原创 胖豆 我是科学家iScientist
一份在热带地区的常见病例,曾一度让美国的医生摸不着头脑。
似是而非的风湿性关节炎
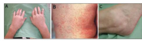
一位39岁的非洲裔美国女性在经历了三天的发热、皮肤红疹、多处关节疼痛后到急诊就医。
病人的症状虽然严重,但是重要的生命体征却并无异常。医生最初把病因锁定在感染性疾病和风湿性疾病方向,并做了相关检查。她畏光,却没有出现脑膜炎,所以排除了一些细菌感染;她多关节有疼痛,症状类似风湿关节炎,但是影像学检查表明没有相关病灶;她的红疹主要出现在四肢,所以也排除系统性红斑狼疮。诊断一度陷入了困境。
此时,一个连她自己都没注意到的细节引起了医生的注意:据病人的自述,她一周前从热带的圣卢西亚返回,她曾在那里被蚊虫叮咬。于是医生把诊断方向转到了通过蚊虫叮咬的传染病上。
根据流行病学调查,她去到的地方正在流行一种通过伊蚊叮咬传播的基孔肯亚病毒,而该病毒导致的基孔肯雅热典型症状就是肌肉和弥散性的多关节痛。经过一段时间的治疗,这位病人体内检测出基孔肯亚病毒抗体阳性,确诊了病[1]。

这位女士从来没想到自己的病痛是来自于一次热带出行中的蚊虫叮咬。事实上,热带的某些地区危机四伏。
被忽视的巨大危险
这些地区流行的一些传染病有个共同的称谓:被忽视的热带病(Neglected tropical diseases,NTD)。NTD不是由某一种病原体引起的疾病,而是一类疾病的总称。它的病原体可以是病毒、细菌、真菌、也可以是不同的寄生虫,比如基孔肯雅病毒导致那位美国女士患基孔肯雅热;麻风分枝杆菌导致麻风病;由黑化或棕色色素真菌感染引起的着色芽生菌病;而感染麦地那龙线虫杜氏利士曼原虫、丝虫等寄生虫,也会患上相应的寄生虫病。


下:淋巴丝虫病症状 | WHO.int
虽然这些病原体感染后表现症状不尽相同,但是它们都有相同的特征:主要发生在热带或者亚热带气候地区且与贫穷密切相关。
因为常年处于高温、高湿气候,这些地区孳生了大量蚊虫,为疾病的传播创造了条件。
同时,贫困导致卫生条件和卫生意识差,则更加重了患病风险——受NTD影响最大的往往是这些地区最穷困的人群。他们常常就生活在家畜圈附近,伴着蚊虫的骚扰,容易感染虫媒传播的疾病;由于环境卫生较差,还可能吃下被寄生虫污染的食物,从而患上肝吸虫、十二指肠钩虫感染等NTD。
而患有NTD的人群,不仅会被疾病本身带来的症状困扰,还有可能受到心理或生理的二次伤害。比如,皮肤型利什曼原虫病会在病人的皮肤上留下永久的伤疤甚至残疾,留在脸上的疤痕更会对病人带去心理压力;内脏型利什曼原虫病使病人长期处于贫血、营养不良、免疫力低下的状态,这种抵抗力低下的状态使病人更容易被其他的病原体感染。
据统计,2013年,NTD造成的死亡人数在14万左右[2]。而根据研究,早在2006年,因NTD导致的过早死亡损失的寿命和处于疾病状态而损失的寿命年数总和(伤残调整寿命年,DALY)大约为5800万年[3],其影响也超过疟疾、结核等疾病。

