原创 掌健识 上海市医学会健康科普基地
做健康的传播者,一路同行,一起成长

食物过敏的诊断主要根据宝宝的临床症状、实验室检查来确定,实验室检查主要包括皮肤点刺试验和特异性IgE检测等。当然,食物激发试验才是诊断食物过敏的的金标准。那么临床上,如何来解读这些检查报告呢?
1、嗜酸性粒细胞增高一定是过敏么?
很多宝宝的过敏都是就医时发现血常规中嗜酸性粒细胞增高才被发现的。那么,什么是嗜酸性粒细胞呢?嗜酸性粒细胞增高一定是过敏么?
血液中的细胞大致可分为三类:白细胞、红细胞和血小板。白细胞又分为粒细胞、淋巴细胞和单核细胞。粒细胞再细分为中性粒细胞、嗜酸性粒细胞和嗜碱性粒细胞;淋巴细胞再细分为T淋巴细胞、B淋巴细胞以及NK细胞;单核细胞包括单核细胞、巨噬细胞和树突状细胞。根据免疫细胞所行使功能的不同,将吞噬细胞(包括中性粒细胞和巨噬细胞)、树突状细胞、NK细胞、嗜酸性粒细胞和嗜碱性粒细胞归于固有免疫的组成细胞,而将T淋巴细胞和B淋巴细胞归为适应性免疫应答细胞(图1所示)。简单的讲,可以将这些细胞认为是国家的不同兵种,各司其职,兵种不同,其功能和杀伤力不一样。

那么嗜酸性粒细胞在其中发挥什么作用,充当什么角色呢?
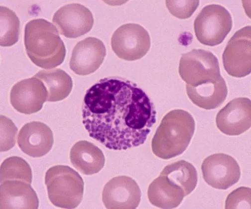
嗜酸性粒细胞(图2)具有杀伤细菌、寄生虫的功能,也是免疫反应和过敏反应过程中极为重要的细胞。嗜酸性粒细胞可以释放颗粒中的内容物,引起组织损伤,促进炎症进展。血液中嗜酸性粒细胞的数量表现为昼夜周期性波动。清晨细胞数减少,午夜时细胞数增多。这种细胞数的周期性变化是与肾上腺皮质释放糖皮质激素量的昼夜波动有关的。当血液中皮质激素浓度增高时,嗜酸性粒细胞数减少;而当皮质激素浓度降低时,嗜酸性粒细胞数增加。

外界过敏原进入机体,引起体内一系列瀑布式免疫应答反应,嗜酸性粒细胞在细胞因子的招募下,进入炎症部位,同时被活化,释放胞内颗粒物质,这些颗粒物质会导致局部炎症反应。
应当说,嗜酸性粒细胞增高对提示过敏有重要意义。比如,我们经常看到1岁以内湿疹的宝宝,血常规嗜酸性粒细胞会增高,3-4个月便血的宝宝嗜酸性粒细胞增高,还有就是喘的宝宝嗜酸性粒细胞也可能增高,这几种情况的嗜酸性粒细胞增高都可能与过敏有关。
但是,并不是嗜酸性粒细胞增高就一定是过敏。当外周血嗜酸性粒细胞占白细胞总数的5-15%时,提示过敏反应;占16-40%时,提示存在过敏反应或其他情况(如药物超敏反应、白血病、自身免疫性疾病或寄生虫感染);占50-90%时,多见于嗜酸性粒细胞增多症或内脏幼虫移行症。因此,在判定时,需结合宝宝的临床表现,有时候甚至需要做些检查排除其他情况。
外周血涂片:在做血常规的同时可加做外周血涂片,一方面可了解外周血中是否有原始的幼稚的细胞,排除嗜酸性粒细胞白血病,另外可了解异常淋巴细胞的比例,排除药物过敏(药疹伴嗜酸性粒细胞增多和系统症状异常淋巴细胞>5%);
血、粪寄生虫检查:排除寄生虫感染;
骨髓穿刺及活检:若高度怀疑嗜酸性粒细胞白血病时,或者外周血涂片发现幼稚的嗜酸性粒细胞时,需行骨髓穿刺或者活检明确疾病类型。
基因检测:很多嗜酸性粒细胞增多的宝宝,可能存在基因异常,尤其是那些持续增高超过半年,又找不到其它原因的宝宝,需要做个基因,看看是不是存在基因突变。
2、皮肤点刺试验结果解读
皮肤点刺试验是一种体内试验(图3),主要用于诊断IgE介导的食物过敏。

