原创 医学界会议记录组 医学界神经病学频道
*仅供医学专业人士阅读参考

神经科医生必备!
引言:2021年11月6日,由复旦大学附属闵行医院、中风特别行动联盟(CSTS)联合举办的2021中风120急救论坛、CTTS第一届研讨会、第五届中风院前医疗国际论坛圆满召开,众多国内外卒中领域著名专家出席,给临床一线医生提供了直面专家的机会,其中,苏州大学附属第二医院曹勇军教授给我们带来了主题为《急诊类卒中的鉴别诊断》的精彩报告!
类卒中又叫假性卒中,是指多种非血管性病因导致的卒中样发作。
临床表现为突发或急性发作的多种局灶性神经功能缺损症状和体征,如偏瘫、失语、头晕、头痛、视力障碍、痫性发作及意识障碍等。
在急性缺血性卒中普遍开展再灌注治疗的背景下,尽快明确卒中诊新尤为重要。在绿色通道短暂的4.5h静脉溶栓时间窗内,如何快速识别假性卒中,成为神经科医生必须掌握的基本功。
问
类卒中病因有哪些?溶栓后安全性如何?
目前已发表的研究显示,类卒中比例在2.9%至30%不等。
那么,样本量最大的美国“跟着指南走”卒中登记项目纳入72582例诊断为卒中的患者,其中有2517例为类卒中患者,占比3.5%,病因及占比排列如下:
偏头痛478例(19%)
神经症236例(9.4%)
痫性发作199例(7.9%)
电解质及代谢紊乱49例(2%)
不明病因979例(38.9%)
资料缺失564例(22.4%)
假如这些患者没能及时地被识别出来,进行了溶栓治疗,安全性如何呢?
上述的2517例类卒中患者中,静脉溶栓后症状性颅内出血发生率为11/2517(0.4%),而真正的卒中患者经过溶栓治疗后,症状性颅内出血比例为3.5%,整体来说,类卒中患者溶栓后症状性颅内出血的发生率与国际大型溶栓研究中的对照组类似。
这提示我们,可能还是要大胆地去进行超早期溶栓治疗。关于常见类卒中的鉴别诊断,曹勇军教授贴心地为我们归纳好了。
常见的类卒中鉴别诊断
1
低血糖综合征
①多种原因引起的血糖低于5mmol/L(90mg/ml)的综合征。
a)<2.80mmol/L (50mg/ml):低血糖脑病
b)<3.33mmol/L(60mg/ml):低血糖反应
②突发单侧肢体瘫痪伴或不伴有意识改变等症状。
③影像学缺乏责任病灶。
④经补糖对症处理后临床症状和体征于短时间内改善。
所有疑似卒中患者第一时间监测血糖!
除此之外,Neurology去年发表了一例经典的非酮症高血糖高渗类卒中(图1)。提示少数高血糖也可以导致类卒中的发生。

图1:非酮症高血糖高渗类卒中(源自教授PPT)
另外,2019年美国心脏协会(AHA)/美国卒中协会(ASA)发布的缺血性卒中早期管理指南强调了血糖监测,如果我们严格参照指南执行,低血糖综合征或血糖紊乱都能够被及时地识别。
2
镇静剂中毒
①镇静剂中毒临床上常见且易被误诊为脑卒中
a)常以意识障碍为主要症状;
b)若为老年人,且有脑血管病危险因素或脑血管病史;
c)若不能早期提供服药史,易被误诊为脑梗死。
②若遇到不明原因的意识障碍者,尤其缺乏锥体束征者,须排除是否存在镇静剂中毒。
③应详细询问病史:发病前是否有精神诱因或抑郁症病史,是否存在行为异常等。
④应寻找药物来源并了解患者服药剂量;生化及影像学检查无异常等有助于鉴别诊断。
对于镇静剂中毒,曹勇军教授也为我们提供了一个简单的鉴别诊断的参考流程(图2)。

