原创 赵喜同学 XI区 收录于合集#科普 66 个 #光子计数 6 个 #原理 20 个 #展望未来 33 个
长按识别下方二维码关注我
大家好,欢迎大家访问XI区!
光子计数探测器CT(PCD-CT)是美国食品和药物管理局批准的一种新的CT技术,2021年9月,全球首台可以应用于全身的光子计数探测器CT(NAEOTOM Alpha)被批准用于临床(参见:),它克服了传统能量积分探测器(EID)的许多限制。PCD-CT利用半导体材料从入射X射线光子产生电子信号。来自梅奥诊所的学者近日发表综述文章,回顾了这项技术在各种放射亚专业的临床益处。
PCD-CT的关键技术特点
图1显示了能量积分和光子计数探测器的示意图。在半导体上施加大电压,当光子撞击探测器时会产生电子-空穴对,PCD 直接将沉积的 X 射线能量转换为电信号。所有其他CT扫描仪都使用基于闪烁体的EID,当X射线击中它们时会发出可见光。这种光需要在常规X射线探测器内使用反射隔栅,以将光引导至光学光子传感器。因为PCD不需要这样的隔栅,所以使用PCD允许在不损害几何检测效率的情况下显著减小探测器像素尺寸。这使得PCD能够进行超高分辨率成像,并已用于提高体内CT成像的空间分辨率,无论身体区域的大小。较小像素尺寸的次要临床益处是能够在较低辐射剂量下获得常规成像。

图1 传统EID和PCD的示意性比较
A 入射X射线光子击中EID的闪烁体时产生可见光,然后由光电二极管记录光,探测器元件之间有反射隔栅,以减少串扰。B 而PCD-CT使用半导体直接产生正电荷和负电荷,负电荷进入像素化阳极以记录每个光子及其能量。
常规EID发射光并产生与所有检测到的X射线的能量之和成比例的信号。PCD均匀地加权不同能量的检测到的X射线,为可能有助于CT图像重要部分的低能量光子提供更多信号(因为低能量X射线更有可能被碘和其他生物组织衰减)。PCD的这种能量辨别能力产生于每个X射线沉积的电信号与其能量成比例,并且可以以两种关键方式使用。首先,它允许应用能量特定阈值来去除作为电子噪声的低能光子。消除电子噪声有助于为成人和儿童制定超低剂量CT方案。其次,PCD的能量辨别能力允许使用单个X射线管评估光谱信息,因为一个或多个能量阈值可用于基于其沉积能量将检测到的X射线光子分离到不同的能量箱中。与双能CT类似,可以显示和分析多能量CT信息,但使用不同能量箱中的光子,而不是来自不同X射线管的两次曝光(每个X射线管都有自己的多色X射线管电压或kV)。对于双源PCD-CT系统,这意味着两个X射线管可以在相同的kV下工作,并且都产生双能量数据集,这有利于心脏和大螺距临床应用。PCD-CT相对于传统能量积分探测器的技术优势及其潜在的临床益处总结在表1中。
表1 光子计数探测器的独特特性及其在临床实践中对CT图像的影响
光子计数探测器性能
对临床图像的影响
A 直接将X射线符合转换成与光子能量成比例的信号
-碘信号增加,因为低能量光子没有降低权重
-使用单个X射线管电压获得多能量信息的能力:常规可用的虚拟单能图像、虚拟平扫、虚拟去钙和碘图
B 更小的探测器像素尺寸
-提高空间分辨率
C 每个探测器元件都不需要反射隔栅,这导致了传统能量集成探测器的几何剂量效率低下
-辐射剂量降低提高了空间分辨率
B和C
-超高空间分辨率不需要增加辐射剂量的衰减滤波器
-超高空间分辨率不再有辐射剂量损失,可以在更大的身体区域执行
D 消除电子噪声
-仅存在量子噪声
E 使用锡滤光片、能量阈值和管电压选择对X射线束进行整形
-减少金属和晕状伪影
-减少辐射剂量
光子计数探测器的优点及其对临床应用的影响
更高的空间分辨率
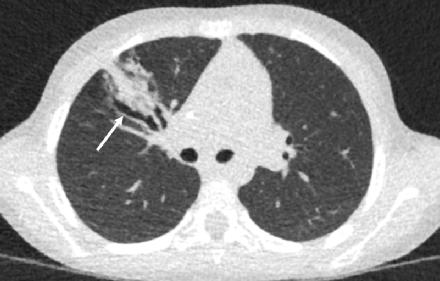
肺和肌肉骨骼成像中的许多诊断任务依赖于CT扫描大身体区域同时显示小结构的能力。因此,PCD-CT的空间分辨率的提高可能有助于肺和肌肉骨骼成像中的许多诊断任务。例如,PCD-CT由于其较高的空间分辨率,显示了与间质性肺疾病相关的详细和细微的成像结果。Inoue等人最近证明,在已知或疑似常见间质性肺炎的患者中,PCD-CT增加了阅片医生对主要成像结果的信心,如毛玻璃不透明度、网状结构和马赛克图案(图2)。PCD-CT还改善了远端支气管和支气管壁的可视化。对于肺和肌肉骨骼应用,通过使用更高分辨率的重建卷积核,通常通过使用更薄的切片来实现较小结构的改进可视化。

