原创 简雯 医学界神经病学频道
*仅供医学专业人士阅读参考
多看点片子,多一点知识。
在临床上,有时会看到表现为一侧脑萎缩的片子,现汇总五种疾病以帮助诊断。
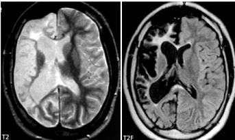
Rasmussen脑炎
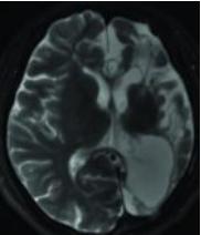
Rasmussen脑炎是一种不明原因的慢性、进行性脑炎,一般多累及一侧大脑半球,或虽表现为两侧大脑受累但以一侧半球萎缩显著。
多发生于儿童,成人发病少见。
临床表现主要为局灶性难治性癫痫、部分性癫痫持续状态、进行性神经功能缺损(偏瘫、偏盲、智力下降等)。
颅脑MRI表现:一侧大脑半球萎缩性改变(脑室扩大、外侧裂和脑沟增宽、脑回变小),伴有相应部位的灰质或白质萎缩和T2WI、FLAIR高信号,深部灰质核团(尾状核和壳核)也可受累,无颅骨代偿性改变。少数早期患者可表现为暂时性局部皮质肿胀及T2WI、FLAIR高信号。

刀砍样线状硬皮病
刀砍样线状硬皮病是局限性硬皮病中较为罕见的一类亚型,除皮肤改变外还可累及皮下组织、肌肉、骨骼和神经系统。
多于儿童期起病,女性为主,进展缓慢。
特征性表现为一侧额面部的条状瘢痕样皮损,多局限于眉弓以上且靠近面部中线,常伴有色素沉着或脱失,部分患者可有脱发。神经系统受累症状最常见为癫痫发作,也可有头痛、视觉改变及精神症状等。
颅脑MRI表现:皮损侧颅内钙化、皮质及皮质下白质高信号病灶、萎缩及灰白质间界限不清。

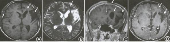
Parry-Romberg综合征
(进行性面偏侧萎缩症)
Parry-Romberg综合征是一种少见的病因不明的疾病,临床上以单侧面部皮肤及皮下组织进行性萎缩为特征,部分患者可出现肌肉和骨骼萎缩,甚至累及大脑半球。
多于10岁前发病,女性为主,起病隐匿。
神经系统受累的表现有癫痫发作、偏头痛、偏瘫、肢体萎缩、三叉神经痛等,其中癫痫发作最为常见。
颅脑MRI表现:面肌萎缩侧脑实质内钙化、大脑半球萎缩、深部及皮质下白质异常信号、软脑膜强化、颅内血管畸形、脑室扩大等。


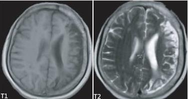
Dyke-Davidoff-Masson综合征
Dyke-Davidoff-Masson综合征是一种由于在胎儿期或生后早期脑损伤所致的少见病。
可发生于各年龄阶段如儿童、青少年及成人,男性发病率较高。
临床特征为癫痫、面部不对称、对侧偏瘫以及智力发育延迟,感觉障碍、学习及语言障碍、精神异常等表现也可出现。
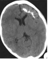
影像表现为一侧大脑萎缩,同侧侧脑室扩张、颅骨增厚、鼻窦及乳突窦增大、岩骨嵴和蝶骨大翼抬升。


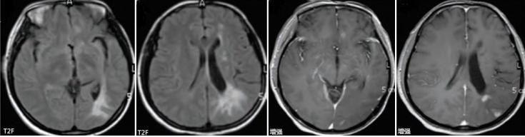
Sturge-Weber综合征
Sturge-Weber综合征是一种以皮肤、脑、眼部损害为临床特征的静脉微血管系统的先天性病变。
临床表现为面部“葡萄酒”色血管瘤、青光眼、癫痫发作、偏瘫及智力下降等。
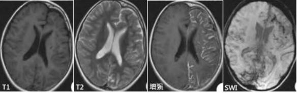
影像表现为皮质不同程度的钙化、脑萎缩、脑回样脑膜强化及深静脉增多、扩张。



参考文献:
[1]赵殿江,朱明旺,杜铁桥, et al.Rasmussen脑炎的MRI诊断[J].中华放射学杂志,2012,46(4):308-311.
[2]卫华,王玉平.Rasmussen's脑炎的研究进展[J].脑与神经疾病杂志,2010,18(1):75-77.
[3]Chiapparini L,Granata T,Farina L,et al.Diagnostic imaging in 13 cases of Rasmussen's encephalitis: can early MRI suggest the diagnosis?[J].Neuroradiology,2003,45(3):171-183.
[4]胡庆哲,李蕾,薛维爽, et al.线状硬皮病合并神经系统症状一例[J].中华神经科杂志, 2015, 048(004):330-331.
[5]王晓,余年,刘文, et al.以"头痛"为主要临床表现的Parry-Romberg综合征1例报道[J].卒中与神经疾病,2017,24(3):255-256.
[6]El-Kehdy J,Abbas O, Rubeiz N.A review of Parry-Romberg syndrome[J].Journal of the American Academy of Dermatology, 2012, 67(4):769-784.
[7]段晨晨,朱明勤,吕晓红, et al.合并癫痫及脑内特殊影像学改变的Parry-Romberg综合征1例报告[J].中风与神经疾病杂志, 2016, 033(012):1140-1141.
[8]熊伟,蒋秋燕,欧波, et al.戴克-大卫杜夫-梅森综合征CT、MRI诊断及鉴别诊断(附3例报告并文献复习)[J].实用放射学杂志, 27(1):21-25.
[9]梁帅,窦万臣. Dyke-Davidoff-Masson综合征1例[J]. 基础医学与临床, 2017(1):98-102.
[10]吴洁,花放,王晓华, et al.Sturge-Weber综合征的临床及影像学特点分析(附八例报道)[J].中华神经医学杂志, 2016, 15(10):1026-1031.
为了能更好地为大家提供有趣、有用、有态度的内容,“医学界神经病学频道”欢迎大家动动手指完成以下的调研,只要十秒钟哦!
本文首发丨医学界神经病学频道
本文作者丨简雯
本文审核丨李土明 副主任医师
责任编辑丨陆离先生 向宇
版权声明
本文原创,转载请联系授权
-End-