
随着医疗技术的进步,我们已见证了外科手术创口一步步缩小的历程。从开腹手术,到腹腔镜、胸腔镜微创手术,再到更为精准的达芬奇机器人手术,每一次技术和医疗设备的更新换代,都聚焦于让患者切口更小、出血更少、恢复更快。机器人手术已将患者创口缩小到5厘米以内,但对疼痛敏感、对美观有较高要求的患者还是会追问:能不能不开刀?
这一次,我们坚定地回答:能!海扶刀可以实现无创手术!
01
无创精准
消融肿瘤的“黑科技”
海扶刀,俗称为刀却不是真实的手术刀,是我国原创性领先治疗技术。从1997年开始,经过多年的临床研究及实践,该技术已日趋成熟并越来越广泛地用于各种实体肿瘤及一些器官良性疾病的治疗。它通过超声聚焦,将焦点定位于体内肿瘤并进行消融,是一种非侵入性消融治疗技术,即高强度聚焦超声消融治疗的简称(high intensity focused ultrasound ablation HIFU),又称超声消融治疗。
海扶刀在医学影像引导下,将体外低强度超声波聚焦于体内病灶,如同长了眼睛一般精准定位肿瘤。继而形成高能量的焦点,瞬态的高温(60℃—100℃)让肿瘤迅速凝固性坏死,而肿瘤以外组织却不受到明显损伤。通过控制焦点的三维组合运动,海扶刀以“点-束-片-块的”方式最终完成对整块靶组织的适形消融治疗。也就是说,海扶刀能“隔空打穴”,无需开刀,不会出血,通过超声波精准消灭肿瘤。


青大附院引进的海扶治疗设备——海扶刀JC型聚焦超声肿瘤治疗系统是利用高强度聚焦超声技术治疗各类实体性良恶性肿瘤的物理治疗仪,具有完全自主知识产权。该设备先后获得国家技术发明二等奖,国家“九五”重点科技攻关计划重大科技成果奖、重庆市科技进步一等奖、国家信息产业重大技术发明奖等,截止目前,JC型海扶超声聚焦刀获12项国际专利、6项国内专利。是目前国内治疗良、恶性肿瘤最高端的海扶治疗设备。
青大附院海扶刀治疗开展以来,腹部超声科、肿瘤内科、胃肠外科、急诊普外科、妇科、麻醉科专家及护理团队共同配合,逐步打造了一支精益求精的高水平MDT团队。截止目前,海扶刀技术负责人于宁主任领衔团队已治疗患者50余例,其中85%以上为恶性肿瘤,尤其以肝脏肿瘤、胰腺肿瘤、软组织肿瘤为主,均取得了较好的肿瘤消融效果,并积累了丰富的经验,跻身国内恶性肿瘤海扶治疗领域的一线团队。
02
海扶刀治疗的五大优势
一、适形性高:按照肿瘤的形态通过无数个点损伤的累积而不是单个点温度的扩散治疗,治疗区和非治疗区组织间仅有5-7个细胞层的过渡带,形成“刀锋样”边缘。
二、一次性治疗:焦点小,焦域平均声强高,在0.5-1s内致靶组织温度达60-100℃,组织发生不可逆凝固性坏死,无需多次治疗,减轻患者负担。
三、计划内全覆盖治疗:TPS解析肿瘤的三维结构,三维机械运动系统可致焦点自由到达肿瘤任一三维空间,通过点、线、面、体立体组合方式,对拟治疗区域完整灭活。
四、可视化治疗,操作安全:高分辨率全身数字化彩超成像系统清晰显示肿瘤的形态边界,医生可直视焦点在瘤体内的移动分布,治疗前后信息变化即刻显示。医生通过图像的数字化分析,可实时反馈调节治疗声能剂量的输入。
五、疗效确切:海扶刀疗效达到国家《高强度聚焦超声临床应用指南》行业规范,临床有效性达95%以上。