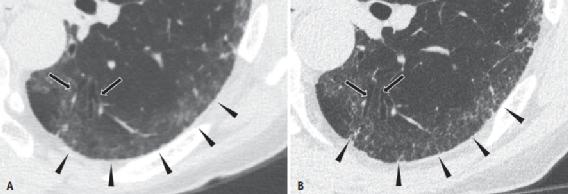
图2 74岁男性,临床诊断为特发性非特异性间质性肺炎,采用临床常规方案在常规EID-CT(A)和PCD-CT(B)上进行扫描。
A、B 与常规CT相比,PCD-CT显示右胸膜下右下叶的精细网状结构(箭头,B),常规CT显示该区域的毛玻璃样阴影(箭头,A)。光子计数探测器比常规CT更清晰地显示牵引性支气管扩张(箭)。
PCD相对于EID固有的更高空间分辨率也有利于低剂量骨骼肌肉CT成像。例如,在多发性骨髓瘤的检查过程中,经常进行低剂量CT扫描,以识别溶解性骨病变和骨髓瘤后遗症,如病理性骨折。在类似的扫描剂量水平下,可以使用超高分辨率模式获取PCD-CT图像。超高分辨率要求在常规CT成像中使用梳状滤波器,这会增加辐射剂量,因此常规EID无法进行低剂量、高分辨率全身CT。在全身低剂量PCD-CT中,在PCD-CT图像上可以更清楚地看到小溶骨性病变(骨髓瘤的特征)(图3)。PCD-CT较小的探测器像素尺寸和较高的几何剂量效率有助于大幅降低小关节超高分辨率成像的辐射剂量,这有利于创伤和退行性疾病。它还允许对肩部和臀部等大关节进行超高空间分辨率成像,这在大多数常规CT系统中不能实现。

图3 56岁男性,患有多发性骨髓瘤。
A、B 通过胸椎的轴位能量积分探测器CT(A)和PCD-CT(B)切片。在PCD-CT图像上可以更清楚地看到胸椎溶解性病变。椎体后部的溶解性病变(后皮质破裂)更清晰(虚线箭头)。在PCD-CT图像上,椎体中较小的溶解性病变(箭头)更为明显。
肾结石的检测、描绘和表征是高分辨率PCD-CT的另一个优势领域。用更清晰的卷积核和更薄的切片重建的PCD-CT图像具有提高的空间分辨率,从而改善了较小肾结石的显示。由于光谱分离和空间分辨率的限制,小肾结石的精确显示和定性是双能量CT的挑战之一。已经表明,与传统的基于能量积分的双能量CT技术相比,PCD能够显示和表征尺寸小于等于3mm的更多小肾结石。以这种方式,PCD-CT的空间分辨率的提高使得能够对较小物体(例如非常小的肾结石)进行光谱表征。
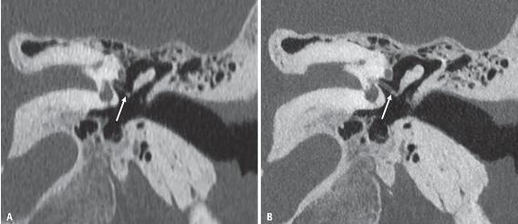
空间分辨率发挥非常重要作用的另一个感兴趣领域是小骨结构成像,特别是颞骨。Benson等人研究表明, PCD的空间分辨率提高了关键解剖结构(如砧板关节)、假体和病理的可视化(图4)。

