原创 王玉伟、金迪 医学界心血管频道 收录于话题 #心内侦探事务所 13个
*仅供医学专业人士阅读参考

真是出乎意料的结局!
奔赴现场的路上,波仔向我汇报了委托人的基础信息:“32岁男性,但是现在肌钙蛋白非常高,怀疑……”
“又是心肌酶高,又要怀疑心梗吗?”我嘴边露出一丝嘲笑。
但事后回想起来,被嘲笑的应该是自己。
迷雾重重
委托人向我们讲述了自己的故事:“我是一个普通的上班族,平常生活极为‘规律’,单位与家两点一线,没有不良习惯、没有任何基础疾病、没有家族遗传病,父母、妻女均健康。但是最近身体状况开始逐渐下滑,感觉就是上天跟我开了一个玩笑。”
这一开口就能听出是文化人,条理清晰。
委托人继续说道:“4个月前,我开始出现腹泻、腹痛,诊断为‘直肠炎’,用了抗生素,效果并不好,但这只是个开端。2个月前我又出现了咳嗽、咳痰、乏力、呼吸困难、肌肉酸痛,刚开始以为是自己工作太累了,就没在意。直到1星期前,才腾出时间去检查,是肺炎,吃了‘阿莫西林’,效果还是不好。”
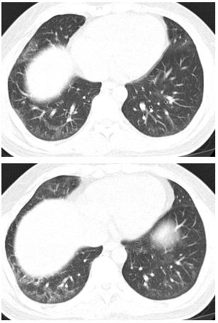
说完,委托人递过了肺CT的结果:双肺纹理增粗,透光度不均,双下肺见斑片状密度增高影,边缘模糊,双下肺可见细网格状影。

图1:肺CT结果
委托人继续说:“现在我感觉病得更厉害了,一活动后就有胸闷、乏力、呼吸困难症状,于是跟单位请假了,自以为做好了一切准备,去接受了一系列检查,刚开始是‘间质性肺炎’,现在却是心梗……”委托人说到一半,情绪激动起来,言语也变得哽咽,可见后面的检查结果严重到让他无法接受。
波仔出面安慰,并将委托人整理的线索递给我。
·侦探档案·
血气分析:PH 7.38,PCO2 43.9mmHg,PO2 88.1mmHg,HCO3- 25.6mmol/L。
心肌损伤标志物:肌钙蛋白T 705ng/L(0-14ng/L),肌红蛋白 970ng/ml(0-72ng/ml),肌酸激酶同工酶>300ng/ml(0-4.87ng/ml)。
肝功能:谷丙转氨酶 99U/L,谷草转氨酶 87U/L,乳酸脱氢酶 750 U/L,肌酸激酶 2550 U/L。
血常规、肾功、血脂、电解质、血沉、降钙素原、脑钠肽(BNP)正常。
心脏彩超:二尖瓣返流(少量)、三尖瓣返流(少量)、主动脉瓣返流(少量)。
心电图大致正常。

