原创 孙丹雄 医学界呼吸频道
*仅供医学专业人士阅读参考
肺部钙化不可忽视!
前言
咳嗽的病因多而复杂!遇到肺部钙化我们基本上都是告诉患者及家属:钙化是病灶好转后遗留下来的,没有意义,也不需要处理!的确,绝大多数的钙化没有意义,对患者也没有什么特殊的影响!但是,有时候肺部钙化也会导致咳嗽,并且是剧烈的、难以忍受的咳嗽。
有时候,单凭胸部CT就能初步判断患者的咳嗽是否与肺部钙化有关!最近遇到几例患者,胸部CT很明显的显示患者剧烈咳嗽很可能是肺部钙化病灶引起的,但是因为钙化引起咳嗽太少见,临床医生对这个病视而不见,从而导致长期的误诊漏诊。
今天和大家分享一下哪些不守规矩的钙化病灶会导致患者剧烈咳嗽。
病例1
老年女性,有肺结核病史。
反复咳嗽一年,加重一月。
一年来反复咳嗽,咳少量黄、白色粘痰,外院考虑肺结核复发,再次抗结核治疗,症状无好转。一月前外院行支气管镜检查,术后患者剧烈咳嗽,痰中带血,伴胸痛。
入院时患者剧烈咳嗽,根本停不下来,表情痛苦,不能平卧,平卧后咳嗽加重。







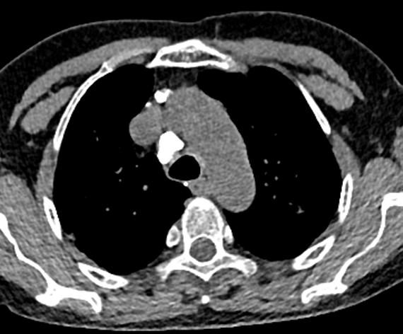
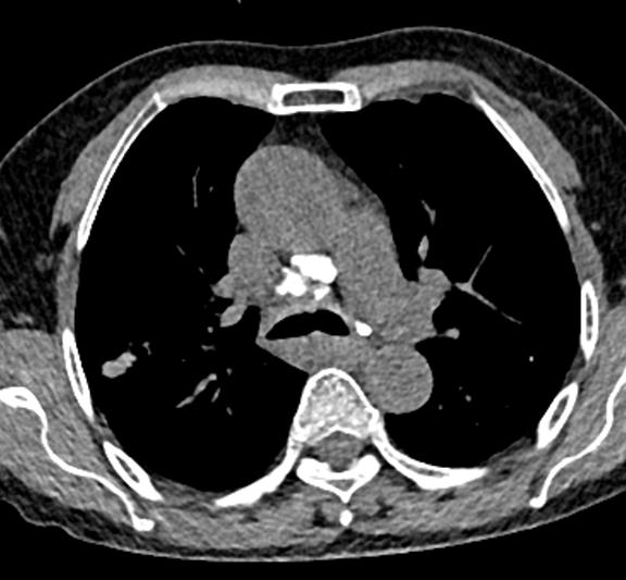
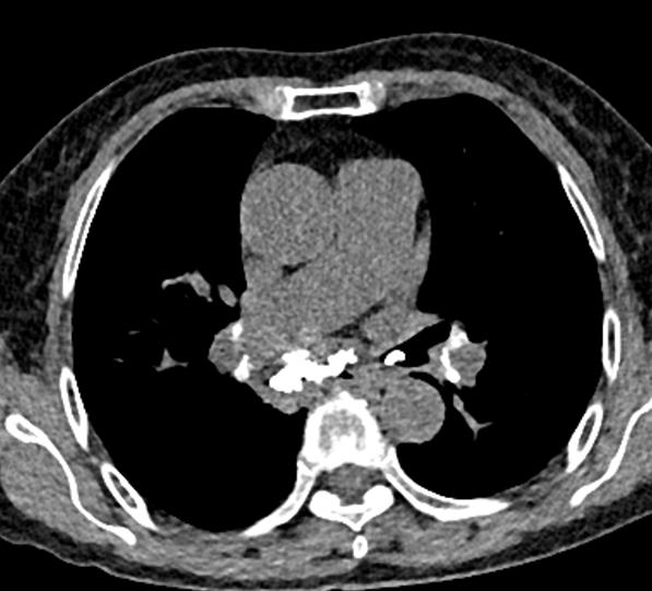
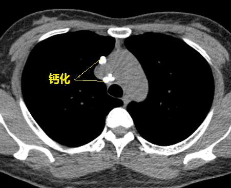
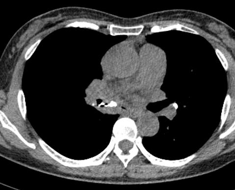
图1~图7 胸部CT示双肺多发钙化
问题在哪儿?
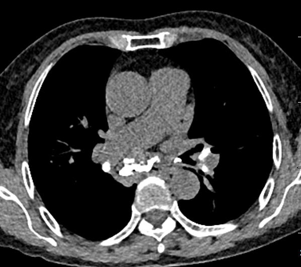
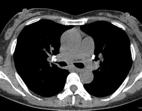
肺部钙化灶脱落,掉进左主支气管(图8),因为钙化病灶是坚硬的、锐利的,就像一个石头在不断地刺激支气管粘膜,导致患者咳嗽。

