原创 中心医院胸部中心 丽水市抗癌协会
引言:抗击癌症的“冰火奇兵”
67岁的张爷爷是抗癌战场上的“老战士”,曾用免疫治疗控制住了肾癌和黑色素瘤的肺转移。然而近期复查时,医生发现他右肺的结节悄悄“长大”了!这一次,他选择了一种神奇的“冷冻疗法”——肿瘤消融术,轻松击退肿瘤,全程无痛无副作用!
什么是肺癌的冷冻消融治疗?
简单来说,消融术就像一场“精准冰冻战”!医生用一根细针穿刺到肿瘤附近,释放极低温的“小冰球”,瞬间冻住癌细胞,让肿瘤“冻僵坏死”,最后被身体慢慢吸收清除。



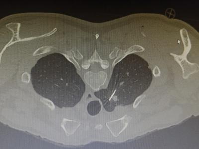
图解治疗过程:4步轻松搞定
1.精准定位:医生通过CT影像锁定肿瘤位置,像导航一样精准规划“进攻路线”。



2.细针穿刺:用一根比笔芯还细的针,避开重要血管和器官,直达肿瘤“老巢”。



消融治疗的优势:无创、高效、恢复快!
✅ 不开刀、不出血:仅留一个小针眼,第二天就能下床活动。
✅ 精准打击:只冻死肿瘤,不伤健康组织,保护肺功能。
✅ 快速恢复:适合高龄或身体虚弱的患者,张爷爷治疗后当天就能吃饭散步!
医生提醒:定期随访是关键!
张爷爷正是因为坚持每3个月复查,才及时发现肿瘤变化。癌症治疗需“长期作战”,定期检查+科学方案,才能牢牢掌握主动权!
结语:科技护航,抗癌不孤单!
从免疫治疗到消融术,医学的进步让抗癌手段越来越“聪明”。像张爷爷一样,相信医生、积极应对,癌症也能成为可控的“慢性病”!
转发提醒家人:早发现、早治疗,癌症不可怕!
医学小课堂 冷冻消融治疗手术科普
适应症
早期肺癌:多发磨玻璃结节或因合并症不能手术、化疗/ TKI/免疫治疗后,出现寡转移或寡进展、惰性生长的肿瘤,多学科治疗后尚有残存病灶。
晚期肺癌:肺内或其他部位寡转移、肺转移性肿瘤。
冷冻消融对比传统手术的优势。
手术时间
传统开放手术:约3 - 5小时(需全身麻醉)
冷冻消融术:约1 - 2小时(局麻或镇静即可)
创口大小
传统开放手术:大切口(需开胸或胸腔镜大切口)
冷冻消融术:微小切口(约1 - 3mm,经皮穿刺)
术后恢复
传统开放手术:住院5 - 7天或更久,需数周恢复日常活动,术后疼痛明显(需镇痛药物干预)。
冷冻消融术:1 - 3天可出院,当天恢复轻度活动,恢复迅速,降低并发症风险,术中无痛/轻微不适,术后疼痛轻微。
患者体验
传统开放手术:术中疼痛明显,术后疼痛明显(需镇痛药物)。
冷冻消融术:舒适度高,减少术后疼痛困扰。
经济效益
传统开放手术:住院费用高,成本增加(药费、护理)。
冷冻消融术:住院时间短/门诊可完成,总费用较低。
适用人群
传统开放手术:高龄、心肺功能差、多发病或拒绝开放手术者。
冷冻消融术:适用人群更广。
肿瘤控制
传统开放手术:肿瘤较大、复杂或需完整切除病例。
冷冻消融术:精准消融(影像引导),保留健康组织。
康复位置
传统开放手术:切除范围大,可能影响肺功能。
冷冻消融术:保护肺功能,适合多发病灶/复发病例。
工作原理