然而,NTD并没有在全球引起重视,其影响范围仍旧集中在疾病流行地区。
这是因为,虽然NTD对局部地区人民的健康造成了严重的影响,但是并没有在全球范围内造成严重的公共卫生问题,也就并没有得到全球范围的关注。其次,NTD造成的问题大多是慢性疾病。比如,被肝吸虫感染后长期营养不良、贫血;患有皮肤型利什曼原虫病的患者皮肤上会有严重的疤痕;被非洲人类锥虫病感染的小孩发育不良。这些感染后果和埃博拉病和西尼罗病毒病等导致的高致死率相比,并没有引起全球的重点关注。
正是由于这些原因,被忽视的热带疾病才被冠以“忽视”之名。
NTD在缺乏关注的状态下逐渐发展,已经成为了全球健康的负担。
除了折损的伤残调整寿命年,病人因为NTD而丧失的劳动能力,以及患病后产生的医疗费用对病人来说也是沉重的经济负担[4,5];另外,病人的残疾、伤痕、发育迟缓也导致了歧视和不平等。
况且,疾病是没有国界的。随着全球气候变化,一些携带病原体的媒介分布地域改变,导致一些NTD跨越了区域限制,渗透到其他国家。比如在2008年,基孔肯亚病曾在法国留尼汪岛爆发;2015年法国爆发了血吸虫病,究其原因也是因为传播媒介蜗牛的地理分布发生了变化。
此外,随着全球温度升高,一些区域的气候变得温热、潮湿,适宜蚊虫快速繁殖,也是导致NTD异地爆发的原因[6]。
从各个方面来讲,NTD已经到了必须要被重视的地步。
正面抗争NTD
防控NTD并不容易,不仅由于其包含的疾病种类多样,还因为防控传染病不是国家或组织一方付出努力就可以做到的。2012年,WHO发布了2012~2020年的NTD防控指南,号召各国政府、机构、药厂等各方力量加入到消灭NTD的计划中。
响应WHO号召,相关企业确实地投身于NTD的防控和治疗工作。比如,在疾病防控方面,经过数十年研究,赛诺菲已经开发出了针对登革病毒的疫苗[7],多种基孔肯亚的疫苗的研发也已经进入了临床阶段[8];在疾病治疗方面,强生为了让蠕虫病(Soil-transmitted helminthiasis,STH)患儿顺利服药,在2019年,将治疗STH的甲苯咪唑开发出了儿科专用剂型——这种剂型的药物有多种口味,可以直接咀嚼,或者和少量水混合后变成类似酱一样的半固体,1岁左右的婴幼儿也可以轻松服用。改良后的甲苯咪唑对治疗儿童STH感染来说是一种更加安全且有效的给药方式。

除了科研支持,诸多药企也提供了药物捐赠。2006年以来,强生捐赠的治疗STH药物已经使超过8亿的儿童受益[9];拜耳捐赠了2021~2025年治疗非洲人类锥虫病的药物;葛兰素史克捐赠治疗淋巴丝虫病和沙眼的药物直至其消灭;辉瑞从1998年开始捐赠治疗沙眼的药物……药企的药物捐赠在很大程度上减轻了NTD病人的经济负担。在国家层面,提供政策支持也是消灭NTD的中坚力量。印度、尼泊尔等国将消灭利什曼原虫病纳入国家政策中,目前已经取得显著效果。印度通过对蚊虫传播的控制,利什曼原虫病的消灭已经到了关键阶段[10]。
此外,越来越多的科学家也加入NTD的研究队伍。例如,蚊虫是多种NTD的传播媒介,控制蚊虫的传播能减少疾病的传播。科学家利用沃尔巴克氏体感染雄性伊蚊,并将其释放到环境中,在与雌性伊蚊交配的过程中传播沃尔巴克氏体。沃尔巴克氏体能够使雌蚊体内早期胚胎死亡,减弱雌蚊繁殖能力,从而降低环境中伊蚊的数量,最终减少通过伊蚊传播病原体的可能性。此外,科学家也通过对蚊子进行基因改造,使其携带病原体的能力减弱[11,12]。

2012~2020年期间,在各界的共同努力之下,NTD的防控已经取得了一些成果——42个国家和地区至少都至少消灭了一种NTD;麦地那龙线虫病即将被根除;2019年只有4个地区报道了54例人类感染的病例;淋巴丝虫病已经在17个国家被消灭;沙眼在10个国家被消灭;非洲人类锥虫病2012年当年病例超过7000例,在2019年当年发病病例低于1000例。NTD防控的进步极大减轻了世界贫困地区的健康和经济负担。

“For good. For all.”
2020年1月,WHO更新了2020~2030年防控NTD的10年目标:
将需要NTD干扰措施的人数减少90%;
将因NTD导致的伤残调整寿命年减少75%;
100个国家至少消灭一种NTD;
在全球范围内根除2种NTD。
想要达成这些目标,需要投入大量的人力和经济资源建立完善的医疗系统,这就包括诊断、疾病监测和评估、后勤支持、宣传、资金支持等许多方面。
在患者个体的诊疗方面,快速地确诊疾病十分重要。而目前,确认一些NTD病原体要用到聚合酶链式反应,这类检测不仅对操作技术和环境要求高,而且耗时更长。因此有必要开发适合贫困地区的、操作简单且经济的疾病诊断方法。确诊之后采用的治疗方法和药物等,也都需要继续完善。
在宏观的调控层面,对疾病统计数据的监测具有重要意义。将数据上报至WHO共享平台后,WHO能根据当地的具体情况及时修订防控措施以求达到最有效的防控。同时,这些疾病统计数据能够为药厂的生产量和运输力提供重要的参考信息,按需生产,避免供求失调的局面。
这套流程里,具有专业背景的人需要长时间地跟进,保证数据分析准确,对疾病流行情况的评估恰当;企业、非政府机构以及当地行政机关相互配合,从而保障药物的制作和运输、储存安全;政府机构和各方组织要投入大量努力,去提高当地人们防控NTD的意识……这是一张复杂的协作网络,仍然需要在实践中探索,以求磨合到最佳状态。