图4 在EID-CT(A)和PCD-CT(B)图像上显示的砧板关节(箭头)。
该关节是使用5点Likert评分特别分级的几种解剖结构之一,更高的评分说明PCD-CT图像的质量更好。
改进的碘信号
与EID CT相比,PCD-CT允许在相同管电压下提高碘对比度,并具有多能量显示和材料分解的额外优势。PCD-CT有助于改善碘信号,这是由于使用能量积分探测器时,低能量光子加权不足。例如,多色120kV PCD-CT图像产生类似于较低管电压(kV)设置的图像对比度特性,对比度差异增大(图5)。这种增加的碘对比度扩展了低kV成像的益处,主要是针对较大患者腹部低对比度检测任务的剂量减少,其中常规低kV成像受到可用管电流的限制。除了虚拟平扫图像和碘定量图之外,通过重建虚拟单能图像(VMI),放射科医生为诊断任务选择最合适的千电子伏(keV)能级,可以进一步扩大这些益处。

图5 70岁女性,有肝内胆管癌切除术、胃旁路和侧对侧空肠空肠吻合术史。
A、B 两项检查均在120 kV的管电压下进行。冠状位能量积分探测器CT(A)显示空肠空肠吻合术(虚线箭),但光子计数探测器CT(B)改善了空肠空管吻合术中对比度的可视化和褶皱的锐度(箭)。
PCD-CT可实现的图像对比度优化在腹部和骨盆具有多种潜在应用,包括改善实质背景中肿瘤的可见性和轮廓,特别是所谓的“低对比度”病变,其中靶病变的CT值与解剖背景相似。例如,PCD-CT可以通过强调由于碘增强的微小差异而导致的CT值差异来增加肝脏病变(低血管和高血管肿瘤)和胰腺癌的显著性(图6)。光子计数探测器的改进的剂量效率允许在匹配的辐射剂量下使用较薄的层厚,从而降低部分容积效应(图6)。通过使用光子计数探测器单独或与VMI结合使用改进的碘对比度信号,PCD-CT图像的更高空间分辨率可以提高小病灶的可检测性,例如小的低衰减肝转移瘤(图7)或腹膜植入物(图8)。PCD的碘信号改善,可能与低能量VMI相结合,可替代地用于减少碘造影剂用量,以实现不同诊断任务的图像对比度的类似差异(图9),该方法可用于肾损伤或经历重复血管内手术的患者。

图6 67岁女性胰腺癌患者。A-D 与能量积分探测器CT(A、B)获取的轴位和冠状位2mm图像相比,PCD-CT(C、D)获取的轴位和冠状位1mm图像提供了钩状体内低密度肿瘤的更好可视化,因为PCD-CT能够突出碘对比度;同样在这些图像中,PCD-CT显示更薄层厚的能力也得到了证明,而不会显著增加图像噪声。较薄的层厚减少了小结构和病理的部分体积效应。

图7 64岁的转移性胰腺癌患者。A、B 光子计数探测器CT图像(A)显示了在随后的MRI(B)中确认的右后段(箭头)中非常小的肝转移。

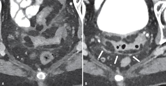
图8 73岁女性,卵巢癌腹膜播散。A、能量积分探测器CT显示乙状结肠浆膜不规则,腹膜前反射有可疑结节。B、光子计数探测器CT清楚显示小肿瘤植入物导致腹膜前反射不规则和结节状增厚(箭)。

