原创 杜华阳 医学界消化肝病频道

做消化科医生是个技术活,不仅自己科里的一套要拎得清,还得了解各科的专业知识!对消化科「新起之秀们」来说,读腹部的CT、MRI真是个世纪大难题:脏器结构太复杂、成像原理没摸透、重要概念不清晰.....
为此,医学界消化肝病频道推出全新专栏:影像图解!第一期,让我们一起来认识一下肝脏密度弥漫增高~
文章开始前,先来做个小调查,你知道肝脏正常密度是多少吗?欢迎评论区留言~
先来看一个病例
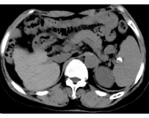
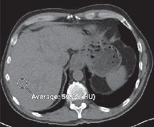
先来看一个病例:68岁女性患者,1年半前因乏力及双下肢水肿,就诊于当地医院诊断为“肝硬化”,2周前因上述症状加重。全身皮肤黏膜及巩膜轻度黄染,双手及颜面部黑色素沉着,双下肢轻度凹陷性水肿。腹部CT平扫如下图:

我国是乙肝大国,我们在临床中见到很多肝硬化患者,临床大夫可能要给患者开乙肝病毒检测。
但患者真的是“肝硬化”吗?患者又做了磁共振检查(MRI):

患者做了肝脏病理,肝组织铁染色(++)。
最后真相大白,该患者为继发性含铁血黄素沉着症。过多的含铁血黄色在肝脏沉积,导致肝脏继发的表面不光整,造成“肝硬化”的假象。我们再仔细看肝脏CT图像,肝脏密度升高,明显高于同层面脾脏、腹主动脉管腔密度。
在临床工作中,我们很容易忽略肝脏密度升高,直接根据肝脏边缘不光滑,判断为“肝硬化”可能。
肝脏正常密度是多少?(悄悄告诉你,45HU-65HU)。遇到肝脏密度弥漫增高的患者,我们诊断思路是什么,考虑哪些疾病?该如何鉴别诊断?
再来看第2个病例
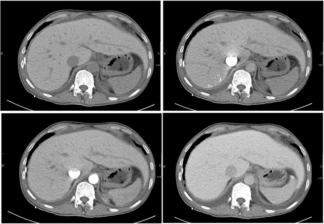
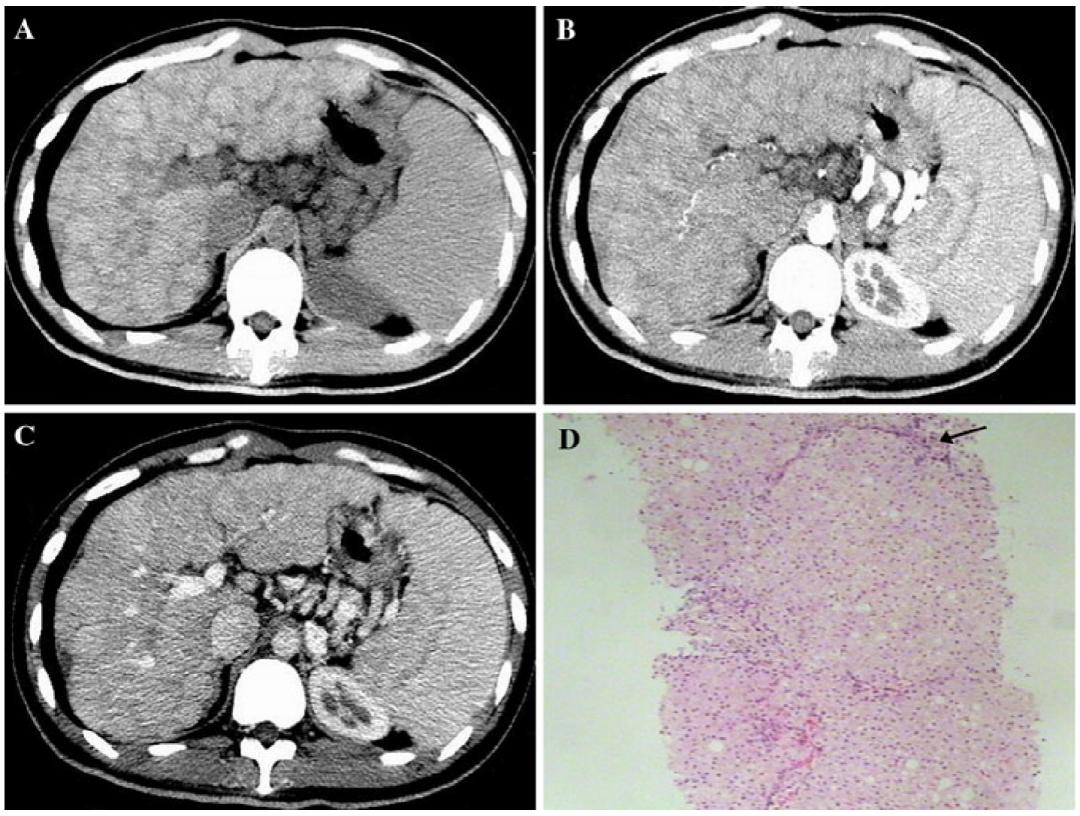
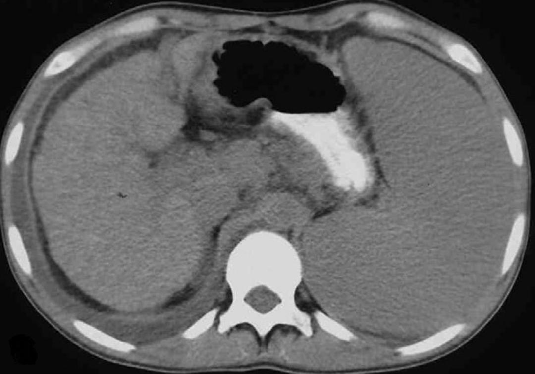
我们再来看第2个病例:46岁男性患者,因低血压、全身可凹性水肿、劳力性呼吸困难。行腹盆增强CT检查,检查图像如下:

