原创 李淳风 医学界神经病学频道 收录于话题 #神经档案室 88个
*仅供医学专业人士阅读参考

在2022年的第一天,邀请您一起来领略探索疾病真相的乐趣,面对一例看不见“血管狭窄”的急性分水岭脑梗死,看看华山神内专家是如何进行鉴别诊断的?
温馨提示:本文共2898字,预计阅读时间8分钟。
病例简介
61岁女性患者,因“反复晕厥伴反应迟钝13天”入院。
2018年6月21日,在医院陪同家属时突发晕厥,不伴四肢抽搐,约5分钟左右意识恢复,醒后反应迟钝、情感淡漠,有记忆力下降。
6月22日再次出现晕厥,2分钟后恢复,遂至外院就诊。
6月23日查头颅MRI示:双侧半卵圆中心、侧脑室旁DWI高信号,考虑“多发性脑栓塞”;予低分子肝素、阿托伐他汀等治疗后,于7月3日出院。当天患者再次出现头晕、四肢发软,不伴意识丧失,遂至我院就诊,为明确诊断收住入院。
患者诉长年血压偏低,测得在90-105/55-65mmHg之间。有亚急性甲状腺炎史,否认糖尿病或其他家族史。
入院查体:神清,表情淡漠,对答切题但反应迟钝,记忆力及计算力下降,四肢肌力5级,双侧感觉对称,病理征未引出。
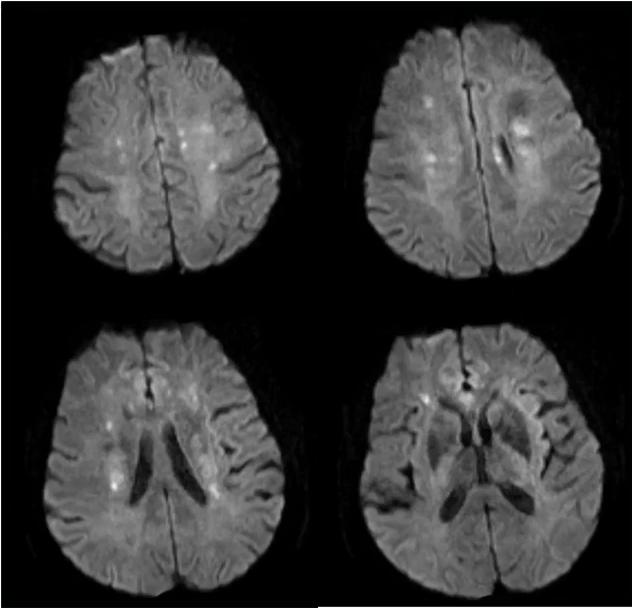
完善DWI示:双侧半球分水岭急性梗死。

问
发现患者为颅内多发性梗死,鉴别诊断考虑什么呢?
常见原因如下:
①灌注不足:大动脉狭窄合并血容量不足、低血压等。
②血栓栓塞:动脉到动脉栓塞、心源性栓塞(房颤、瓣膜病、卵圆孔未闭、心房粘液瘤、心内膜炎等)。
③凝血异常:肿瘤、凝血因子异常等所致高凝状态。
④其他:各类感染、血管内淋巴瘤等。
由于患者自诉血压偏低,于是进行了24小时动态血压监测
动态血压:24小时平均血压(114/66mmHg),清醒时平均(109/62mmHg) ,睡眠时平均(129/81mmHg) ,24小时血压最低:83/38mmHg。
可以发现,患者血压处于正常偏低水平,低血压可能为导致反复晕厥的“元凶”。
问
下一步怎么做呢?
前面我们说了,大动脉狭窄合并血容量不足、低血压等导致的灌注不足(原因①)是颅内多发性梗死的常见原因,那么,这例有没有这种可能呢?

顺藤摸瓜,查了一下头颈CTA,未见大血管狭窄闭塞。

患者低血压、多发性梗死,却没有大血管闭塞。重新考虑病因,会不会是血栓栓塞(原因②)或者凝血异常(原因③)导致的呢?
完善其他辅助检查:
1. 动态心电图:24小时未见心律明显异常表现。
2. 发泡试验:阴性——不支持心脏右向左分流。
3. 食道心脏超声:未见卵圆孔未闭征象。
4. 凝血功能:蛋白S、蛋白C、抗凝血酶III抗原及抗凝血酶III活性、血管性血友病因子、VWF活性、凝血因子VIII 活性等均未见异常。
5. 肿瘤标志物:正常范围内。
6. 腹部B超、胸部CT:未见明显异常。
因此,原因②和原因③也被排除。
问
那么,还有什么可以考虑的吗?
疾病肯定是有病因的,一筹莫展的时候不妨回头看看,于是,回过头来再看下头颅磁共振。

