原创 胡洋大夫 呼吸科大夫胡洋 收录于合集 #肺部 42个
判断肺部结节良恶性的指标很多,比如结节的密度,结节的大小,结节的分叶等等,这些指标中,有些指标纯粹是处于恶性概率的考量作为参考的,比如结节的大小,结节越大的恶性的概率越高,而有一些指标则是建立在结节生长特征的基础上的,比如肺部结节的分叶,很多人疑惑,什么叫做肺部结节的分叶呢?我们来看看一个形象的比方。
下面这些山芋可以做粗略的说明,尤其是山芋的横断面,黑箭头所指的是山芋的突起,红箭头所指的是山芋的凹陷,有凸起有凹陷就算是分叶,好比在圆圆的地球上有很多个山头一样,在结节当中有些是明显有分叶的结节,有些则比较规则,比较圆,或者有些是伪分叶,也就是整体就长得不像个球形,肯定有一些部位突起的很明显,很突出,那就不算是分叶了。

那分叶是如何形成的呢?这主要和肺癌细胞的生物特性有关,我们人体的正常细胞的生长都是有基因管着的,大家必须你我相同步调一致,服从管理,该生的时候生,该死亡的时候死亡,都是规定好的,而肿瘤细胞就不一样了,完全是草莽中混生活,有这顿没下顿,有营养的部位就拼命的生长,无法从周围组织中获取营养的部位就大片大片的死亡,而且各个分叶的细胞也会因为内部基因突变类型不同而产生不同的表型,有的生存能力强, 有的天生就没有太大的适应能力,生长速度就会有快慢,因此会形成不同的区域,每个区域形成自己的中心,围绕这个中心各自发展,所以就会长得奇形怪状,有凸起有凹陷。

肺癌细胞的各个不同也是不断演进的,
癌细胞和病毒一样,会不停地变异,甚至可能变成完全不同的类型,有时候腺癌会变成小细胞肺癌,有时候鳞癌会变成腺癌,这也是导致肺癌治疗效果差,迟早耐药的原因,
无论哪一种治疗肺癌的保守疗法,都有耐药的一天,就是因为肺癌不断变化,原有的疗法不能杀灭新的癌细胞导致的。
有几个问题必须强调一下
1、有分叶的结节一定是恶性的吗?
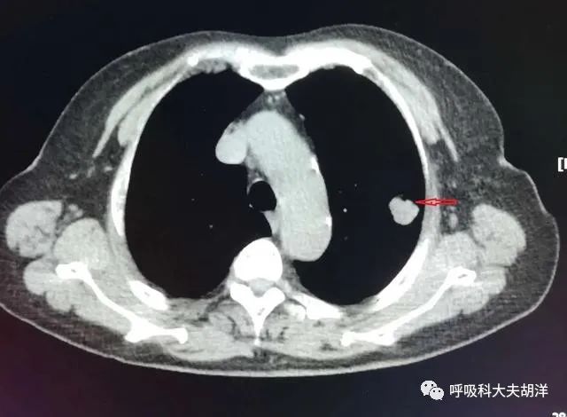
还是那句话,没有任何一种单一的特征可以直接判定结节的良恶性,像下图红箭头所指的这个结节,有明显的分叶,但最终证实是一个错构瘤,这是一种良性肿瘤,不做手术也是可以的,但由于有明显的分叶,而忽视了里面一些钙化成分,从而被当做肺癌开掉了。

2、没有分叶的肺部结节一定不是恶性吗?
这也是不对的,尤其是有些较小的结节,即使是恶性,还没来得及表现出分叶,这个时候是不能根据其没有分叶就判断为良性的,还是需要综合性的判断才比较准确。
肺癌的分叶征是一个很重要的判断特征,可以说,具有明显的分叶的结节,恶性的概率是很高的,但判断一个结节到底是不是恶性,是一个很复杂的过程。
原标题:《判断结节良恶性的重要特征——分叶征到底是什么意思,一文讲清楚》