从各个方面来说,要达到2030年的目标并不是一条平坦的道路,我们仍需大量人力和物力,去填平现实与目标之间的沟壑。
消灭NTD不单是为了处于贫困中的人们,也是为了全球更健康的未来[14,15]。
除了文中提到的基孔肯雅热、麻风病、着色芽生菌病、麦地那龙线虫病、利什曼原虫病、血吸虫病、蠕虫病、沙眼、非洲锥虫病之外,NTD还包括查加斯病、囊尾蚴病、地方性密螺旋体病、棘球蚴病等等。正如故事的开头,连医生都有可能在看到患者症状后,一时考虑不到这些拗口又陌生的疾病名称。
即便如此,这些“被忽视”的热带病依然值得被看见,被这些疾病所困人群也值得被看见。
全球健康与发展守卫计划
我们关心科学家的每一次灵光一现,关心在未知领域的每一步开拓和探索。但这次,我们想把目光投向全球贫困人群。
他们生活窘迫,面对伤害也更加脆弱:气候变化、传染病、饥饿、贫困、新生儿死亡、性别歧视……科学和创新,能为他们带来什么?
全球健康与发展守卫计划通过招募并培养创作者、传播者,促进各类优质内容产生,鼓励传播和发声,从而将关注全球健康与全球发展的理念传播给大众,让贫困人群获得更多关注,并期待让这种关注实实在在改善他们的境遇。
参考文献
[1]Peper SM, Monson BJ, Van Schooneveld T, Smith CJ. That Which Bends Up: A Case Report and Literature Review of Chikungunya Virus. Journal of general internal medicine. 2016;31(5):576-81. doi:10.1007/s11606-015-3459-3
[2]Herricks JR, Hotez PJ, Wanga V, Coffeng LE, Haagsma JA, Basáñez M-G, et al. The global burden of disease study 2013: What does it mean for the NTDs? PLoS neglected tropical diseases. 2017;11(8):e0005424-e. doi:10.1371/journal.pntd.0005424
[3]Hotez PJ, Molyneux DH, Fenwick A, Kumaresan J, Sachs SE, Sachs JD, et al. Control of Neglected Tropical Diseases. New England Journal of Medicine. 2007;357(10):1018-27. doi:10.1056/NEJMra064142
[4]Ozaki M, Islam S, Rahman KM, Rahman A, Luby SP, Bern C. Economic consequences of post-kala-azar dermal leishmaniasis in a rural Bangladeshi community. The American journal of tropical medicine and hygiene. 2011;85(3):528-34. doi:10.4269/ajtmh.2011.10-0683
[5]Fitzpatrick CNU, Lenk U, de Vlas SJ, Bundy DAP. Disease Control Priorities (third edition), vol. 6. Washington (DC): The International Bank for Reconstruction and Development / The World Bank; 2017. An Investment Case for Ending Neglected Tropical Diseases.
[6]El-Sayed A, Kamel M. Climatic changes and their role in emergence and re-emergence of diseases. Environmental science and pollution research international. 2020;27(18):22336-52. doi:10.1007/s11356-020-08896-w
[7]Wilder-Smith A. Dengue vaccine development: status and future. Bundesgesundheitsblatt, Gesundheitsforschung, Gesundheitsschutz. 2020;63(1):40-4. doi:10.1007/s00103-019-03060-3
[8]https://clinicaltrials.gov/ct2/results?cond=Chikungunya&term=&cntry=&state=&city=&dist=
[9]https://www.jnj.com/caring-and-giving/how-deworming-medicine-helps-treat-children-globally
[10]https://www.who.int/news/item/29-07-2021-visceral-leishmaniasis-elimination-india-gears-up-to-overcome-last-mile-challenges
[11]https://www.who.int/groups/vector-control-advisory-group/summary-of-new-interventions-for-vector-control
[12]https://www.nea.gov.sg/corporate-functions/resources/research/wolbachia-aedes-mosquito-suppression-strategy/wolbachia-aedes-mosquito-suppression-strategy-how-it-works
[13]Franco JR, Cecchi G, Priotto G, Paone M, Diarra A, Grout L, et al. Monitoring the elimination of human African trypanosomiasis: Update to 2016. PLoS neglected tropical diseases. 2018;12(12):e0006890-e. doi:10.1371/journal.pntd.0006890
[14]The Lancet Global Health. Taking the neglected out of neglected tropical diseases. Lancet Glob Health. 2020;8(2):e152. doi: 10.1016/S2214-109X(19)30529-7.
[15]https://www.who.int/publications/i/item/9789240010352
作者:胖豆
编辑:悲催的铊宝宝 酥鱼
排版:洗碗 尹宁流
题图:强生投放治疗STH药物,来源参考文献[9]
本文版权属于“我是科学家”,未经授权不得转载。
如需转载请联系iscientist@guokr.com
原标题:《从忽视到重视:截至2020年,40多个国家都至少消灭了一种被忽视的热带疾病》