压迫或气管支气管软化比MRI或超声心动图更清楚(图5)。呼气相或动态气道成像可进一步促进评估。单动脉期CTA通常足以显示血管和软组织。首选右上肢或下肢静脉注射造影剂,因为左无名静脉致密造影剂的条纹伪影可能限制对异常弓的评估(关于右侧打药的问题可以参见:)。

血管环和吊索的可能结构包括双主动脉弓、异常左肺动脉(肺吊索)、右侧主动脉弓伴异常左锁骨下动脉、左侧主动脉弓伴异常右锁骨下动脉和右侧动脉韧带。左侧主动脉弓伴右锁骨下动脉畸形常伴有左侧动脉韧带,不认为是完整的血管环,通常无症状。导致血管环的闭锁性血管结构或动脉韧带的位置在CTA上可能很难确定,但在与弓侧相对的憩室中,或当降主动脉在弓的另一侧时,可能会提示。尤其是食管后锁骨下动脉起始处的憩室(Kommerell憩室)表明存在血管环,应予以报告,因为憩室可能导致症状并需要修复。
双主动脉弓是最常见的环状病变,占血管环的50-60%。右弓通常比左弓更大,更优越。确定双弓的优势侧很重要,因为手术矫正通常通过非优势侧开胸手术来完成。
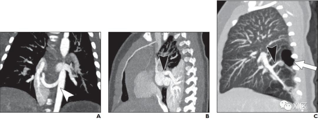
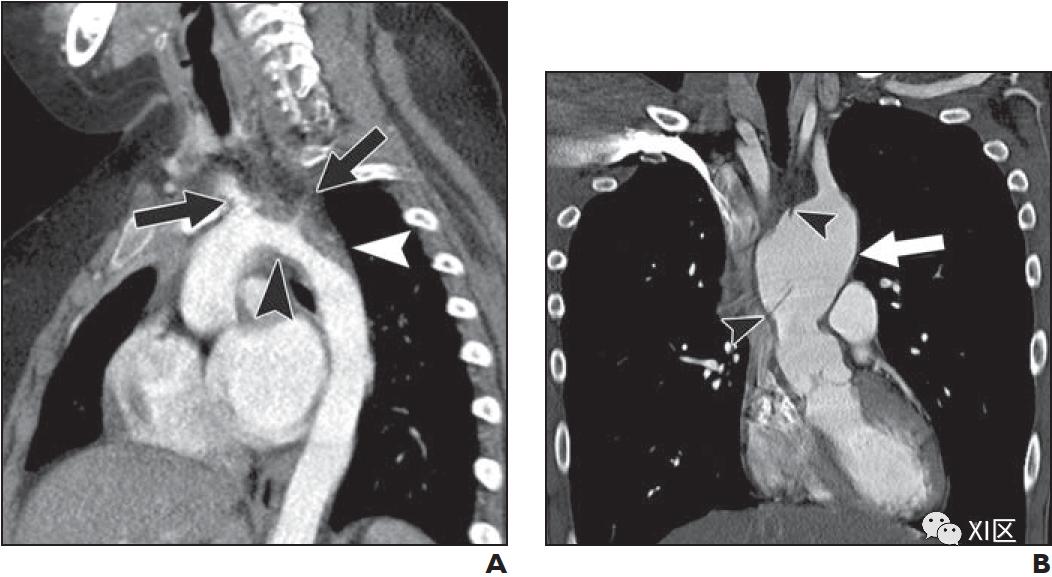
肺动脉吊索不是一个完整的血管环,但常有类似的气喘、咳嗽和反复肺部感染的症状。而正常情况下,左肺动脉(LPA)起源于主肺动脉,并在左主支气管上方和后方走行,而在肺吊索中,LPA来自右肺动脉,穿过右主支气管,然后在气管和食道之间穿过,到达左肺门(图5)。肺CTA对完全评估肺动脉吊索特别有帮助,因为它常常伴有气管支气管树的异常形态、气管支气管软化和其他异常的肺血管结构(图5)。
主动脉缩窄
主动脉缩窄(AC)是一种先天性异常,其特征是血流动力学上显著的主动脉弓狭窄。狭窄的部位可能是局限性或弥漫性,最常见的狭窄部位位于主动脉峡部。主动脉弓中断是一种类似的病变,其特征是升主动脉和降主动脉之间完全不连续,流向降主动脉的血流通常由动脉导管未闭供应。AC通常与固有血管壁异常、大血管异常或其他心内异常有关。
AC在子宫内很难诊断。如果未在产前发现,AC患者通常在婴儿期出现动脉导管闭合后股动脉搏动延迟或减少、臂-腿血压梯度或杂音。经胸超声心动图是AC的主要产后成像方式,但可能受到声窗的限制。CTA可提供高空间分辨率的主动脉完整显示。第三代双源CT扫描仪上提供的大螺距采集可减少心脏和呼吸运动伪影,并且通常无需心电门控,前提是不怀疑心内或冠状动脉异常。此外,斜位多平面和三维重建提供了直观的术前计划。CTA和超声心动图在术前定量测量中被证明是等效的。典型的CTA表现包括主动脉弓局灶性偏心狭窄,多条扩张的侧支动脉绕过狭窄段(图6)。当狭窄纵向跨度超过5毫米时,可诊断为管状发育不全。术前评估应包括测量近端横弓(无名动脉和左颈总动脉之间)、远端横弓(左颈总动脉和左锁骨下动脉之间)、峡部的主动脉直径,以及缩窄的部位(图6)。其他相关的发现包括弓分支模式和弓血管之间的距离。

腹 部
腹腔内出血
腹腔内出血可能表现为胃肠道(GI)来源的呕血,黑便或便血,或伴有腹膜内或腹膜后出血的低血压,血细胞比容下降和腹痛。腹部肿瘤破裂出血可发生在小儿肿瘤中,例如肝母细胞瘤,肝细胞腺瘤,血管平滑肌脂肪瘤,很少发生于神经母细胞瘤。其他潜在的腹腔出血来源可能与炎症或感染(如真菌性动脉瘤或胰腺炎相关性假性动脉瘤)或创伤性裂伤引起的肠系膜血管损伤有关。