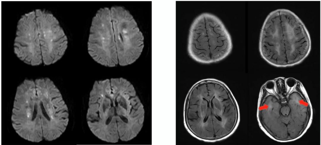
除了DWI显示的双侧半球分水岭急性梗死,FLAIR发现多发脑白质高信号,累及双侧颞极。
这就是一个提示点!那么,你知道双侧颞叶白质病变病因鉴别需要考虑哪些吗?
CADASIL,即伴有皮层下梗死和白质脑病的常染色体显性遗传性脑动脉病。
NOTCH3基因致病突变。
较常见,早期颞极受累。
DM1,即强直性肌营养不良1型。
DMPK基因中CTG重复扩增>50次。
较罕见,肌营养不良表现。
CARASAL,即组织蛋白酶A相关性动脉病伴脑卒中和白质脑病。
CTSA基因致病突变。
罕见,合并难治性高血压。
其他:CARASIL、HDLS、ADL、HDLS等个例报道。
由于相关疾病确诊均需要基因检测,在取得患者及其家属的知情同意后,完善基因检测。
表1:基因检测报告

CADASIL是何方神圣呢?
CADASIL是一种常见的遗传性脑小血管病,由NOTCH3基因致病突变所致。
▌ 临床表现
主要临床表现随年龄变化如下图所示,包括先兆型偏头痛、缺血性卒中、情感障碍、痴呆等,其中T2白质异常信号是本病的特征性表现,会随着年龄增加逐渐进展。

▌ 典型影像特点

1. 白质高信号,特征部位包括颞极、额极、外囊,如图蓝箭所指。
2. 腔隙,如图绿箭所指。
3. 微出血(MB),如图红箭所指。
4. 脑萎缩,如图白箭所指。
文献回顾大发现
经过检索,得到9篇文献,在所描述的11例类似CADASIL病例中,所有患者均无大动脉狭窄,且多与低血压及血容量降低有关。
表2:11例类似CADASIL病例及本例的梗死部位和诱因


可以发现,多数病灶分布在半卵圆中心、侧脑室旁,该病为何会出现双侧急性、同时多发的病灶呢?

在一篇文献中,一例多发分水岭梗死的CADASIL患者的磁共振灌注发现双侧深部白质低灌注:脑血流量下降(A)、平均通过时间延长(B)及脑血容量下降(C)。
另一项研究发现,通过经颅多普勒超声测定,与健康对照相比,CADASIL患者在视觉刺激后脑血流速的增幅较低且反应时间延迟,也就是说,CADASIL患者的脑血流调节异常。
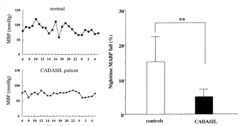
同时,一项将CADASIL患者和正常人通过24小时血压监测进行对比的研究发现,CADASIL患者夜间血压下降现象不明显,血管自动调节功能受损。

就说本例患者,甚至出现了夜间血压升高的现象,非常反常。另外,有研究发现,对于该类患者,血压控制的较高会导致腔隙增多等病情进展。
总结
出现看不见的“血管狭窄”所致分水岭脑梗死这种情况,是因为他是CADASIL患者。

CADASIL的病理特征是小动脉平滑肌细胞凋亡导致小动脉壁纤维化增厚。这些变化可能导致脑小血管血流自动调节异常和易受血流动力学波动的影响。
通过文献回顾发现,过低的血压或血容量导致急性分水岭脑梗死。不仅仅只是大动脉狭窄,小血管病变也可能是导致分水岭脑梗死的发病原因。
一般治疗手段会包含控制血压,然而血压过高也会导致诸如腔隙增多等病情进展,最佳血压控制范围有待进一步临床研究。
本文整理自《2021神采飞扬学术季》——由复旦大学附属华山医院神经内科凌倚峰汇报的题目为《看不见的“血管狭窄”所致分水岭脑梗死》的精彩讲座。
另外,2021年度华山医院神经内科神采飞扬学术季系列讲座刚刚落幕,2022年度神采飞扬已蓄势待发!从3月15日起,医学界医生站“华山学院”直播间,每月两期,让华山神内大咖带你“立足临床,科学施治”!
本文来源:医学界神经病频道
本文整理:李淳风
本文审核:李土明 副主任医师
责任编辑:陆离先生