图9 69岁女性,患有已知外周动脉疾病。A、B 从使用145ml碘造影剂的能量积分探测器CT血管造影(A)三维重建图像看起来类似于仅使用55ml相同碘造影药的PCD-CT血管造影图像(B)。该示例说明了利用来自PCD-CT的改善的碘信号来减少碘造影剂需求的能力。
多能量成像
与肌肉骨骼成像相关的多能量CT重建包括评估痛风(图10)和骨水肿的虚拟去钙图像。致密的皮质骨和小梁使骨的髓腔成为CT评估的一个挑战性部位。例如,与创伤性损伤相关的骨水肿和骨髓瘤的局灶性髓样病变通常使用常规CT图像模糊。来自多能量采集的虚拟去钙重建允许放射科医生清楚地可视化髓腔,以识别由于创伤或肿瘤引起的骨髓水肿,并且可以使用类似于双能量CT创建的PCD创建。

图10 36岁男性,患有痛风性关节炎。A-D 使用PCD-CT和随后的材料分类获得的图像显示,第一趾间关节处绿色的尿酸单钠沉积。
与双源双能CT系统不同,PCD不限制多能量应用的扫描视野,将多能量CT成像的优势扩展到更大的患者。虽然PCD将随着新软件版本的发展而发展,新软件版本旨在允许多能量数据的可视化和定量显示,但PCD-CT多能量功能将“始终开启”并处于全视野,例如,允许在一次扫描中显示足部骨折,同时显示骨髓水肿和痛风,但每个成像任务需要多次重建。最后,改进的碘信号、基于多能量的区分和材料分离的组合可有助于扩大定量任务的临床潜力,用于局部病变(例如,区分肾囊肿和实体肾肿块中的碘)或实质器官,如肝脂肪定量。需要进一步研究以确定PCD-CT在这些临床环境中的临床应用。
辐射剂量减少
一些PCD-CT应用对儿科患者特别有利。较高的空间分辨率和对比噪声比提高了较小患者解剖结构的可见性,同时提高了剂量效率,有利于进一步降低剂量。使用PCD-CT的高分辨率模式,辐射剂量可以减少20%-30%,而不牺牲图像质量。此外,与某些常规EID CT系统中的使用类似,Tin滤波器可用于塑造多色X射线管能谱,去除低能光子,使更多的光子通过患者,并促进平扫诊断任务的剂量大幅降低。PCD-CT的这些特点使其成为各种儿科方案的理想选择,但超低剂量胸部CT是需要从年轻时开始重复成像检查的患者的理想应用,例如患有慢性气道疾病(如囊性纤维化)的年轻患者。图11显示了一名6岁囊性纤维化患者的平扫超低剂量CT图像,该图像在类似于胸片的辐射剂量下进行。

图11 在PCD-CT上扫描临床诊断为囊性纤维化的6岁女性(CT剂量指数:0.05mGy吸气[显示]和0.05mGy呼气)。PCD-CT显示右肺中叶圆柱形支气管扩张(箭头)。
伪影减少
PCD-CT的另一个临床益处是减少常见图像伪影,包括但不限于条纹、线束硬化、金属和钙化晕状伪影。对于大型患者的高衰减身体部位,由于光子饥饿和电子噪声,通常会观察到条纹和阴影伪影。由于PCD消除了电子噪声,这些伪影可以显著减少。对于具有多个能量阈值/箱的PCD,不同能量箱处的图像表示不同的衰减特性。与具有所有X射线光子的低能量箱图像和标准CT图像相比,PCD-CT中的高能量箱图像显示出更少的线束硬化伪影。此外,可以通过使用外部Tin滤波器将高能量箱图像与X射线束整形相结合,或者通过使用高能量VMI来实现金属伪影的减少。
开花(Blooming )伪影是由具有不同组织的体素中衰减值的部分容积平均引起的图像伪影,使得难以分辨小于体素的对象。由于CT系统的空间分辨率有限,钙化晕状伪影是心血管检查中常见的伪影。开花伪影是心血管成像中的一个重要挑战,尤其是在具有钙或支架的小血管(例如冠状动脉、远端动脉)中,因为放射科医生试图将这些结构与造影剂填充的管腔区分开。因此,钙化斑块(以及金属支架)似乎大于其真实尺寸,导致对管腔狭窄的高估,这可能导致不适当的临床管理。PCD可以通过多种方式解决钙化的开花问题。随着空间分辨率的提高,可以通过减少体素大小和部分容积来改善钙化的晕状伪影,从而提高密集血管钙化患者狭窄评估的准确性(图12)。或者,也可以通过增加X射线能量降低体素的平均衰减来减少钙化晕状伪影,这可以在PCD-CT中利用高能VMI实现。最后,可以使用材料分解算法从图像中分离钙化,该算法可以使用多能量信息创建,潜在地提供管腔狭窄的更精确估计(图13)。