在所有疑似腹部出血的病例中,适宜的检查取决于患者的稳定性和相关的临床症状。如果吐血和洗胃阳性提示上消化道来源,通常需要在没有进一步成像的情况下进行内窥镜检查。
小体积或慢性胃肠道出血,特别是伴有炎症性肠病症状时,可以使用CT或MR肠道造影方案进行评估,使用阴性口服造影剂给药突出炎症和腔内病变。在发生急性急性出血的情况下,血流动力学不稳定的儿童可能需要直接进行手术或经导管栓塞手术,而血流动力学稳定的患者可能无需口服对比剂即可受益于CTA,并提供路线图用于随后的栓塞或手术治疗。
在活动性动脉-腹腔出血的CTA中,可以看到血管损伤部位的造影剂外渗病灶(图7)。延迟成像有助于区分外渗和假性动脉瘤(假性动脉瘤是一种保留圆形形态的壁内出血)之间的区别。如果没有观察到活动性外渗,CTA仍然可以通过腹腔内血肿、肿块或血管异常的位置提示出血源。CTA可以以低至0.3 ml/min的速率检测活动性出血,而在常规血管造影中为0.5 ml/min,在胃肠道出血闪烁显像中为0.1 ml/min。

术前和术后评估
术前腹部CT经常被用来确定解剖结构和帮助制定手术计划。动脉期CTA可用于辅助切除血管肿块或确定术前栓塞的可行性。此外,术前动脉期成像通常在肝移植或肝切除前用于检测异常或副肝动脉和其他血管变异(图8)。随后的门静脉期成像确定肝段解剖和切除的分期,可以除外移植前门静脉或肝静脉血栓形成。术前CTA也可用于肾移植术前有腹膜透析或血管闭塞史的小儿患者,或主动脉和下腔静脉在超声上未完全评估时。尽管灰阶和多普勒超声是移植后评估的主要成像方式,但在怀疑动脉血栓形成、狭窄或动脉瘤的情况下,CTA可作为解决问题或确认的方式(图8)。


血管压迫综合征
血管压迫综合征是一组异质性和罕见的疾病,其特征是相邻结构压迫血管,或是血管对周围内脏产生肿块效应。涉及的结构不同,症状不同,一些患者可能会出现偶然的压迫影像学发现,但仍然没有症状。
应根据临床怀疑选择影像学检查策略。早期CTA主要用于动脉压迫,如正中弓状韧带综合征或肠系膜上动脉综合征。涉及静脉结构的情况,如May-Thurner综合征或胡桃夹综合征,将通过静脉期CT更好地评估。关于各种动脉压迫综合征和影像学表现的详细描述,见表1。
特征
SMA综合症
正中弓状韧带综合征
UPJ阻塞
受压部位
横十二指肠位于主动脉与SMA之间
经正中弓状韧带的腹腔动脉
UPJ穿过肾动脉或静脉
临床症状
恶心伴或不伴有呕吐、体重减轻、腹痛
腹痛,体重减轻
肾积水,腰痛,血尿
图像特征
主肠系膜角度变窄,主肠系膜距离缩短,CT或US、上消化道造影可显示胃和十二指肠近端扩张,排空延迟,横十二指肠有垂直的外源性印记
近端腹腔动脉局灶性狭窄;可能在呼气末更明显,但如果持续吸气则更具临床意义,因此,CTA通常在吸气时获得;MRI可提供动态特征
动脉期晚期行CT检查,可鉴别交叉动脉或静脉;多期或分次CT尿路造影或动态MR尿路造影可能有帮助
表1 动脉压迫综合征的主要临床和影像学特征总结
主动脉及主要分支血管系统性疾病
成像的角色