图2:镇静剂中毒的鉴别诊断具体流程(源自曹勇军教授讲课PPT)
3
痫性发作
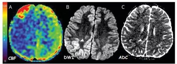
痫性发作是最常见的类卒中之一,特别是在出现Todd麻痹或阵发性失语/吞咽困难的患者中,三分之一的卒中类似疾病是由于癫痫发作或发作后功能障碍导致。
癫痫相关皮质信号异常可能与弥散受限、DWI异常相关。与脑梗死的区别特征包括不符合血管分布、脑回或软脑膜增强和无血管闭塞等。
信号改变通常是可逆的,但可能发展为皮质层样坏死或局灶性萎缩。但是,癫痫灶可能有轻度的高灌注或正常。
■ 经典病例
男性,67岁,“突发四肢抽搐伴意识不清1小时”急诊入院;脑卒中后遗留右侧轻偏瘫;有癫痫发作史,未规律服用抗癫药;抗癫痫治疗很快缓解,影像学复查完全恢复。

图3:患者DWI(源自曹勇军教授讲课PPT)
那么,这是一个很明显的痫性发作的类卒中患者。至于Todd瘫痪性类卒中的鉴别诊断要点,曹勇军教授归纳如下(表1)。
表1:Todd瘫痪性类卒中的鉴别诊断要点(曹勇军教授整理提供)
急性脑梗死
癫痫(伴Todd瘫痪)
头MR-DWI改变
点、灶或片状
皮层可广泛累及,呈花边状
脑血管分布
单血管流域支配区
累及一侧半球,多个血管分布区
脑灌注成像
低灌注
高灌注
临床症状
不可逆
可逆
明显可见,灌注有助于癫痫类卒中的早期鉴别(图4)。

图4:2例通过灌注鉴别的类卒中患者(源自曹勇军教授讲课PPT)
4
偏头痛
此类患者通常有典型偏头痛病史,可能有头痛、畏光等先兆,偏瘫型偏头痛首次发作通常在45岁左右,或者更大的年龄,此类发作常与TIA相混淆,经常被当做卒中治疗。
这类患者的神经影像学通常是正常的,然而出现有限弥散可能较罕见。灌注异常在这些病例中较常见,通常在开始时灌注不足,有时随后即为高灌注。
需要注意的是,与急性梗死中单个血管区域的灌注不足相反,该类疾病通常会影响多个血管区域。
曹勇军教授介绍,家族性偏瘫型偏头痛、散发性偏瘫型偏头痛、基底型偏头痛比较容易被误认为急性卒中,因此,面对疑似急性卒中患者,一定要问一下有没有相关家族史。
■ 经典病例
31岁男性,既往偏瘫型偏头痛。因严重右侧搏动性头痛,畏光和呕吐就诊。伴随左手麻木,向左侧面部和左腿发展。随访情况是头痛停止后恢复正常。

图5:偏瘫型偏头痛 (源自曹勇军教授讲课PPT)
6岁男孩,偏头痛家族史。严重、单侧、搏动性头痛3d,出现急性左侧无力和左侧偏盲。症状发作后3h MRI显示整个右半球灌注不足,DWI显示局灶性高信号,ADC低信号,主要累及右顶叶,提示缺血。头痛停止后,出院时无神经功能缺损。

图6:偏瘫型偏头痛 (源自曹勇军教授讲课PPT)
以上2例为文献报告,曹勇军教授还为我们介绍了1例他遇到的偏瘫型偏头痛患者。
12岁男童,突发“发热、头痛伴左侧偏瘫”急诊入院,MR未见明显异常信号,右侧大脑中动脉(MCA)及大脑后动脉(PCA)远端分支消失,腰穿正常,询问病史发现过去有类似情况,但症状较轻,并且患者妹妹也确诊过偏瘫型偏头痛,初步判断患者为上呼吸道感染,发热后诱发偏瘫型偏头痛发作,最终通过基因检测确诊。
如果患者为首次发作,且无家族史,极易诊断为急性脑梗死。
5
瘤卒中(胶质瘤多见,部分出血性)
少数脑肿瘤的患者也可能会以突然发作“卒中样”症状形式起病。认识到这一点很重要,不仅能避免不必要的溶栓治疗,同时也不会延迟识别和处理脑肿瘤。
当脑肿瘤小、位于皮层、动脉分布具有不同的增强模式时常会发生误诊。DWI可以显示出不同的信号特征,这取决于肿瘤细胞特征。
灌注检查是有助于鉴别诊断,特别是胶质瘤的灌注增加,包括脑血容量升高,而急性脑梗死病灶中脑血容量通常是低的。
■ 经典病例
83岁,女性,因“构音障碍”就诊。
急诊脑CT示左侧局灶性病变,皮质曲线增强,血容量和血流量局灶性升高(白箭头),并显示正常到快速灌注转运时间。头MR-ALS增强和“高灌注”认为是亚急性梗死。
但按急性脑梗死治疗后症状进展迅速,1月后MRI示病灶扩展异质性增强(红箭头),病理检查结果诊断为胶质母细胞瘤。