图12 74岁男性患者,患有已知的外周动脉疾病。A、B 外周动脉疾病患者的轴位重建在能量积分探测器CT上显示胫前动脉中有钙晕(箭头A)。与能量积分探测器CT重建(A)相比,同一患者在同一水平上的光子计数探测器CT重建显示出胫骨前动脉(箭头,B)中钙斑的可视化显著改善,因此可以更好地评估管腔直径。

图13 钙分离算法。A、外周动脉疾病患者的轴位能量积分探测器CT重建显示右股总动脉中有致密钙化斑块(箭头)。B、使用专用钙分离算法对同一患者进行的轴位光子计数探测器CT重建显示了钙化斑块的去除(箭头)。
同时受益于心血管成像的众多技术优势
当然,放射科医生和物理学家将结合PCD的众多技术优势来提高完成任何特定诊断任务的能力。这可以通过考虑心血管成像中的几个任务来最好地说明。例如,通过使用更高空间分辨率的卷积核和薄层重建,结合使用PCD本身或通过使用低能量VMI进一步改善碘填充管腔的可视化,将促进小血管(例如冠状动脉、外周动脉、和动脉瓣)的可视化和表征,以及使用高能VMI或设计用于去除钙化斑块的算法进一步减少钙化的开花伪影。PCD-CT和低能量VMI固有的高碘对比噪声比可用于降低碘造影剂的剂量(如肾功能不全患者)或挽救次优增强检查。
由于在探测器上实现了多能量能力,具有在相同管电压下工作的两个X射线管的双源PCD-CT系统可以实现高时间分辨率(66 ms)多能量心脏CT,这在具有能量积分探测器的传统双源CT上是不可行的(其中用户必须选择双能量或高时间分辨率)。因此,双源PCD-CT允许高时间分辨率的多能量CT图像,大幅减少运动伪影,可能检测微小钙化,并识别高风险特征,如点状钙化和纤维帽。多能量材料分解可用于从血管检查中移除骨骼,而不是传统的基于阈值的算法。碘定量图可用于评估灌注,包括心肺灌注,如心肌瘢痕的晚期碘增强CT和心肌细胞外容积定量。碘图和虚拟平扫图像有助于表征几种病变,包括血栓与伪影、高衰减钙化与出血及增强肿块。
总 结
通过将X射线光子直接转换为电信号,PCD-CT提供了优于传统EID-CT系统的几个优点,包括:提高空间分辨率、利用多能量成像数据的能力获得更好的碘信号、消除电子噪声和提高剂量效率,同时提供高空间和时间分辨率,结合双源PCD的多能量能量评估,以及多种减少钙化晕状伪影和其他伪影的方法。PCD技术本身在结合探测器设计产生的多种技术进步方面具有很大的灵活性,以促进在广泛的诊断任务中提高图像质量(以及潜在的诊断性能),将最先进CT的许多优点扩展到更大的患者,并促进儿科患者的辐射剂量降低。
为了适应不同的诊断任务,这项技术需要放射科医生和物理学家合作选择最合适的重建卷积核、切片厚度、VMI和碘图以及其他材料分类算法和显示技术。需要跨多个机构进行进一步研究,以确定PCD-CT可提高放射科医生绩效和信心的诊断任务,并开发新的CT诊断任务,以改善患者健康评估。
更多干货,关注XI区!
文献原文:Esquivel A, Ferrero A, Mileto A, Baffour F, Horst K, Rajiah PS, Inoue A, Leng S, McCollough C, Fletcher JG. Photon-Counting Detector CT: Key Points Radiologists Should Know. Korean J Radiol. 2022 Sep;23(9):854-865. doi: 10.3348/kjr.2022.0377. 仅供专业人士交流目的,不用于商业用途。
2022年9月26日
如果你觉得写得还不错,请分享、在看和打赏!
原标题:《迎接光子计数CT时代,你准备好了吗?》