图8 胸部CT
明确诊断需要支气管镜检查。然而患者剧烈咳嗽,不能耐受局麻,改全麻下行支气管镜检查。术中见左主支气管有灰褐色、坚硬、异物样病灶(图9)。用活检钳取出,右中间支气管的钙化病灶被肉芽组织包裹用活检钳无法取出。

图9 支气管镜检
术后我去病房看患者,令我非常吃惊呀:患者的咳嗽完全缓解!前后判若两人!效果立竿见影!做了几千个支气管镜,极少遇到治疗效果这么好的!
为什么外院支气管镜检查后患者咳嗽加剧?有可能是支气管镜术中导致钙化病灶脱落,不断刺激支气管粘膜导致的。
病例2
中年女性,平素体健。
反复咳嗽一年。
一年来,患者反复咳嗽,有时痰中带血,外院反复给予抗感染、止咳治疗,症状无好转。后考虑咳嗽变异性哮喘,给予吸入激素等治疗,症状无好转。






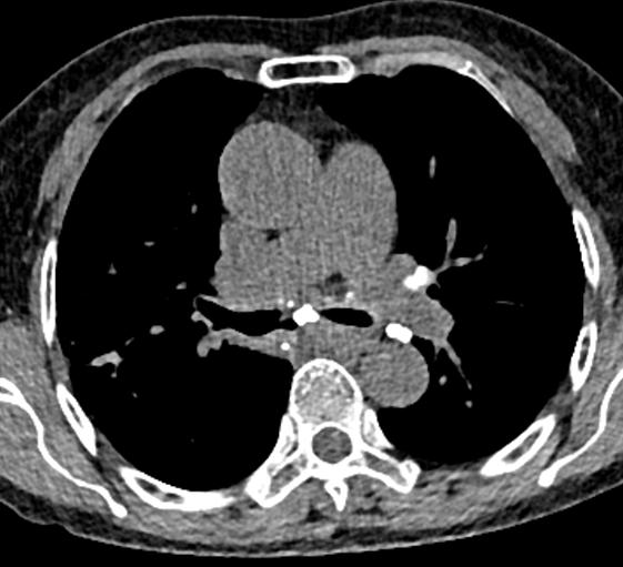
图10~图15 胸部CT示双肺多发钙化灶
问题出在哪儿?
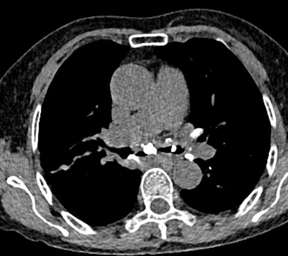
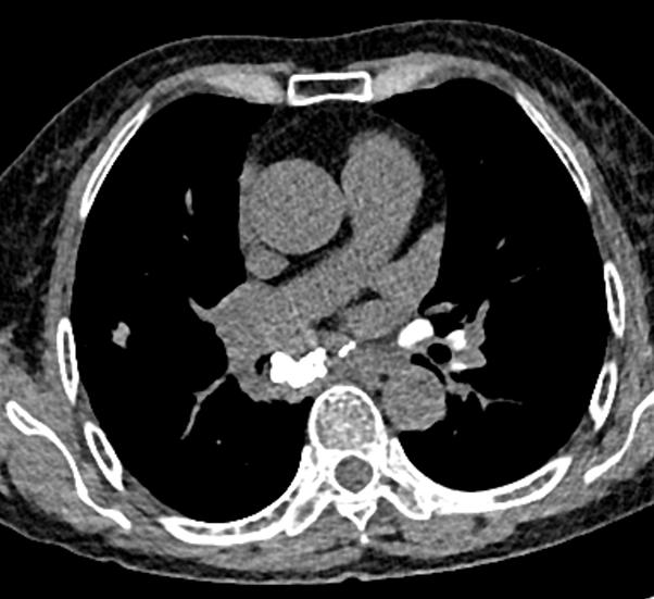
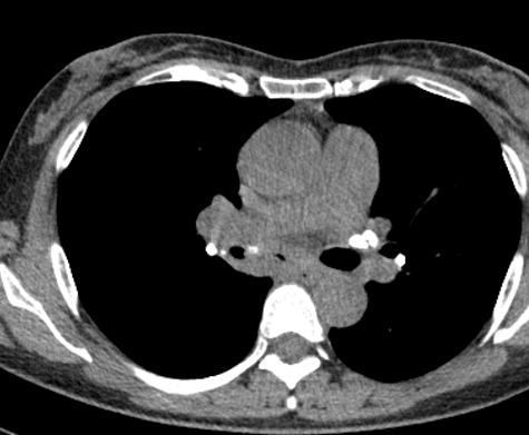
右中间支气管的钙化病灶向外移动,钙化病灶的尖端刺激到支气管粘膜了(图16)。