我们再看一下肝脏层面增强CT图像(依次是平扫、动脉期、门脉期、延迟期):

患者的影像学,需要我们影像及临床大夫仔细考虑的就是:肝脏体积增大、密度弥漫性增高。
肝脏体积增大、密度弥漫性增高,主要考虑血色病(遗传性血色素沉着病、继发性含铁血黄素沉着症)、糖原沉积症(GSD)、肝豆状核变性(Wilson病)、胺碘酮治疗后改变四种疾病。
遗传性血色素沉着病
遗传性血色素沉着病常染色体隐性遗传,男性患者多见。临床表现与组织中铁沉积过多相关。
初期无特异临床表现,从单纯的生化指标异常开始,逐渐累及肝脏、心脏、内分泌器官(如胰腺和脑下垂体)、关节和皮肤等多器官。原发性血色素沉着症常发病于30~40岁。
大多数患者在被确诊为遗传性血色素沉着病的时候无症状,主要是因为肝功能异常,或者是亲属或本人在体检时发现血清铁异常时才发现。
肝脏受累时可有肝大和右上腹疼痛,如果疾病继续进展为肝硬化,患者可发展为门脉高压或肝癌。
铁在心肌中沉积可能造成扩心病、心律失常以及心脏功能衰竭;青铜型糖尿病也是其中一种严重并发症,表现为皮肤特征性发黑,主要由黑色素的含量增加导致,通常是晚期血色素沉着病的罕见表现。
遗传性血色素沉着病影像学表现:
CT:肝脏密度弥漫性增CT值达75HU-130HU,肝内血管密度相对减低(又称为“白肝病”);
MRI:T1WI、T2WI低信号(“黑肝症”)。



