关注前沿科技 量子位
乾明 编辑整理
量子位 报道 | 公众号 QbitAI
AI医疗产品,迎来进一步落地时刻。
今天,腾讯 AI Lab 联合舜宇光学科技、第三方医学检验机构金域医学宣布,三方研发的智能显微镜已获得 NMPA 注册证,成为国内首个获准进入临床应用的智能显微镜产品。
同时,它也是国内为数不多获得批准进入临床应用的医疗AI产品。
腾讯AI Lab 介绍,该智能显微镜产品研发始于 2018 年,集成了目前病理分析与诊断方面的最新技术,并针对病理医生工作流程和习惯进行多次产品迭代。
目前,这款智能显微镜使用的是离线运算版本。腾讯AI Lab表示,在测试中证明,它能有效提升病理医生的工作效率、病理分析的精确度和一致性,能让算法模型在保证准确度的前提下能满足300毫秒内完成免疫组织化学全视野实时分析的要求。

此外,腾讯 AI Lab 透露,他们研发了一套基于深度学习方法的升级版算法,具有更高精准度和升级潜力,期待能尽早通过认证后推向市场,辅助医生诊断。
腾讯并不是唯一研发智能显微镜的机构,2019年8月,谷歌提出一种智能显微镜,能从海量细胞中自动寻找癌细胞病灶,完成实时检测,研究成果还登上了“Nature Medicine”。
行业痛点:病理诊断作用关键,但相关医疗人才缺口大
要理解智能显微镜在癌症等病症筛查和病理分析过程中的价值,首先要理解病理分析过程的复杂性,以及中国医疗资源方面所存在的现实问题。
大致来说,癌症检诊流程主要包含以下几个步骤,腾讯智能显微镜,能在病理分析和诊断两个关键环节为医生提供帮助。

病理诊断分为组织病理和分子病理两个层面,两者的诊断和检测方法不相同。只有两者互相补充、支持和印证,才能做出精准诊断。而不管是组织病理层面还是分子层面,传统的病理诊断过程都主要依靠人类医生的经验,也因此存在一些固有的短板:
首先是组织层面,有的癌症亚分类多达数十种,且不同亚类之间细胞和组织形态可能很相似,诊断难度大,主观性强,而误诊后果严重。
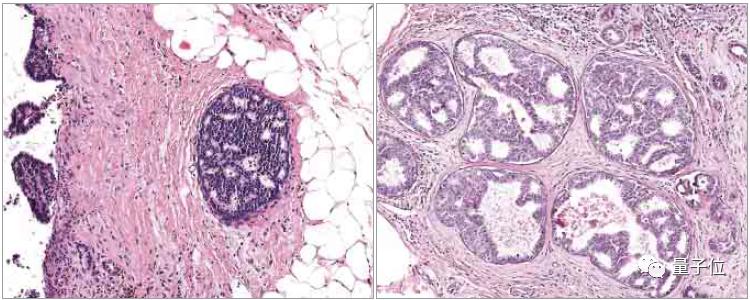
例如:2015 年一篇《美国医学会杂志》(JAMA)的报道对 75 名病理医生在 2000 个乳腺癌病例上的诊断结果进行了统计,发现导管非典型增生和原位癌很容易误判,两者的管理和治疗方案完全不同,误诊误判会对患者的健康和治疗造成严重后果。
比如下图中,图左是导管非典型增生,图右是原位癌,如果误判,后果严重。