图16 胸部CT
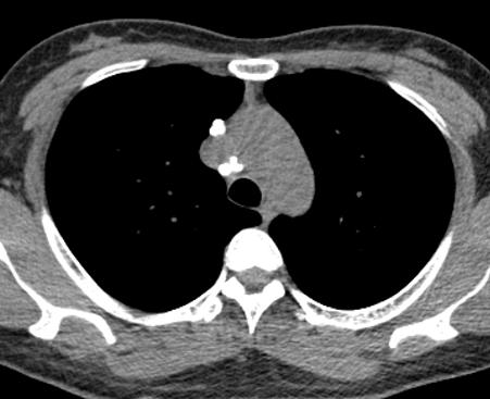
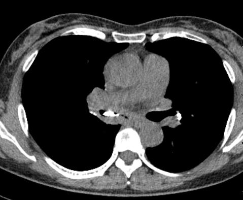
另外,这个患者的钙化灶非常危险,因为钙化灶的一端距离肺动脉才2毫米左右(图17),支气管镜下强行牵拉钙化病灶很可能会大出血危及生命。

图17 胸部CT
明确诊断及治疗都需要支气管镜检查,肿么办?改全麻下行硬质支气管镜检查。
术中见右中间支气管有灰褐色、坚硬、异物样病灶,病灶的根部嵌顿在支气管内(图18),用异物钳不能取出病灶(注意,不能强行牵拉钙化灶,会撕裂血管引起大咯血)。

图18 支气管镜检
改激光烧灼病灶(图19),把病灶尖端弄断,分次取出。

图19 支气管镜检
钙化灶经激光处理后尖端断裂,轻松取出,取钙化灶的根部非常危险,先留置球囊备用止血,然后用异物钳取出(图20),但仍有病灶残留,再取剩余的病灶较危险,家属不同意,遂未取。

图20 支气管镜检
术后患者咳嗽减轻,但仍反复咳出钙化灶。取出的病灶送病理:钙化。支气管结石诊断明确。
支气管结石
纵隔、肺门等处的淋巴结钙化灶,因呼吸、心脏搏动等等各种因素产生的力,在牛顿定律的作用下,钙化病灶穿透支气管的管壁,进入支气管,就是支气管结石。
另外,误吸的异物,时间长了,也会钙化形成结石。
影像学很难诊断,但是发现钙化病灶突入支气管诊断价值较大。
诊断主要靠支气管镜检查,特点是:
①很灰:支气管镜下结石多为灰黄色,或暗灰色、黄褐色、灰褐色等。
②很硬:结石极其坚硬,外观类似异物。
③很暴力:结石会导致剧烈咳嗽、大咯血,支气管镜下暴力取结石,结石会以暴制暴,导致大咯血。
小结:
千万别不拿钙化当回事,表面上人畜无害,一旦它跑到支气管刷存在感,必将天翻地覆。
本文首发:医学界呼吸频道
本文作者:孙丹雄
原标题:《咳嗽一年找不到原因,原来是钙化惹的祸!》