原创 科学家庭育儿
最近科大大有点烦,有点烦,被牙疼折磨到寝食难安……直到咨询完拔牙、种牙的费用,科大大才放心了很多:
反正看完牙,也吃不起饭了!

“种一口牙的花费,相当于买了一辆宝马”。
所以说,想要买宝马口腔健康,还是得从娃娃抓起!
尤其是在娃娃牙齿情况不容乐观的今天,10个宝宝中就有7个龋齿,乳牙问题的新闻也层出不穷:


怎么吃出一口好牙?
其实呢,宝爸妈们看新闻也能看出来,宝宝的牙齿问题,很大一部分原因,就是家长喂!出!来!的!

➤ step1:戒夜奶!
宝宝乳牙萌出后,最好就不要给宝宝喝夜奶了,容易引发“奶瓶龋”——尤其是配方奶。母乳不单独构成婴幼儿龋齿的成因。
如果实在要喝夜奶,喝完后一定给宝宝喝两三口温开水哦!
➤ step 2 :根据乳牙发育情况添加辅食
2-4颗牙期:米糊、蛋黄泥、马铃薯泥
有意锻炼宝宝的咀嚼能力,从液状饮食过度到糊状辅食,让宝宝意识到食物性状的变化。
6—8颗牙期:蒸蛋、煮烂的小段蔬菜
宝宝开始慢慢适应固体食物,肠胃消化机能日渐成熟。
对没有长出磨牙的婴幼儿,还只能接受小颗粒状食物,类似成人牙齿咀嚼过的性状。
8—12颗牙期:米粥、软饭、面包、蔬菜、肉片等
宝宝咀嚼功力大大增强,妈妈可以增加软硬适中的固体食物。
12—20颗牙期:米粉、面条、大豆等
宝宝乳牙长齐后,家长可以给宝宝适当吃一些硬物,比如坚果、玉米、黄瓜、苹果等。
➤ step 3 :咀嚼木糖醇预防龋齿
据芬兰图尔库大学牙科医学研究所发布的报告:母亲是新生婴儿感染龋齿细菌的主要来源。
而妈妈坚持嚼木糖醇口香糖的宝宝,所患龋齿的概率,比其他孩子减少70%以上。
原理很简单:咀嚼口香糖时,口腔会分泌大量唾液,能洗刷掉牙齿表面的有害酸性物质,并为牙齿提供所需的钙和磷。
对于爱甜食的小宝宝来说,既能带来甜味又能预防龋齿的木糖醇,就成了最好的代糖!
注意:3岁以下宝宝不建议食用口香糖。在给宝宝吃口香糖之前,确保宝宝可以做到咀嚼并及时吐出哦!
另外,建议饭后咀嚼口香糖为宜,还有:不要过量!
如何护理宝宝牙齿?
想要宝宝拥有一口洁白健康的好牙,护理牙齿这件事,不仅重点多多,而且可能远比你想象中得早哦!

① 2个月开始,每天清洁牙龈一次
用沾湿的柔软纱布缠绕手指或者用专业的手指套湿巾,轻轻地擦拭宝宝牙龈,可以驱逐牙龈上的细菌。
② 乳牙长出后,开始使用牙刷
宝宝长出第一颗牙齿后,就需要给宝宝刷牙了。最好是饭后和睡前进行,每日至少2次。
1~2颗牙:指套牙刷;2~3颗牙:硅胶固齿牙刷;8~11颗牙:尖型刷毛的硅质固齿牙刷;乳牙出齐后:儿童专用牙刷。
注意:宝宝 7 岁前都需要家长帮忙刷牙。7 岁后,家长要监督宝宝把牙齿刷好。
➤定期看牙医
宝宝的第 1 颗乳牙萌出后,就去看牙医。
之后,每半年要带宝宝检查一次,及时预防和治疗。
患龋风险大的孩子:建议每3个月口腔检查一次,听从医生给出的保护牙齿方案!
➤定期涂氟
宝宝从3岁起,每半年到牙科做全口牙齿涂氟,直到14岁,可以降低50%~75%的龋齿发生率。

窝沟封闭防龋有效率在90%以上,是世界卫生组织向全世界儿童推荐的一种保护新生恒牙的方法。
窝沟封闭的最佳时机
3~4岁,封闭8颗乳磨牙;
6~7岁,封闭六龄齿(第一恒磨牙);
11岁左右,封闭第一二前磨牙;
12岁,封闭第二恒磨牙。
常见问题大解答!
除了“牙界大魔头”龋齿,宝宝双排牙、牙缝宽、牙不齐等,也是很多宝爸妈关心的问题。今天,性感科大大在线答疑,一次说清!
➤ 双排牙
大部分宝宝会在6-7岁萌出恒牙,但有些宝宝相应位置的乳牙却迟迟未脱落,造成了“双排牙”。

如果由于乳牙站位使恒牙萌出错位,就要拔掉乳牙,错位恒牙进行正畸治疗。
➤ 乳牙不齐
一般来说无须做特殊处理。婴儿刚萌出头几颗牙时会不齐,随牙齿萌出增多,排列会趋于整齐。
但如果出现以下情况,应及时就医矫正。

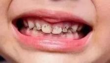
宝宝牙上出现黄、黑等色斑,可能是常饮用矿泉水、果汁或咀嚼维生素糖后未漱口所致,等待慢慢脱落即可。
如果牙齿表面粗糙,有侵蚀痕迹,就可能是龋齿的早期表现,需尽快就医。

➤无需特殊处理的情况
马牙:很多婴儿牙龈或口腔其他部位会出现的一两个绿豆大小的白色附着物。一段时间会自行消失。
牙缝宽:刚出牙宝宝经常出现牙缝宽现象,随牙齿数量增多会越来越窄。
原标题:《2岁半娃乳牙全烂光!记住4点!宝宝就能吃出一口好牙!》