继发性含铁血黄素沉着症
各种外源、内源的铁在人体内沉积,就会形成继发性含铁血黄素沉着症。具体有如下三方面:
外源性铁代谢异常:长期大量输血、过量使用铁剂、经常摄入含铁量高的食物、长期酗酒、某些血液病(反复溶血、遗传性球形红细胞增多症、恶性贫血)等;
体内铁的利用减少:再生障碍性贫血等;
慢性肝脏疾病所致的铁代谢障碍:门-腔静脉分流术后、迟发性皮肤卟啉病等。
遗传性血色素沉着病和继发性含铁血黄素沉着症都是铁沉积,前者为原发,后者为继发,两者之间亦有区别。具体区别点如下:
表1:遗传性血色素沉着病和继发性含铁血黄素沉着症的区别

GSD属于先天性疾病,先天性糖原代谢异常,好发于婴幼儿,13个亚型,I型最常见。主要累及肝、肾、肌肉和脑。
临床表现主要有:生长发育迟缓(身体各部分比例及智能正常);肝脏增大;空腹低血糖、乳酸性酸中毒、高脂血症、高尿酸血症。
肝脏增大,当肝细胞内糖原积聚到一定量时,肝密度增高,明显高于脾。增强扫描无明显改变。弥漫脂肪浸润时,可部分或完全抵消糖原对肝密度的影响,肝脏的CT值高低取决于糖原和脂肪的相对含量,可表现为肝实质密度的升高、正常或降低。
GSD的影像学表现:
(1)肝脏显著增大;
(2)肝实质密度:取决于糖原和脂肪相对量,可表现为升高、正常或降低;
(3)可合并肝腺瘤。
出现下列情况需要警惕GSD的可能:
(1)肝脏肿大,伴或不伴脾肿大;
(2)生长发育迟缓;
(3)生化指标提示肝酶↑,血尿酸↑,甘油三酯、胆固醇↑,血糖↓;
(4)肝脏多发富血供病变。
肝豆状核变性
Wilson病是先天性铜代谢障碍,ATP7B基因功能障碍,导致铜蓝蛋白合成减少、胆管排铜障碍。铜代谢异常时铜首先沉积于肝脏。临床上可出现肝大和黄疸等肝细胞损害症状,易误诊为肝炎,至晚期肝脏表现为间质纤维化和坏死后肝硬化。影像学只是作为诊断Wilson病的辅助手段。
Wilson病的诊断依据:
(1)眼科裂隙灯检查异常:KF环阳性;
(2)血生化异常:血清铜氧化酶活力下降,和(或)血清铜蓝蛋白水平下降尿铜含量增高;
(3)典型椎体外系神经症状;
(4)不典型肝、肾、胃肠道等症状;
(5)影像学检查异常:脑CT双侧基底神经节、豆状核对称性低密度灶;结节性肝硬化或肝脂肪变性。
虽然上面提到了很多检查,但是在临床工作中,只能使小部分人确诊并在治疗中受益,很多患者都是病情发展到终末期才被发现。患者是否有临床症状、以及患者的病情程度取决于诊断时的疾病阶段和病理学变化。但是影像学可在出现症状前发现影像改变。
CT及MRI上,大部分病例主要表现为结节性肝硬化。早期肝细胞受损可出现肝脏肿胀增大,主要为右肝增大,各肝叶间比例正常,肝脏密度可增高;随着病程进展,肝细胞发生脂肪变性,表现为肝脏密度下降;最后形成肝硬化,表现为肝内多发大小不等、直径1cm-3cm、边界尚清的再生结节,平扫时结节呈稍高密度而可区分于周围有脂肪变性的肝组织,增强扫描时结节强化不显著。