图7:瘤卒中(源自曹勇军教授讲课PPT)
49岁女性,突然醒来出现言语不清。最初CT报告左侧MCA区域脑梗死伴左侧MCA高密度(A),MRI显示非强化(B)、T2-FLAIR高信号(C)的膨胀性病灶伴弥散增加(D-DWI,E-ADC)。
活检为间变性少突胶质细胞瘤。

图8:瘤卒中(源自曹勇军教授讲课PPT)
6
可逆性后部白质脑病综合征(RPLS)
RPLS的概念最早是由Hinchey等人在1996年提出的,引起该综合征的病因常见的有恶性高血压、妊娠子痫、各类严重肾脏疾病、免疫抑制剂及细胞毒药物、自身免疫病的治疗等。
可能的发病机制包括脑血管痉挛、高灌注脑损伤、血脑屏受损或脑内毛细血管内皮细胞受损。
RPLS影像学上主要累及大脑半球顶枕区,DWI多显示为或高信号,ADC呈高信号,为典型血管源性水肿信号改变。而脑梗死急性期病变区呈DWI高信号,ADC为低信号,表现为细胞源性水肿。此为两者最重要的影像鉴别点。
■ 经典病例
患者为女性,39岁,因车祸入院,后出现急性肾衰;病程中突发头晕,双眼视力下降,反复恶心呕吐,下午突发剧烈头痛,双目失明。病程中肾性高血压,控制不佳。

图9:头颅CT可见双侧枕顶叶低密度灶(A),头颅MRI示双侧枕叶在T1WI像呈低信号(B),DWI像呈等高信号(D),T2WI(C)、ADC(E)和FLAIR(F)像呈高信号。(源自曹勇军教授讲课PPT)
用甘露醇降压及其它对症治疗后,复查头颅MRI复查示双侧枕叶在T1WL(A)像的低信号,T2WI(B和C),DWI(D)和ADC(E)像的异常信号消失,TOF-MRA示颅内动脉未见异常(F)。

图10:治疗后复查影像学检查结果(源自曹勇军教授讲课PPT)
7
线粒体脑肌病
线粒体疾病相关类卒中的鉴别要点,曹勇军教授为我们总结如下:
表2:线粒体脑肌病及RPLS与卒中的鉴别要点(曹勇军教授整理提供)
脑血管分布
MRI-DWI
MRI-ADC
MRs
急性脑梗死
符合
高信号
低信号
无乳酸峰
MELAS
不符合
高信号
等、低信号
巨大乳酸峰
RPLS
不符合
高信号
高信号
—
注:MELAS为线粒体脑病伴乳酸酸中毒和脑卒中样发作
小结:
①类卒中的病因多种多样,临床表现复杂,临床医生需要认真识别,做好诊断和鉴别诊断;
②熟练掌握类卒中的常见病因及特点及少见病因的特异性表现;
③要求医生应该具备良好临床基本功,详细的询问患者病史,细致全面的体检、良好的鉴别诊断能力是关键;
④不断学习、积累,充分利用影像学工具以及实验室检查,为卒中绿色通道急诊精准再灌注治疗保驾护航。
专家简介

曹勇军教授
苏州大学附属第二医院神经内科副主任
主任医师、教授、博士生导师
澳大利亚悉尼大学附属乔治全球健康研究院访问学者
国家脑防委优秀中青年专家
中国医师协会脑血管病专委会委员
江苏省卒中学会常务委员
心源性卒中防治专委会副主任委员
江苏省神经病学分会脑血管病学组副组长
苏州市医学会神经内科专委会副主委、脑血管病学组组长
本文首发:医学界神经病学频道
本文作者:医学界会议记录组
本文审核:曹勇军教授 苏州大学附属第二医院
医学界力求其发表内容在审核通过时的准确可靠,但并不对已发表内容的适时性,以及所引用资料(如有)的准确性和完整性等作出任何承诺和保证,亦不承担因该些内容已过时、所引用资料可能的不准确或不完整等情况引起的任何责任。请相关各方在采用或者以此作为决策依据时另行核查。