由于炎症、结缔组织或其他系统性疾病,主动脉及其分支血管可显示一系列后天性变化。超声心动图,超声检查和MR血管造影通常优选用于此类疾病患者的常规血管成像,因为避免电离辐射是可能需要终身监测的儿童的优先事项。另外,磁共振成像可以提供最佳的血管壁成像效果。数字减影血管造影(DSA)也可以作为血管评估的参考标准,特别是在这些疾病中,尤其是较小的动脉。然而,CTA具有短成像时间,紧急情况可用性以及较高的解剖和空间分辨率等优点。
肾血管性高血压
儿童继发性高血压比成人更常见,肾血管狭窄的发生率估计约占小儿高血压病例的5-25%。在主动脉缩窄和肾实质疾病之后,肾血管疾病是小儿继发性高血压的第三大最常见原因。许多潜在疾病可能导致儿童肾血管异常,其中许多是系统性疾病,并导致复杂的多系统疾病。这些包括纤维肌增生异常,中主动脉综合征,Williams综合征,Turner综合征,母斑病如神经纤维瘤1型(NF1)和结节性硬化症,以及血管炎(图9)。这些疾病中许多疾病的影像学特征重叠,并且与其他临床特征(例如NF1病例中的咖啡色皮肤表现)的相关性对于最终诊断通常是必需的。

DSA是诊断肾动脉狭窄的参考标准,具有小血管效应和立即血管成形术的潜力。多普勒超声通常用作小儿肾血管性高血压的一线筛查试验,其特异性为94–95%,但敏感性仅为65%。相比之下,CTA在儿科人群中显示出88%的敏感性。MRA对肾动脉狭窄具有较高的敏感性和特异性,而使用钆造影剂则更为如此,但对于肾功能不全的患者,未增强序列具有合理的准确性。然而,CTA是非侵入性的,在大多数情况下无需镇静即可进行,并且已被证明具有与成人DSA相当的准确性。此外,CTA可能显示出非血管性高血压原因,例如肾脏或肾上腺肿瘤。
肾血管疾病的CTA表现包括动脉不规则,串珠样轮廓和狭窄(图9)。儿童的大多数肾动脉狭窄累及主要,附属或节段性肾动脉。在CTA上很难显示二级分支远端的实质内动脉,而DSA可能对于明确排除肾脏实质内狭窄是必要的。狭窄的继发体征可能包括狭窄后扩张,侧支动脉的存在,局灶性实质性灌注缺陷,不对称的肾X线造影图和实质性瘢痕形成(图9)。
血管炎
炎性血管炎可以是原发性或继发性,原发性血管炎通常根据主要受累的血管大小进行分类,分为:小,中或大。在小血管血管炎中,如肉芽肿伴多发性血管炎或过敏性紫癜,成像只能显示继发性血管外影响,而不能直接显示血管变化。然而,横截面成像在显示中、大血管血管炎的血管变化中起着核心作用。儿童大血管血管炎主要局限于大动脉炎,巨细胞动脉炎通常影响成人(图10)。小儿中型血管最常见的是川崎病和结节性多动脉炎。

表2总结了常见的小儿中,大血管炎的详细描述。尽管DSA是血管炎的参考标准,但CT和MR血管造影可无创评估血管腔直径和炎性血管壁变化。大血管和中血管血管炎的影像学表现没有特异性,诊断需要临床标准。CTA可显示血管腔不规则或修剪,狭窄,动脉瘤或血栓形成(图10)。此外,应评估血管壁的同心或偏心增厚,增强,水肿或钙化(图10)。
特征
大动脉炎
川崎病
结节性多动脉炎
非典型川崎病
贝谢病
Behçet Disease
描述
慢性复发性肉芽肿性血管炎
全身性血管炎,最常见于亚洲及太平洋岛国后裔
坏死性血管炎导致结节性壁改变和动脉瘤形成
婴儿表现为持续发热和冠状动脉外多支血管受累,无其他川崎病临床特征
系统性、异质性血管炎伴复发性口腔溃疡,最常见于亚洲和中东地区
