原创 北京协和医院 协和医生说
近日,北京协和医院耳鼻喉科吕威团队与中国医学科学院基础医学研究所免疫学系何维、张建民团队合作的慢性鼻窦炎炎症异质性的机制研究成果发表在Nature Immunology 杂志(IF=31.25)。研究团队发现,ALOX15+巨噬细胞是影响和调节嗜酸性慢性鼻窦炎伴鼻息肉(eCRSwNP)发生发展的关键,ALOX15有望成为治疗eCRSwNP的新药物靶点。

依靠单细胞转录组测序技术,研究团队在全球首次建立了正常人、慢性鼻窦炎不伴鼻息肉、嗜酸性慢性鼻窦炎伴鼻息肉及非嗜酸性慢性鼻窦炎伴鼻息肉人群的鼻黏膜免疫细胞、上皮细胞、间质细胞图谱。

研究团队在分子水平上发现了影响嗜酸性鼻息肉病程进展和亚型分化的关键因素:基底细胞过度增生、异常分化及保护性细胞分子的缺失导致鼻粘膜屏障功能受损;细胞外基质重塑相关的成纤维细胞、巨噬细胞、血管内皮细胞、平滑肌细胞等细胞亚群功能紊乱;TH2细胞、ILC2细胞、IL5RA+浆细胞、细胞毒性CX3CR1+CD8+TEFF细胞和NK细胞增加并伴随CD8+TRM细胞缺失;NK-cDC1免疫监视轴功能丧失和ALOX15+ cDC2-TH2交互作用轴功能的过度激活;ALOX15+ 巨噬细胞富集,通过分泌趋化因子招募嗜酸性粒细胞、单核细胞和TH2细胞,促进2型免疫反应,驱动气道炎性病程进展。

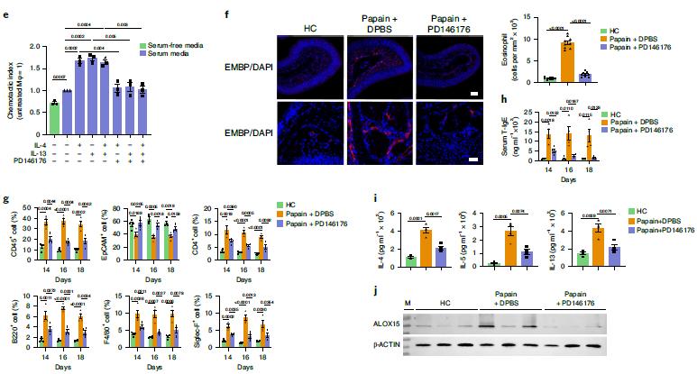
研究团队进一步深挖疾病的致病机理和治疗靶点。结果显示,ALOX15+巨噬细胞是影响和调节eCRSwNP疾病发生发展的关键节点。在嗜酸性鼻窦炎小鼠模型实验中发现,应用ALOX15抑制剂可有效降低细胞因子IL-4、IL-5、IL-13以及血液中IgE水平,缓解2型炎症,对嗜酸性鼻窦炎产生很好的疗效(见下图),提示ALOX15有望成为治疗eCRSwNP的新药物靶点。

北京协和医院鼻科团队长期致力于慢性鼻窦炎以及过敏性鼻炎等上呼吸道炎性疾病的临床诊疗,开展“临床-基础-转化”模式的一系列研究,涵盖了慢性鼻窦炎的发病机制、临床流行病学、诊断、治疗策略开发等方面,形成了以嗜酸性慢性鼻窦炎伴鼻息肉为特色的上呼吸道炎症疾病的精准诊疗体系,更好地服务于患者。

王威清,耳鼻喉科主治医师,医学博士。主要科研方向为慢性鼻窦炎、鼻息肉以及鼻颅底良恶性肿瘤的临床-基础-转化研究。

吕威,耳鼻喉科常务副主任,主任医师,博士研究生导师。中华医学会耳鼻咽喉头颈外科分会第十一届副秘书长,第十二届全国委员,中国医促会耳鼻咽喉头颈外科分会第二届常委、副秘书长。主要科研方向为慢性鼻窦炎和鼻颅底肿瘤的临床-基础-转化研究。
原标题:《协和医院与基础所合作发现慢性鼻窦炎的发病机制与治疗新靶点》