冷冻消融术:是一种用冰冻结并破坏目标组织的微创手术。温度的快速下降,会促使冰晶形成一个围绕目标组织的冰球;针内压缩气体的膨胀导致快速冻结或快速解冻;细胞破坏和死亡在治疗后会持续进行,最终留下健康的非癌组织;冷融循环被重复,以确保目标内所有细胞都被破坏。
冷冻消融释放抗原激活免疫,和免疫检查点联合治疗的优势
激活免疫:冷冻消融在破坏肿瘤组织的过程中,会释放肿瘤相关抗原,这些抗原可以激活机体自身的免疫系统,使免疫系统能识别并攻击肿瘤细胞,增强对肿瘤的免疫反应。
联合免疫检查点治疗优势
增强疗效:与免疫检查点抑制剂联合使用时,冷冻消融激活的免疫反应可以和免疫检查点抑制剂的作用协同,使得免疫系统对肿瘤细胞的杀伤作用更强,提高整体治疗效果。
扩大受益人群:对于一些对单独免疫检查点抑制剂治疗不敏感的患者,联合冷冻消融治疗后可能会产生响应,从而扩大了免疫治疗的受益人群范围。
长期控制肿瘤:通过激活免疫系统,有可能形成免疫记忆,对肿瘤的复发和转移进行长期的监控和抑制,提高患者的长期生存率和生活质量。
科室介绍
丽水市中心医院肿瘤中心(胸部中心)是国内首家融合呼吸、肿瘤、放疗和介入科组成的综合诊治团队,为胸部肿瘤患者提供最专业和一体化的综合诊治策略。中心设2个病区,开设床位92张。
能够开展国内领先的各项微创检查治疗手段。在国内率先开展了精准肺癌介入栓塞治疗。对各类胸部肿瘤尤其是疑难危重病例、重症肺癌的诊治有着非常丰富的经验。
国家首批肿瘤微创介入中心。已纳入国家卫生健康委能力建设和继续教育中心公布的全国首批肿瘤微创介入(肺癌方向)建设中心名单,也是全国冷冻消融培训基地。
学科拥有完备的多学科人才梯队。拥有浙江省卫生高层次人才、浙江省151人才第二层次、丽水市绿谷特级名医等人才团队。目前硕导3人,主任医师5名、博士3名。科室骨干曾赴美国、日本、加拿大、德国等国家知名医院进修学习,拥有国际先进的诊疗经验。
学科是国家放射与治疗临床医学研究中心核心单位。依托浙江省影像诊断与介入微创重点实验室,建有丽水市胸腹部肿瘤综合诊治重点实验室,是浙江大学、温州医科大学等硕士研究生培养点。
特色技术:
1.肺癌介入微创综合诊疗。支气管动脉化疗栓塞术为主(消融、粒子,放疗,靶免)。牵头全国多中心中晚期肺癌支气管动脉化疗栓塞术后线治疗中的临床价值,并针对各种并发症开展了综合处理,显著延长患者生存时间,属于国内特色项目,处于国内先进行列,并形成了标准操作流程,并在全国推广。
2.肺结节消融治疗。常规开展了肺结节各种消融技术,如微波消融,冷冻消融,射频消融和激光消融技术,并参与全国多中心肺结节消融临床对照研究,同时也是全国冷冻消融基地,并具特色的开展了电磁导航支气管镜下穿刺和消融技术,属于国内特色项目。
3.肺癌气管镜介入综合诊疗。经支气管镜腔内肿瘤综合治疗(金属和硅酮支架植入、热消融、激光、冷冻、光动力)。2010年就开展经支气管镜下介入诊疗,目前开展了可经支气管镜纵隔淋巴结穿刺、气管镜下肿瘤切除、冷热消融、可接触激光消融、金属、硅酮支架植入、光动力治疗、气管食管瘘治疗等。
继续滑动看下一个轻触阅读原文

原标题:《肿瘤卷土重来?67岁爷爷用“冰球”轻松冻灭癌细胞!》