血管尺寸
大
中
中
中
所有
易感部位
主动脉弓及其分支,肺动脉
冠脉
胃肠道、肾动脉
冠状动脉是最常见的受累部位
肺动脉、体部动静脉
表2 小儿血管炎的关键临床和影像学特征总结
儿童主动脉病
主动脉瘤和主动脉夹层在小儿中很少见。然而,一些结缔组织疾病使儿科患者容易形成动脉瘤和动脉夹层,其中最显著的是马凡、Ehlers-Danlos和Loeys-Dietz综合征等(图10和表3)。此外,除了可识别的遗传综合征外,主动脉瘤还具有遗传倾向,主动脉瘤患者的一级亲属自身发生动脉瘤的风险增加10-12倍。对潜在动脉瘤易感综合征患者的评估通常需要对整个胸部、腹部和骨盆进行成像,尽管已知有些疾病只影响部分主动脉。当评估主动脉根部扩张时,ECG门控确保没有心脏运动伪影。多平面重建和双斜面测量对于弯曲的血管的精确和可重复测量必不可少。考虑到儿童身体尺寸的正常变化,主动脉大小异常没有绝对阈值。相反,主动脉大小与根据体表面积计算的人群z评分进行比较。
常见的血管特征
马凡氏综合症
Marfan syndrome
扩张或动脉瘤影响主动脉根,胸主动脉或腹主动脉,肺动脉
埃勒斯-丹洛斯综合症
Ehlers-Danlos syndrome
主动脉扩张或动脉瘤,动脉破裂风险升高
洛伊斯-迪茨综合症
Loeys-Dietz syndrome
动脉瘤(有更快进展的风险),解剖(即使没有明显的血管扩张)
威廉姆斯综合症
Williams syndrome
主动脉和肺动脉发育不全,肾动脉狭窄
家族性主动脉瘤和解剖综合征
Familial aortic aneurysm and dissection syndromes
升主动脉瘤和夹层
二叶主动脉瓣
Bicuspid aortic valve
升主动脉扩张
特纳综合征
Turners syndrome
主动脉根部扩张,胸主动脉瘤或夹层,主动脉缩窄
神经纤维瘤
Neurofibromatosis
狭窄或动脉瘤主要影响肾动脉和腹主动脉
常染色体显性多囊肾病
Autosomal dominant polycystic kidney disease
主动脉根部扩张,胸主动脉夹层,颅内和冠状动脉瘤
动脉曲折综合征
Arterial tortuosity syndrome
大中型动脉曲折伴狭窄和动脉瘤形成
表3 小儿全身血管疾病的主要特征总结
结 论
CTA是一种多功能的成像方式,尤其有助于描述胸腹部疾病的动脉解剖。对儿科常见血管病变的深入了解将有助于在这些临床环境中利用CTA的益处。放射科医生应该使用优化的技术和协议来增强儿童CTA的诊断能力。适当的CTA将在这类患者的诊疗或外科治疗计划中发挥关键作用。
关于双源CT在小儿先心病中的应用,参见:。
原文参见:Romberg EK, Tang ER, Chandra T, Podberesky DJ, Epelman M, Iyer RS. Applications of Pediatric Body CT Angiography: What Radiologists Need to Know. AJR Am J Roentgenol. 2020;214(5):1019-1030. doi:10.2214/AJR.19.22274 仅供专业人士参考,不用于商业用途。