图2:心电图结果
陷入“歧途”
我嘴角一笑,说:“不是心梗。”
委托人看到了一丝曙光:“真的吗?”
波仔也说道:“肌钙蛋白升高,只能初步诊断为急性心肌损伤,需要诊断心梗,在心肌损伤的基础上还要满足一项附加条件,但是没有心梗的症状,没有心电图及超声改变,目前这些条件对您都不符合,所以心梗依据不足。”
看来波仔进步不小,我说:“对,现在虽然排除了心梗,但是分析心肌损伤的原因依旧是个难题。”
侦探贴纸1
急性心肌梗死:当存在急性心肌损伤伴有急性心肌缺血的临床依据,且检出肌钙蛋白升高和/或下降,至少有一个值高于99%参考值上限时,并至少存在如下情况之一,为急性心肌梗死:
1.心肌梗死的症状;2.新发缺血性心电图改变;3.发生病理性Q波;4.以与缺血性病因相一致的模式,存活心肌新丢失的影像学证据或新的节段性室壁运动异常;5.通过血管造影和尸解检出冠状动脉血栓。
侦探贴纸2
由于心肌损伤肌钙蛋白升高的原因
1.急性心肌缺血相关的心肌损伤伴有血栓形成的动脉粥样硬化斑块破裂。
2.氧供需失衡,与急性心肌缺血相关的心肌损伤 。
心肌灌注减少:冠脉痉挛,微血管功能障碍,冠脉栓塞,冠脉夹层,持续性缓慢性心律失常,低血压或休克,呼吸衰竭,重度贫血。
心肌氧需增多:持续性快速性心律失常,重度高血压(伴或不伴左心室肥厚)
3.心肌损伤的其他原因:
心脏情况:心力衰竭,心肌炎,心肌病,应激性心肌病,冠脉血运重建手术,非血运重建的心脏手术,导管消融,电除颤,心脏挫伤。
系统性情况:败血症、感染性疾病,慢性肾病,卒中、蛛网膜下腔出血,肺栓塞、肺动脉高压,浸润性疾病(如淀粉样变性、结节病),化疗药物,危重症患者,剧烈运动。
“有感染的前驱病史,我现在怀疑是心肌炎,试一下丙种球蛋白、糖皮质激素……”虽然这么说,但是总感觉不稳妥,比如肺间质纤维化还解释不了,比如……
委托人兴奋得握着我的手,打断了我的思绪:“心肌炎能治愈,对吧?能治愈!谢谢你们。”
粗糙?我感受着委托人的这双手......粗糙,与上班族不相符的粗糙!
我知道问题出在哪里了。
灵光乍现
我问道:“等一下,你平常工作的主要内容是啥?”
委托人有了兴趣,也开起了玩笑:“码农,就是打字。”
“平常有没有体育锻炼,或者干农活?”
“没有啊。”
“你的手怎么这么粗糙?”我再仔细看他的手,还有紫红色皮疹。
委托人说:“你们还治皮肤病?这些疙瘩有1年了吧,严重的时候还有些蜕皮。”
“您最近吃饭的时候有没有感觉不对劲?”
“你是说嘴干,有的,两个月了,吃干硬食物时有些哽咽,你这也能猜到?”
“您需要等一下,我需要打个电话。”我拿出手机,按下了“551”......
接下来的操作是在“电话支援人员”的指导下完成的,包括询问、语音通话、拍照、传照片、收集物证……一番折腾后终于有了结果。
·侦探档案·
1年前出现面部及双手指端皮肤紧硬,手指褶皱减少,双手指间关节伸面出现紫红色皮疹,近2月出现口干,时有进干食哽咽感,无猖獗龋齿。
抗核抗体:阳性(滴度为1:1000)。
抗核抗体谱:抗Ro-52抗体(+++),抗PM-Scl抗体(+++)。
腮腺彩超未见明显异常。
肌电图:提示肌源性损害。
委托人有些疑惑:“这个皮肤病还这么麻烦,比心脏病还麻烦?”
我说:“首先,您这不是皮肤病,也不是心脏病。”
委托人更疑惑了,波仔也一头雾水:“老大,您这是做了啥检查?”
“您手上这个叫Gottron征,是皮肌炎的特征性表现。抗PM-Scl抗体多见于多发性肌炎和系统性硬化症重叠。”我尽量让自己说的流利,要不呼叫支援,我也不会。
委托人问道:“所以是风湿病?”
“您有系统性硬化症和皮肌炎早期的皮肤改变,心肌酶升高、免疫学指标异常、间质性肺炎、下肢肌肉酸痛、吞咽肌受累都与之相关,这是风湿免疫病中的‘重叠综合征’。”
“那我应该怎么办?”
我掏出一张名片:“我推荐您去‘风榜定案事务所’,就说我刚才打过电话。”
侦探贴纸3
重叠综合征:是指患者具有两种或两种以上结缔组织病或结缔组织近缘病的重叠,这种重叠可同时发生,即患者在同一时间符合两种或两种以上结缔组织病的诊断。亦可在不同时间先后发生的另一种结缔组织病,或先患有一种结缔组织病,以后移行转变为另一种结缔组织病。
重叠综合征通常发生于6个弥漫性结缔组织病,如系统性红斑狼疮、类风湿关节炎、皮肌炎/多肌炎、系统性硬化症、结节性多动脉炎及风湿热的重叠。系统性硬化症和皮肌炎重叠综合征患者内脏受累以消化道和肺较常见, 其中间质性肺疾病占30%~40%。
雨过天晴
后来,委托人接受了糖皮质激素、免疫抑制剂麦考酚酯、羟氯喹以及对症支持治疗,症状逐渐改善,心肌酶变为正常,胸部CT斑片影较前吸收,双下肺仍可见细网格状影。

图3:治疗一段时间后肺CT结果
回顾案件,我向波仔解释:“我的洞察力还是很敏锐的,我及时发现问题在于免疫系统,给出激素治疗的方向,像福尔摩斯一样分析手掌的皮疹……”
波仔显然有些不服:“然后打电话求助外援。”
我再次辩解:“那叫‘内援’,是内!”
波仔显然没有理解我的意思:“当然,你是老大,你说啥就是啥。”
参考文献:
[1]Thygesen K, Alpert JS, Jaffe AS, et al. Fourth Universal Definition of Myocardial Infarction (2018) [J].Circulation, 2018, 138(20):e618-e651.
本文首发:医学界心血管频道
本文作者:王玉伟 金迪 潍坊市益都中心医院
责任编辑:袁雪晴 章丽
版权申明
本文原创,转载需联系授权
- End -