那么如何判定皮肤点刺试验阳性呢?根据风团大小对其反应进行分级,如表1所示。
表1 皮肤点刺试验结果判定及分级分级风团直径(mm)红晕直径(mm)-<5<5+5-910-19++10-1420-29+++15-1930-39++++>20
>40
那么,是不是皮肤点刺试验阳性就一定是对该食物过敏呢?是不是阴性就一定能排除该食物过敏呢?答案是否定的。皮肤点刺的敏感性非常高,若风团<3mm,95%可除外IgE介导的过敏,而若皮肤点刺试验阳性,却不一定就是食物过敏,假阳性的概率非常高,这是因为,皮肤点刺阳性代表机体已被致敏,临床并不一定过敏。
另外,皮肤点刺试验受干扰因素多,比如机体的免疫状态以及药物等,口服抗过敏药物可能导致皮肤点刺试验假阴性。应当说,皮肤点刺阴性对于排除食物过敏更有意义。
3、特异性IgE结果解读

图4是我们食物和吸入性过敏原特异性IgE检测的化验单,我们可以看到,它包括总IgE的检测和19种常见食物过敏原(牛奶、鸡蛋白、虾、牛肉、青贝、蟹、芒果、腰果、菠萝)和吸入性过敏原(户尘螨、屋尘、混合霉菌、混合草花粉、混合树花粉、桑树、狗毛皮屑、猫毛皮屑、蟑螂、反枝苋)特异性IgE的检测。
总IgE反映的是机体的总的过敏状态,总IgE的高低可在一定程度上反映机体过敏反应的严重程度,但是,需要强调的是,总IgE不是简单的各种特异性IgE相加的结果,因为临床上可能遇到很多总IgE很高,而特异性IgE几乎没有的情况,如何来解释这种情况呢?这种情况可能是宝宝有导致过敏的过敏原,可能是吸入性的,也可能是食物性的,但是由于我们检测手段有限,未能包括在这19种过敏原中。这种情况,家长需要注意仔细观察,宝宝平时日常生活中,接触什么物品或者进食什么食物可能出现过敏反应,避免就可以了。
如图4所示,对于特异性IgE,根据过敏程度的不同,将其分为6个等级,如表2所示:
表2 特异性IgE分级级别数值(IU/ml)0级<0.351级0.35-0.72级0.7-3.53级3.5-17.54级17.5-505级50-1006级>100
图中患儿户尘螨43.58IU/ml,表明该患儿对尘螨中重度过敏(4级),同时,我们也看到该患儿牛奶0.50IU/ml,那么是不是宝宝就不能喝牛奶和进食牛奶制品呢?答案是否定的。这是因为,食物过敏虽然发生较早,在婴儿早期就可以出现,以鸡蛋、牛奶过敏最为常见,但是随着年龄的增长,食物过敏会逐渐耐受,虽然有些食物会终生过敏(表3)。
表3 食物过敏的转归预后食物种类时限缓解牛奶>50% 5-10岁
鸡蛋50% 2-9岁
小麦50% 7岁
大豆45% 6岁持续存在花生20% 4岁
坚果10%
鱼终生
贝类终生
因此,对于5岁宝宝而言,吸入过敏原是主要的过敏原,食物过敏原特别是牛奶已逐渐耐受,若宝宝进食牛奶没有反应,牛奶是可以进食的。
那么,特异性IgE对食物过敏诊断的准确性如何呢?是不是过敏原阳性一定是该食物过敏呢?是不是级别越高,过敏的程度越严重呢?是不是过敏原阴性,就一定能排除该种食物过敏呢?
首先,食物特异性IgE检测阳性,仅仅表明宝宝已经被致敏,并不能代表宝宝对该食物一定过敏。根据食物激发试验阳性结果来反推食物特异性IgE对食物过敏的诊断预测价值,发现,只有超过一定数值才具有较高的阳性预测值,如表4所示。
表4 常见食物特异性IgE阳性预测值过敏原阳性预测水平
(IU/ml)阳性预测值
(%)鸡蛋(≥2岁)798鸡蛋(<2岁)295牛奶(≥2岁)1595牛奶(<2岁)595花生14100鱼20100大豆3073小麦2674
就如图4所示的宝宝,虽然牛奶0.50IU/ml,但是对于大于5岁的宝宝来讲,只有牛奶大于15,才具有较高的阳性预测值,而该患儿只有0.50,对牛奶及奶制品过敏的几率是非常小的,因此,还是那句话,若该患儿进食牛奶和奶制品没有反应,是可以进食的,不需要忌口。
另外,需要强调的是,虽然根据检测值的不同,对其进行了级别划分,对个体而言,当然是级别越高,过敏的可能性越大,但是在不同个体之间可能存在差异,比如一个牛奶5.8IU/ml和另外一个牛奶9.5IU/ml的患儿,不能说后者过敏的可能性一定比后者大,这可能是个人基因及耐受性所决定的。
那么,是不是特异性IgE阴性,就一定能排除该食物过敏呢?也不尽然,应当说,食物特异性IgE阴性,75%的可能性对该食物不过敏,还可能漏掉25%。另外,我们知道,我们的食物过敏分为IgE介导、非IgE介导和IgE/非IgE混合介导的,而特异性IgE只能检测IgE介导的,因此,特异性IgE检测阴性,并不能完全排除食物过敏。特别是1岁以内的小宝宝,这个年龄段最常见的过敏是鸡蛋和牛奶,而牛奶蛋白过敏可能是IgE介导的,也可能是非IgE介导的,这个年龄段的小朋友特异性IgE检测常常都是阴性的,这并不能说明宝宝就是什么食物都不过敏,而是有可能是非IgE介导的过敏,目前非IgE介导的食物过敏,尚没有很好的检测手段,因此无法判断。
4、特异性IgG检测有必要么?
既往,我们把食物特异性IgG检测称为食物不耐受,随着人们对食物不良反应的认识,发现,这个概念是完全错误的。我们的食物过敏和食物不耐受均属于食物不良反应的范畴,无论是IgE介导的还是IgG介导的,都有免疫机制的参与,因此都归于食物过敏的范畴。而食物不耐受是指由于机体本身的不良状态或者某些食物的毒性反应导致的食物不良反应(如图5所示)。因此,食物不耐受和特异性IgG没有任何关系。

