意外创伤难料
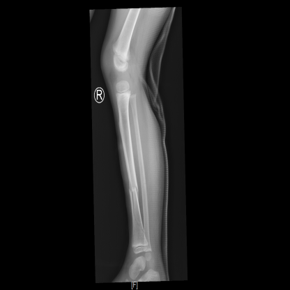
右胫腓骨骨折
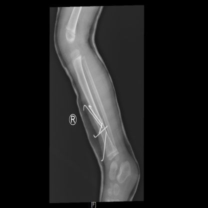
5枚克氏针固定
诊疗恢复良好
日前,小曹同学玩耍时不慎被小轿车撞伤,伤及右小腿,当时疼痛、肿胀伴活动受限,急就诊于当地医院,行X线示:右胫腓骨骨折,给予石膏外固定,建议手术治疗,家长为进一步诊治来到河北省儿童医院。
创伤外科(急诊外科)副主任崔硬铁接诊后,查体、阅片,小曹双上肢及左下肢未见异常,右小腿局部肿胀,压痛明显,可闻及骨擦音,可触及骨擦感,右膝、右踝关节活动受限,右足各趾活动可,右足背动脉搏动可触及,末稍血运及感觉良好,以“右胫腓骨骨折”收入创伤外科。

听到诊断结果,患儿家长有一系列担忧:孩子这么小就要开刀动手术?手术会不会有危险?手术后能不能痊愈,有没有后遗症,手术会不会留很大的瘢痕?

面对孩子家长的担忧,崔硬铁耐心向家长介绍:传统的治疗方法也较多,如手法复位、骨牵引、外固定支架等,但康复时间长。小曹的骨折存在纵向骨折,可优先选择克氏针固定治疗。家长了解情况后,同意住院行手术治疗。

入院后完善相关术前检查,无明显手术禁忌,创伤外科(急诊外科)主任周晓康组织科室术前讨论,决定在全麻下行右胫骨骨折闭合复位克氏针内固定术及石膏外固定术。
术中右小腿持续牵引后,手法复位及克氏针翘拨复位,透视下见骨折复位良好,用5枚2.0mm钛克氏针固定骨折,再次透视,调整克氏针位置,见骨折断端对位对线好,右膝、右踝关节伸屈活动可。克氏针尾弯曲,剪短后留于皮外,碘伏无菌敷料包扎,足背动脉搏动有力,行右下肢功能位管型石膏外固定,观察见末梢血运良好。

胫腓骨骨折常见的诊疗方案采用髓内针固定,但该患儿存在胫骨纵向劈裂骨折,涉及髓腔,髓内针固定时可能因占位导致骨折间隙增大,骨折片位移错位产生畸形愈合。采用克氏针治疗,骨折固定效果确切,表面皮肤无切口,手术创伤小,术后恢复快,满足患儿及家长对皮肤美观的要求。而且克氏针固定与钢板及外固定支架相比,费用低廉,减轻患儿家庭经济负担。

术后给予患儿儿童骨折优质护理,止血及消肿治疗,抬高患肢,注意观察患肢末梢血运。复查X线示:右侧胫腓骨可见外固定影,右胫骨下段可见金属内固定,断端对位对线可,周围未见明确骨痂形成。小曹病情平稳,向患儿家属交代病情及出院注意事项,现已顺利出院。
专家提醒

儿童活泼好动,安全意识和自控能力尚不成熟,意外伤害高发。据统计,河北省儿童医院创伤外科(急诊外科)8月份接诊各类骨折患儿100余人次,需住院手术治疗患儿26人,假期创伤骨折发生率明显上升。创伤外科(急诊外科)主任周晓康提醒广大家长:不论暑期还是日常生活中,家长都应该提高安全防范意识和能力,看管好家中的小朋友,防范比治疗更重要。如果不幸发生意外导致儿童骨折,家长切不可小觑,要引起足够的重视,选择正规的医院进行治疗。