走在路上,前面的人紧急“刹车”,两人不小心相撞会出现什么后果?11岁的男孩小杰前两天刚刚经历了这样一场意外,因上辅导班时与同学意外相撞,小杰发现自己的左眼当即出现了重影的情况,并且左眼眼球也无法正常转动。辗转多处求医,始终未得到有效治疗。经朋友推荐,小杰一家找到山东大学齐鲁医院(青岛)眼科主任许孝义教授。许孝义教授为小杰实施了眶下壁骨折修复术+肌肉嵌顿复位术,手术非常顺利,康复后小杰很快就可以恢复正常的生活。
“真的非常感谢许孝义主任,让我们在青岛家门口就能把这个高难度的手术做了,省去了到外地治疗的奔波。”小杰妈妈说。
5月15日,星期六,像往常一样上辅导班的小杰与同学前后排队走出教室,不料前面的同学突然回头,两人不小心撞上了。同学个子较高,他的鼻子与小杰的左眼撞到了一起,小杰当时就感到非常疼痛,随即出现了眼睛视物重影的情况。小杰妈妈说:“下午我去接他时,孩子说眼睛不舒服,我立刻带他去附近的医院挂了急诊,拍了CT片子,当时医生说是眼眶骨折。”

CT片显示,小杰的眼眶眶壁骨折,并且肌肉嵌到了骨缝里

小杰的右侧眼球可以正常转动,但左侧眼球因眶壁骨折后肌肉嵌顿无法正常转动
在小杰妈妈看来,伤到的是眼睛,孩子还小,为了不影响视力,既然是骨折,希望孩子能够早日接受修复治疗,然而,医生接下来的话让她意识到了事情可能比想象中要复杂,“医生说,除了眼眶骨折,还有一小部分肌肉嵌在了骨折的骨缝处,加大了手术难度,在青岛目前可能无法完成这类手术,建议我们去北京治疗。”
家在青岛的小杰和父母还是希望能够就近接受治疗,方便照顾,避免奔波。为了能尽快就近接受治疗,小杰妈妈又带着儿子来到岛城一家眼科专科医院,因为修复手术涉及到丰富的血管和多束神经,手术难度较大,为了安全着想,医生建议小杰到有能力完成手术的综合医院眼科进行治疗。
山东大学齐鲁医院(青岛)眼科主任许孝义教授,是山东省内为数不多的可以完成小杰手术的专家,开展外伤导致的眼眶修复手术20余年以来,许孝义教授已经成功为一百余位患者实施了此类手术,患者术后均恢复良好。

术后第二天,小杰的左眼已经恢复上转

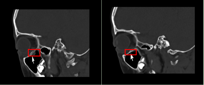
小杰术前(左)术后(右)对比图,嵌入到骨缝里的肌肉功能术后已恢复
小杰的左眼眶下壁骨折,且有肌肉嵌顿在骨折的骨缝处,造成了眼球活动受限。这类手术视野狭窄,眶壁下血管丰富,神经密布,难度较大,要求医生有极高的手术技巧和丰富的手术经验。与此同时,在骨折后没有出血的情况下,越早接受手术对患者恢复越有利。经过详细的检查,小杰的手术被安排在5月19日下午,经过40多分钟的手术,许孝义教授团队成功为小杰修复了眶壁骨折,释放了嵌顿的肌肉。目前小杰正在医生的指导下进行进一步治疗,预后情况良好。
许孝义教授提醒:一般来说,没有大量出血的情况下,眶壁骨折后发生肌肉嵌顿,半个月内进行手术效果最好,越早手术越有利于患者恢复。然而,因为有的眶壁骨折没有明显的外伤痕迹,儿童表达能力又相对有限,出现了视物重影也无法准确描述,当他们出现恶心、呕吐,单边眼球无法正常转动等症状时,父母应及早带孩子到正规医院就诊咨询。眶壁骨折后如不尽快接受正规治疗,随着时间的推移,可能会出现斜视、眼球凹陷等情况。
专家简介


许孝义,教授,主任医师,硕士研究生导师,眼科主任。
兼任中华医学会山东眼科分会副主任委员、眼整形眼眶病学组组长、白内障学组委员;山东医师协会眼科分会副主任委员;山东省眼科质量控制中心副主任委员;中国康复医学会专委会委员;山东省老年医学学会糖尿病眼病专业委员会名誉主任委员;山东省疼痛医学会眼科专业委员会名誉主任委员。
从事眼科各专业疾病的诊断和治疗三十余年,是山东省早期开展白内障超声乳化手术医生,擅长白内障超声乳化及人工晶体植入术、眼睑肿瘤切除及矫形、眼眶肿瘤的诊断与治疗、眼眶骨折的修复、眼科其它常见疾病和复杂疾病的诊断与治疗。
坐诊时间:周一上午、周三上午