而我们所说的IgG检测属于非IgE介导的食物过敏,那么IgG检测的意义何在?IgG阳性就一定是食物过敏么?
首先,应当说,从理论上讲,IgG检测在一定程度上可能反映非IgE介导的食物过敏。但是,我们知道,IgG是一种抗体,我们在进食某些食物后,体内都会产生该食物特异性的IgG,但是我们到底对这种食物是不是过敏呢?不确定。我们来看一个例子:
小明11月了,生后3月起反复湿疹,一直母乳喂养,妈妈未忌口。长期反复湿疹,不仅使宝宝皮肤粗糙,而且严重影响了宝宝的睡眠,一到夜间,瘙痒难以忍受,生长发育也受到了影响,至今才8公斤,小明妈妈苦恼至极,烦恼异常,偶然间发现湿疹与过敏相关,于是带宝宝到过敏免疫科就诊,抽血检查后,小明的化验单如图6所示。



如图6a所示,小明总IgE不高,但是牛奶和鸡蛋特异性IgE轻度升高,我们前面已经说过,1岁以内有一部分宝宝是非IgE介导的过敏,因此宝宝总IgE不高就容易解释了,那么鸡蛋和牛奶有轻度的升高,当如何解释呢?这个年龄段最常见的过敏原是牛奶和鸡蛋,但是小明的鸡蛋和牛奶的指标不是非常高,也没有到达阳性预测值,因此不能说就一定牛奶蛋白过敏,只能根据临床表现,进食牛奶和鸡蛋湿疹如果有加重,可以认为有鸡蛋和牛奶过敏,这时候再进行饮食回避。
6b和6c都是食物特异性IgG检测的化验单,同特异性IgE检测一样, 根据数值不同,也进行了相应的等级划分,如表5所示。
表5 食物特异性IgG分级级别数值(IU/ml)阴性<50轻敏(+)50-100中敏(++)100-200高敏(+++)>200
小明的牛奶81U/ml,西红柿59 U/ml,燕麦209 U/ml,这三种食物小明可以吃么?这时候就需要结合小明平时的临床表现,若进食这三种食物没有反应,湿疹没有加重,就是可以吃的,因此IgG的检测仅供参考。
但是,临床上,我们也发现很多肠道症状非常明显的食物过敏患儿,其IgG水平异常增高,往往超过200 U/ml甚至更高,这种情况下,忌食该食物对减轻过敏症状可能有一定帮助。
(图片源于网络)
供稿:上海市医学会儿科分会免疫学组
作者:金莹莹 上海交通大学医学院附属上海儿童医学中心风湿/免疫科主治医师
原标题:《【掌健识】六一儿童节:如何解读食物过敏宝宝化验单》