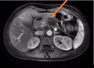
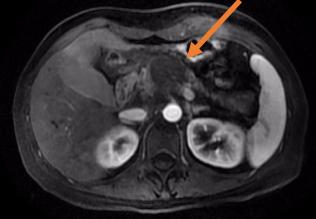
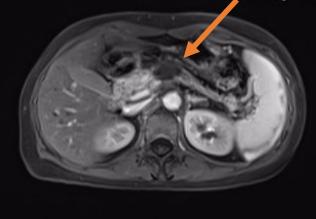
一位胰腺癌患者初诊时已是晚期,无根治性手术指征,来到青大附院就诊。传统治疗模式是以化疗为主,联合止痛、营养治疗。由于患者营养状态较差,治疗前评估其对化疗的耐受较差。在治疗肿瘤和担心副作用之间,患者和家属无数次徘徊和犹豫。海扶治疗为患者提供了一种新选择。肿瘤内科主任于壮组织会诊,制定详细方案,在麻醉科的配合下,于宁主任为患者完成全麻下胰腺病灶超声消融。手术后复查,该患者胰腺病灶“完美”消融,疼痛逐渐消失,恢复进食,体力状态较治疗前明显好转。接下来,患者在肿瘤内科接受了化疗,有足够的营养状态做支撑,没有出现严重的化疗相关副反应,肿瘤得到了长期的控制,生活质量也得到了极大改善。
胰腺癌被称为“癌中之王”,虽然发病率不高,但死亡率很高。患者初次诊断时大多已经发展为局部晚期或出现转移,失去手术机会。海扶刀治疗给胰腺癌患者带来多方面的改善。一是能快速缓解疼痛。九成伴有疼痛的患者通过一次治疗就能够有效缓解疼痛,明显改善生活质量。二是快速让肿瘤坏死,再联合化疗、放疗等其他治疗方式,大大延长患者生存时间和质量。近3年的研究结果显示,局部晚期(尚未转移)胰腺癌患者应用上述联合方式治疗后平均生存时间已超过2年。“癌中之王”尚且能被遏制,海扶刀对恶性肿瘤治疗效果可管窥一豹。



03
“绿色治疗”
为10万+妇科良性肿瘤患者
保留子宫
海扶刀治疗在妇科良性肿瘤治疗方面已积累了10万多病例,尤其是对于有生育要求或保留子宫的患者,海扶刀治疗具有显著优势。与传统手术相比,海扶刀治疗不开刀、不出血,明显降低了出血、感染、脏器粘连的风险,做完手术后,腹部、和子宫都没有创面。手术大多30分钟到2个小时即可完成,术后恢复快,患者2小时后即可下地行走,一般第2天就能出院。有生育要求的女性,术后避孕时间短,大多治疗后3-6个月就可以备孕,比微创手术后1年以上才可怀孕的要求提前了半年以上。

04
哪些患者适合海扶刀治疗
海扶刀治疗是否适合所有肿瘤患者呢?当然不是。任何技术和设备,都有自己的具体适应症。海扶治疗的前提是有安全的超声通道,具体适应症如下:
恶性肿瘤
Ø 胰腺癌,局部晚期联合化疗,晚期体能差的止痛治疗
Ø 肝原发及继发恶性肿瘤、肝腺瘤,大病灶配合TACE
Ø 门脉癌栓
Ø 腹腔转移性淋巴结及包块
Ø 胸腹壁包块:转移瘤、肉瘤
Ø 除椎体、颅脑的骨原发及转移癌,可以提高保肢率
Ø 乳腺癌早期治疗需配合放疗,晚期可以减症
良性肿瘤
Ø 侵袭性纤维瘤
Ø 子宫肌瘤
Ø 子宫腺肌症、腹壁切口的子宫内膜癌异位症
Ø 瘢痕妊娠及胎盘植入的辅助治疗
Ø 乳腺纤维瘤
外科学发展的方向,已从微创走向无创。海扶刀正是一种无创手术,可以保留器官的完整性,使治疗让患者受伤害更小。20多年来,海扶刀在设备研发和技术应用上日臻成熟,造福了国内外万千患者。青大附院海扶刀超声科、肿瘤内科跟进最新治疗技术,随时准备为患者保驾护航。
专
家
介
绍

山东省医学会超声专业委员会浅表器官组委员,发表论文20余篇,SCI 5篇。副主编出版论著1部。
近16年从事超声诊断与介入治疗工作。在超声诊断方面,熟练掌握多系统常见病、多发病及部分疑难病的诊治,尤其擅长肾脏疾病、甲状腺、乳腺疾病的诊断与鉴别诊断。承担超声介入工作近10年,完成各种介入操作万余例,熟练操作各种超声引导下穿刺活检、置管引流、囊肿硬化、粒子植入等介入手术,近2年来致力于超声引导下的微无创治疗,开展甲状腺结节、乳腺结节、肝癌等射频消融治疗,以及高强度聚焦超声(海扶刀)消融多种实体良恶性肿瘤及子宫等器官的良性疾病。
专
家
介
绍

于2018年赴重庆学习高强度聚焦超声治疗,取得上岗证书。自青大附院开展海扶治疗以来,奋战在海扶治疗一线,为每一位恶性肿瘤患者制定详细的全程治疗计划与方案,对每一位海扶治疗患者的靶区反复进行验证,积累了丰富的经验。
坐诊时间:周一、周二上午(市北院区) 周四全天(崂山院区)
原标题:《前沿技术|青大附院海扶刀走在国内前列 实现肿瘤无创治疗》