IHC的判读在检测和病理医生诊断过程中,存在主观性判读的稳定性和一致性差、图像分析工具脱离正常工作流程、无法精准定量分析、指导药物治疗抗体的判读标准不统一等问题。
免疫组化中的很多指标,需要进行精准定量分析,其结果与肿瘤的靶向治疗、免疫治疗都有直接关系,会直接影响到恶性肿瘤的用药和患者预后。
但目前方法需病理医生在显微镜下判断,耗费了大量工作精力,且结果难以准确一致。
除了以上技术的问题,依靠病理医生诊断还面临着一个重要的现实问题:病理医生严重短缺。据统计,中国目前仅有 1.5 万名病理医生,缺口近 10 万,供需极不平衡,而新病理医生的培养又面临着时间周期长,年轻一代学习意愿不强等问题。
智能显微镜的临床应用,有助于解决这个问题。
智能显微镜优势:节约医生的时间精力,提升读片精准度与一致性
近年来随着机器学习与大数据技术的发展,以计算机视觉为首的 AI 技术已展现出了在病理诊断应用上的巨大潜力。
若使用 AI 辅助 IHC 结果判读,可以避免 IHC 结果判读的人为差异,提高判读结果的可靠性,提升病理诊断质量,这对于病理医生稀缺的基层医院尤为有帮助。
而且,智能判读将节省稀缺病理医生资源,使其投入更需要的服务之中,并为病理免疫组化染色的质量评估做精确定量的质量控制。
此外,也能为医学科研和药企提供免疫组化精准定量检测服务,为新药研发的相关免疫组化研究提供客观性可靠的证据。为肿瘤患者提供分子靶向治疗及免疫治疗等相关精准定量的免疫组化检测服务等。
腾讯 AI Lab介绍,他们从2018年起, 相继联合舜宇光学科技和金域医学,共同研发智能显微镜这一解决方案,并进行了多次产品迭代。


在采集训练数据时,选择让机器使用主动学习和难例挖掘的方案,不打扰医生的工作流程,也减轻医生手动标注数据的负担。
采用先进的模型设计方案,让算法模型在保证准确度的前提下能满足300毫秒内完成IHC全视野实时分析的要求。
借助迁移学习并使用生成对抗网络(GAN)归一化镜下图像,使得算法能对不同医院和不同制片方式实现良好兼容,提升了算法的稳健性和通用性。
舜宇光学科技提供了定制化的硬件方案。
比如,针对光学成像环境不一致情况,配备了聚光镜和光阑;
针对医生使用时不断切换物镜倍率的习惯,专门开发了倍率记忆装置,能在医生选择倍镜时调整至对应亮度,并直接传送倍率信息给算法进行分析;
此外还针对医生使用场景对目镜装置高度和光源设计进行了优化。
金域医学贡献了病理方面的专业知识与专家资源,确保显微镜能支持多种病症场景的判读,并辅助算法训练取得良好效果,还能使产品紧密贴合医生的工作流程与习惯。

此外,该系统也具有很高的性价比;虽价格略高于普通显微镜,但却能按需增加新病种的算法软件而无需购买新的显微镜。
可以说,对病理医生短缺的地区和医院,这套系统的实用价值比较显著。
金域病理专家罗丕福主任说:“该算法技术的应用,能够让病理诊断水平和能力更加匮乏的基层医院受益,更准确的诊断结果最终使肿瘤患者受益。”
精准医疗是未来医疗发展大趋势,而智能显微镜则是其发展的一个缩影。
腾讯 AI Lab说,未来将联合舜宇光学科技和金域医学根据实际应用的需求迭代产品,并计划与多家机构合作,推进智能显微镜在乳腺癌、肺癌、结直肠癌、胃癌等中国高发疾病的病理学中的研究与应用。
作者系网易新闻·网易号“各有态度”签约作者
— 完 —
<英伟达NLP公开课>今晚8点直播,英伟达的GPU计算专家将分享 FasterTransformer 2.0 的原理与应用,分享如何针对 decoder 和 decoding 进行优化。
戳二维码,备注“英伟达”即可报名、加交流群,主讲老师也会进群与大家交流互动哦~
直播报名 | Decoder与Decoding的优化与加速
天文航天亲子社群招募中,一起来玩吧~
2020年是个天文大年,4月8日有全年最大的超级月亮,6月有横跨中国的日环食,8月有英仙座流星雨,10月还有两年一次的火星冲日,12月有双子座流星雨。
我们邀请美国国家地理极致中国探享家刘允和天文爱好者们,组建了一个天文航天亲子社群,群里除了交流天文航天知识,还会组织一系列讲座、线下观星、航天探访活动。
如果你家有小朋友,也热爱天文航天,一起来玩啊。
量子位 QbitAI · 头条号签约作者
վ'ᴗ' ի 追踪AI技术和产品新动态
喜欢就点「在看」吧 !
原标题:《腾讯联合推出中国首款智能显微镜:300毫秒内完成免疫组化实时分析,已获药监局批准进入临床应用》