Wilson病在CT上表现为基底神经节对称性的低密度影,需要与缺血性改变鉴别。
在磁共振图像上,Wilson病较敏感,表现为双侧基底节区对称性条状或新月形异常信号,典型者在T2WI 及FIAIR图像基底节层面上,依据受累基底节神经核团的不同,分别表现为“啄木鸟”、“八字”、“双八字”和“展翅蝴蝶”样改变等征象。我们主要是说肝脏密度增高疾病,不再详细阐述Wilson病的颅脑影像改变。
胺碘酮治疗后改变
平扫CT肝脏密度相对增高应考虑是否使用了抗心律失常药物胺碘酮。胺碘酮含有碘,胺碘酮的代谢产物脱乙基胺碘酮与肝脏亲和力大,在肝脏中积聚和代谢,导致肝脏密度增加。确切的由胺碘酮所致肝毒性相对罕见。
胺碘酮治疗后的影像学:
CT:肝脏密度均匀性增高;
MRI:表现变化不大。
诊断:测定血中脱乙基胺碘酮、结合病史。
复盘一下
回到本文中的第2个病例:46岁男性患者,因低血压、全身可凹性水肿、劳力性呼吸困难就诊。
经询问病史:
(1)7年前:多饮、多食、多尿;皮肤色素沉着;双下肢水肿;
(2)4年前:自觉肝大(肋下可及);
(3)近一个月:低血压、全身可凹性水肿、劳力性呼吸困难。
患者血常规:WBC 6.29×109/L,NEUT# 4.18×109/L,Hb 145g/L,PLT 95×109/L(正常);
生化检查:ALT 122U/L,ALP 138U/L,AST 145U/L(升高);
铁四项:Fe 190.8μg/dl,TRF 1.40g/L,,TIBC 192μg/dl,IS 99.3%,TS 96.6%,Fer 5793ng/ml(升高);
心肌酶谱:cTnI 0.091μg/L,NT-proBNP 1600pg/ml(升高);
超声心动图:心肌病变;全心增大;轻-中度二尖瓣关闭不全;三尖瓣关闭不全;左右室收缩功能重度减低;左室限制性舒张功能减低。
结合影像学及实验室辅助检查可确诊:该患者是血色病患者。
患者没有做心肌MRI,基因分析等检查,无法明确鉴别是原发性还是继发血色病,但一些典型特征:皮肤特征性发黑、无外源内源铁的异常沉积病史、CT显示脾脏密度正常、超声提示心肌病变,血检正常、心肌酶谱NT-proBNP异常,可以推断很大可能属于原发性血色病。
来看总结!
肝脏密度增高的病例在临床并不少见,但平时我们工作中往往易误诊,主要是对它的发病机制和病理改变了解不多,在遇到肝脏弥漫性密度增高的病例时,应该想到血色病、Wilson病、GSD、胺碘酮治疗后改变等疾病。
为了方便大家理解和掌握肝脏密度增高疾病的鉴别诊断,做了下面的对比表格。其中,胺碘酮治疗后有明确病史,就没有列入其中。
表2: 肝脏密度增高疾病的鉴别诊断

参考文献:
1、 Lawrence EM, Pooler BD, Pickhardt PJ. Opportunistic Screening for Hereditary Hemochromatosis With Unenhanced CT: Determination of an Optimal Liver Attenuation Threshold. AJR Am J Roentgenol. 2018;211(6):1206‐1211. doi:10.2214/AJR.18.19690
2、 Li W, Zhao X, Zhan Q, et al. Unique CT imaging findings of liver in Wilson's disease. Abdom Imaging. 2011;36(1):69‐73. doi:10.1007/s00261-010-9606-8
3、 Akhan O, Akpinar E, Karcaaltincaba M, et al. Imaging findings of liver involvement of Wilson's disease. Eur J Radiol. 2009;69(1):147‐155. doi:10.1016/j.ejrad.2007.09.029
4、 马林, 高元桂. 肝豆状核变性的脑MRI诊断[J]. 中华放射学杂志, 1995, 029(008):515-518.
5、 Beyzaei Z, Geramizadeh B. Molecular diagnosis of glycogen storage disease type I: a review. EXCLI J. 2019;18:30‐46. Published 2019 Jan 30.
本文首发:医学界消化肝病频道
本文作者:杜华阳
本文审核:杨卫生 景德镇市第二人民医院副主任医师
责任编辑:Mary
版权申明
本文原创 如需转载请联系授权
- End -