原创 超声科、宣传科 上海市同仁医院
同仁医线系列⑦

忽然,救护车呼啸而至,90岁高龄女性庄某因中上腹胀痛不适,伴腰背部酸胀感,恶心呕吐,急来我院就诊。患者一周前曾出现类似症状,当时家庭医生予以口服抗生素治疗后症状好转。急诊上腹部CT提示胆囊炎,胆囊结石,胆总管下段结石,胆道扩张。
予以补液等对症处理症状无好转后收入病房,拟行急诊手术治疗。术前心电图检查发现异常,经心内科会诊后考虑患者急性ST段抬高型心肌梗死可能,建议行急诊冠脉造影术。但因高龄怕风险大,家属拒绝手术,随后多项化验指标先后报危急值。

这位患者是高龄女性,又因急性心梗不能麻醉而失去急诊胆囊手术机会,告病危。但保守治疗中肿大的胆囊、扩张的胆管同样危及着患者的生命。
怎么办?
雪上加霜的危象如何破局?
开与不开都不行?
危重的病情刻不容缓,普外科联合查房后给患者指出了第三条路——建议在彩色超声引导下行胆囊穿刺置管引流术。临床医生先与家属充分沟通病情,告知出血等风险后,家属表示同意。超声医学科临危受命,派出副主任医师带队的床旁介入5人小组,推着机器急速奔赴SICU,于监护室床旁先行评估患者状态。
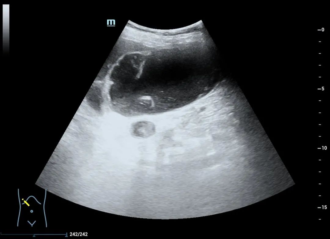
肿大的胆囊张力很高,胆囊壁增厚,囊内胆汁透声不佳,有结石,有胆泥沉积物,同时肝内外扩张的胆管均提示患者的胆囊等不起了,一旦穿孔进展为腹膜炎,以患者的身体条件,几乎难以扛过。

但患者因为心梗而使用的抗凝药物,又为置管带来了麻烦,一旦操作不顺利或者胆囊壁因炎症而脆弱,都可能引发出血不止的并发症。
做与不做?救与不救?
成了摆在超声介入医生面前的难题
虽然困难重重,但为了患者的一线生机,在充分评估患者条件和进针安全路径的情况下,再次与患者家属谈话,告知所有出血、胆瘘等并发症可能出现的情况后,在家属的同意下,超声介入医师顶着压力为患者进行了床旁超声引导下胆囊穿刺置管引流术。
在超声介入医生准确的评估、完善的路径规划和娴熟的操作下,局麻——进针——减压——导丝——扩皮——置管——固定,一步步操作,按部就班、娴熟流畅、有条不紊的进行着,全程监控,避开血管,一次成功,安全顺利的完成了置管,即刻引流出草绿色胆汁50ml,经评估置管通畅,患者胆囊的危象得到了缓解,有效控制了胆囊肿大及胆管扩张带来的危险,给临床心梗对症处理及抗炎治疗赢得了时间。





超声引导下胆囊穿刺置管引流术简介
超声引导下胆囊穿刺置管引流术是一种经皮经肝穿刺,在肿大的高张力胆囊内置入引流管,以达到有效减压、缓解症状目的的微创治疗方法。通过对胆囊及整体胆道系统的减压,有效控制症状,为再择期手术创造条件。
适应症:
1、急性胆囊炎,患者症状危重、年老体弱或同时合并严重的心、肺、肝、肾等脏器疾病不能耐受手术者;
2、胆总管下端梗阻伴胆囊肿大,手术难以切除病灶或解除梗阻,经胆道引流失败者;
3、妊娠期急性胆囊炎;
4、急性化脓性胆管炎,胆石症并发急性胆管炎的某些病例,肝内胆管扩张不明显而胆囊显著肿大者。
禁忌症:
1、严重出血倾向,出血、凝血机制障碍者;
2、全身衰竭者不能耐受经皮经肝穿刺手术者;
3、陶瓷胆囊或胆囊壁增厚,胆囊壁无法穿刺者;
4、有大量腹水者;
5、胆囊充满结石或无结石而胆囊腔过小者;
6、由于胃肠道气体、肋骨干扰或患者过于肥胖导致胆囊显示不清者;
7、无安全穿刺路径者。

上海市同仁医院超声医学科在科主任的带领下,在全体同仁的不懈努力下,从超声诊断逐步向超声介入诊疗转型。目前超声介入组已形成由主任医师带队,副主任医师加高年资主治医师为主体,专科护士配合的专业介入团队。操作项目已涵盖九大板块,日常常规开展超声引导下浅表、腹部等多脏器组织肿块细针、空芯针活检,超声引导下胸腔、腹腔、心包置管引流,超声引导下胆囊置管、肝脓肿置管引流及超声引导下囊肿硬化治疗等微创诊疗项目,配合临床需求,为患者的疾病诊断和治疗提供更多、更好的服务。
【门诊时间】
超声介入专家门诊时间
陈曼(主任医师):每周五上午
唐蕾(副主任医师):每周二下午、每周四下午
超声介入专病门诊时间
周一到周五全天

【同仁医线①】上下联动抽丝剥茧,揪出隐藏在“盆腔炎”里的恶性肿瘤【同仁医线②】专家团队勇闯生命禁区,花季少女终于转危为安【同仁医线③】10个月内反复3次手术,这个“烫手山芋”接不接?【同仁医线④】霸占腹中30多公分的包块,竟让年轻的她遭遇“隐形杀手”【同仁医线⑤】当来势汹汹的羊水栓塞,遇上沉着冷静的专家团队【同仁医线⑥】争分夺秒急抢救,重获“心”生渡难关预约就诊请关注公众号:
(配图源自网络,如有侵权请通知删除)
供稿:超声医学科 唐蕾
编辑:宣传科
TONGREN HOSPITAL
上海交通大学医学院附属同仁医院
欢迎关注同仁医院官方微信服务号:,。视频小程序赞,轻点两下取消赞在看,轻点两下取消在看
原标题:《同仁医线丨高龄+心梗+急性胆囊炎,不能手术怎么办?》