原创 HH 医学界神经病学频道
建议朋友们收藏本文。
CT和MRI在脑出血的诊断检查中可称为“双雄”,二者各有所长。临床拟诊为急性脑内出血的病例可首选CT检查;对于亚急性或慢性血肿,MRI检查比CT更为敏感,对出血原因的判断也优于CT,MRI可作为首选。
本文将带大家学习脑出血演变过程,并从本质上解释不同脑出血时期MRI表现,让大家对脑出血病有进一步的认识。
脑出血演变过程
脑出血不同时期MRI的表现与红细胞和血红蛋白的变化有关,我们先弄清楚脑出血后血肿内血红蛋白演变过程。
▎红细胞与血红蛋白
红细胞呈双凹圆碟状,是血液中数量最多的一种血细胞,血红蛋白(hemoglobin, Hb)是红细胞内含量最丰富的蛋白成分,主要功能是运输O2和CO2。Hb由珠蛋白和血红素组成,血红素中结合的铁离子为Fe2+。
下面几个概念经常容易混淆,请明晰:
氧合血红蛋白(oxyhemoglobin, HbO2):O2与Hb蛋白结合形成氧合血红蛋白,氧合血红蛋白中的铁离子为Fe2+,因为这一过程发生的是氧合作用,而非氧化作用。
脱氧血红蛋白(deoxyhemoglobin):HbO2中的O2释放之后的血红蛋白或没有结合O2的血红蛋白称为脱氧血红蛋白,同样脱氧血红蛋白中的铁离子也是Fe2+。
高铁血红蛋白(methemoglobin):当血红蛋白中的铁离子丧失一个电子,即被氧化为Fe3+时,就称为高铁血红蛋白,也称为正铁血红蛋白。
含铁血黄素(hemosiderin):由巨噬细胞吞噬红细胞后形成,实际上是铁蛋白微粒,光镜下呈棕黄色,含铁血黄素中的铁离子为Fe3+。
脑出血后血肿内血红蛋白演变过程如图1所示。

▎脑出血后演变过程
血肿病理演变过程如图2所示。需要注意的是,红细胞细胞膜的完整性将影响磁共振上的T2信号。虽然血肿内含有同一种物质,但在红细胞破裂发生溶解之后,血肿变为低蛋白血肿液,T2可以由之前的低信号变为高信号,这一点可帮助我们更好的理解脑出血亚急性期的演进过程。

不同脑出血时期MRI表现
脑出血分为超急性期、急性期、亚急性期和慢性期,各期时间界限尚不统一。
▎超急性期:<6小时至<24小时
血液刚从动脉里流出来,红细胞是完整的,内含氧合血红蛋白,最“原汁原味“。超急性期尚未凝固的血液表现出血液在磁共振检查中长T1长T2特性,即T1WI上表现为略低信号,在T2WI上呈现高信号。超急性期3小时后可出现血肿周围水肿。

▎急性期:7~24小时至2~3天
急性期红细胞的细胞膜保持完整,细胞内的氧合血红蛋白释放出氧变成脱氧血红蛋白。此期,T1WI上信号变化不明显,T2WI上表现为低信号。血肿周围的水肿在MRI上表现为T1WI低信号,T2WI较高信号。

▎亚急性期:3天~2周至3天~3周
亚急性期血红蛋白的演变过程为由脱氧血红蛋白转变为高铁血红蛋白(正铁血红蛋白),这种演变由血肿外周向血肿中心部位进行。
亚急性期红细胞的演变是红细胞逐渐破裂,这一变化也是从血肿外周向血肿中心部位进行。脱氧血红蛋白的转变和红细胞的破裂可以出现重叠。当红细胞细胞膜完整时,高铁血红蛋白由于是顺磁性物质,在MRI上表现为T1高信号,T2低信号;但当红细胞溶解破裂时,如前文所述,高铁血红蛋白游离出来,血肿为低蛋白血肿液,此时MRI上表现为T1高信号,T2高信号。

在亚急性期晚期,或者说亚急性期“成熟“的时候,血肿部位的红细胞均溶解,脱氧血红蛋白均变为高铁血红蛋白,MRI上表现为T1高信号,T2低信号。亚急性期,血肿周围的水肿仍存在。

▎慢性期:2周后或3周后
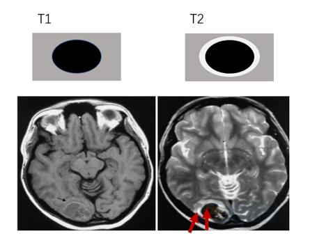
慢性期早期的MRI表现与亚急性晚期相似。之后,血肿内血红蛋白最终被吞噬、分解、移除,留下大量的含铁血黄素。血肿被逐渐吸收或液化,部分形成囊腔,周边可出现明显的含铁血黄素沉积。因此, T1WI上表现为低信号,T2WI上表现为,囊腔或液化灶呈高信号,可出现周围含铁血黄素低信号环。慢性期水肿消退。

需要注意的是,脑出血的演进是一个连续的过程,在亚急性晚期,可出现血肿周围的高铁血红蛋白被巨噬细胞吞噬,形成含铁血黄素沉积,表现为环绕在血肿周围的T1、T2低信号环,这时,亚急性晚期和慢性期早期其实有相似的表现,不太容易区分。
要点总结
既无脑水肿又无含铁血黄素环信号表现的血肿处于超急性期,且在超急性期中处于早期;
T1和T2均表现为高信号时,血肿处于亚急性期;
出现明显含铁血黄素环的血肿可见于亚急性晚期和慢性期早期。
脑出血的演变是一个复杂的过程,根据患者出血量的大小,患者的年龄,局部血液供应的好坏,脑出血吸收情况及分期时间并不相同,所以临床医生需要动态评估患者的疾病过程,对于磁共振表现给予合理的解读。
以上内容根据大连大学附属新华医院神经内四科唐伟教授讲座《脑血管病MRI阅片技巧》整理,更多脑出血MRI阅片练习和讲解,欢迎访问医生站。
参考文献:[1] 白人驹,张雪林. 医学影像诊断学.北京: 人民卫生出版社 (第3版).
本文审核专家
邹良玉教授
医学界神经病学兼职主编
邹良玉教授博士毕业于香港大学医学院,博士后毕业于哈佛大学医学院,现任深圳市人民医院神经内科,主任医师,副主任;暨南大学博士研究生导师。
担任国家自然科学基金项目主持者,评审专家;中国卒中学会青年委员;中华预防医学会卒中预防与控制专业委员会青年委员会委员;广东省卒中学会卒中后认知障碍分会副主任委员;广东省健康管理学会脑血管病防治与健康促进专业委员会副主任委员;广东省卒中学会委员;广东省医学会神经病学分会委员,痴呆学组组员;广东省医师协会会神经病学分会委员;深圳市医师协会神经病学分会痴呆与认知障碍学组组长。
本文首发:医学界神经病学频道
本文整理:HH
原标题:《不同脑出血时期MRI表现,你掌握了吗?》