原创 CHENG KT 医学界消化肝病频道
仅供医学专业人士阅读参考

急性胆囊炎是临床常见的急腹症,胆结石是引起急性胆囊炎的最常见原因。然而,有时临床上可能遇到影像学可见胆囊明显炎症、可确诊急性胆囊炎的患者,但胆囊或胆管内并无胆结石,小肠内也未见胆结石引起胆石性肠梗阻的征象。
那么,对于这种无胆结石的急性胆囊炎,该如何“投石问路”呢?以下我们先来看Hariz A等在BMJ Case Rep杂志中撰文报道的一则案例[1]。
不同寻常的急性非结石性胆囊炎
这是一位既往有过敏性哮喘的23岁女性,因发热、虚弱、弥漫性腹痛和盗汗10天入院。体格检查示体温39℃,全腹弥漫性压痛,右上腹为著。余查体无殊。
实验室检查示白细胞水平降至1.8×109/L(正常值4-10×109/L),淋巴细胞水平降至0.37×109/L,血红蛋白和血小板计数正常。C反应蛋白升至33 mg/L,红细胞沉降率升至48 mm/h。
此外,谷草转氨酶和谷丙转氨酶分别升至160 UI/L、230 UI/L。尿液分析、肾功能、血脂肪酶和胆红素正常,无胆汁淤积的证据。抗核抗体阴性。
医生高度怀疑感染,但血培养、肝炎血清学(乙型/丙型肝炎、EB病毒和巨细胞病毒)结果均呈阴性。痰检查未发现抗酸杆菌。
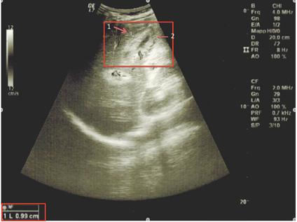
此外,患者的胸片正常。腹部超声显示胆囊壁厚12 mm,胆囊壁回声不均,但胆囊体积不大,其内未见结石。肝内外胆管未见扩张,有少量腹腔积液。

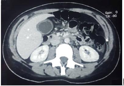
超声可能看不清结石,或者结石太小?然而,患者进一步接受腹部CT,结果显示胆囊壁增厚、胆囊体积增大,伴肝肿大,密度均匀。由此可见,急性胆囊炎毋庸置疑,但CT依然未发现结石!

追问病史,患者曾摄入未消毒乳制品,鉴于当地布氏杆菌病似乎有死灰复燃的趋势,
医生安排了布氏杆菌血清学检查(试管凝集试验),结果呈阳性(1/180)。因此,患者的最终诊断为急性布氏杆菌病并发急性非结石性胆囊炎。
患者每天服用多西环素200 mg和利福霉素15 mg/kg/d治疗6周,未接受胆囊切除术。患者的发热、腹痛逐渐消失,肝功能恢复正常。服用抗生素2周后复查腹部超声示胆囊体积、胆囊壁均未见异常,腹腔积液消失。
急性非结石性胆囊炎的流行病学与诊断
急性非结石性胆囊炎约占急性胆囊炎病例的5%。男性和女性发病率无异,但外科手术后男性更易发生急性非结石性胆囊炎[2-3]。
与结石性胆囊炎中结石阻塞胆囊管的机制不同,非结石性胆囊炎的发病机制主要是胆囊排空功能障碍或动力功能异常。急性非结石性胆囊炎有多种可能的病因,其发病可能是在多因素共同作用下的结果,包括个体胆汁淤积后对定植菌的易感性增加。
急性非结石性胆囊炎的病因主要包括胆囊解剖异常(胆囊管狭窄)、胆囊管外压性梗阻、胆囊动脉血栓形成、全身或局部感染等。
急性非结石性胆囊炎最常见于高龄、脑血管意外和危重患者,后者包括创伤、手术、休克、烧伤、脓毒症、全肠外营养和/或长期禁食的患者。低血容量、免疫功能低下、糖尿病、高血压、动脉粥样硬化疾病、肥胖、系统性红斑狼疮等慢性病也是急性非结石性胆囊炎的危险因素[3-5]。
急性非结石性胆囊炎与急性结石性胆囊炎的临床表现大致相同,其诊断可基于腹部超声和CT检查中发现的胆囊壁水肿增厚(超过3.5-4 mm)和胆囊周围积液。

肝胆亚氨基二乙酸(HIDA)闪烁扫描有利于检测胆囊功能。胆汁排泌分数下降(≤35%)可能提示胆囊排空功能低下。
与更常见的结石性胆囊炎相比,非结石性胆囊炎引起胆囊穿孔和坏疽等并发症的风险更高,严重者可危及生命,其死亡率为10%[2,5]。
在条件允许的情况下,胆囊切除术通常被视为急性非结石性胆囊炎的根治方案。然而,由于急性非结石性胆囊炎常见于危重患者,此时患者可能需要先采用抗生素、经皮胆囊造瘘术、内镜下支架植入术等相对保守的治疗方案[4]。
急性非结石性胆囊炎与感染病因
感染是急性非结石性胆囊炎的常见病因,其中细菌感染最多见。目前布氏杆菌病、Q热、钩端螺旋体病、肺结核、恙虫病、沙门氏菌病、霍乱均有报道。
布氏杆菌病是世界上最普遍的人畜共患病,每年新增50万例[1]。经口摄入未消毒生奶酪和生牛奶或受污染食物是重要的感染途径。急性布氏杆菌病引起的消化系统症状常包括恶心、呕吐、便秘和腹泻,肝脏受累常见,但该病罕见并发急性非结石性胆囊炎。
布氏杆菌病并发急性非结石性胆囊炎的发病机制尚未明确。由于胆囊切除术后的胆汁培养中可分离出布氏杆菌,胆囊壁增厚可能与布氏杆菌侵袭胆道细胞有关。发生菌血症期间布氏杆菌亦可能经淋巴或血液传播。
抗生素治疗后布氏杆菌病患者的预后良好,这类患者通常无需进行胆囊切除术。用药方案为多西环素6周+利福平6周/氨基糖苷类(链霉素或庆大霉素)2周[1]。
除了细菌感染,急性非结石性胆囊炎也与病毒(巨细胞病毒、EB病毒、登革热病毒、HIV病毒)、真菌(念珠菌)、寄生虫(肝吸虫、微孢子虫、疟原虫、曼氏血吸虫)等感染有关。
Poddighe D等曾在BMJ Case Rep杂志中报道另一例原发性EB病毒感染并发严重肝炎和急性非结石性胆囊炎的7岁女孩。作者指出,一旦有证据证实急性非结石性胆囊炎是由EB病毒或其他病毒感染所致,即可安全停用抗生素。对于EB病毒感染引起的急性非结石性胆囊炎患者,需要定期接受腹部超声随访,以确定患者完全治愈[6]。

综上所述,急性非结石性胆囊炎较为少见,因此临床医生对该病的诊疗方案相对陌生。及时借助影像学检查,急性非结石性胆囊炎的诊断并不困难。然而,对于怀疑感染所致者,确定病原学并非易事,非典型细菌或病毒感染相关急性非结石性胆囊炎的处理可能更具挑战性。
另一方面,急性非结石性胆囊炎并发胆囊穿孔、坏疽甚至死亡的风险较高,这就需要临床医生提升对该病的认识,在经验性使用抗生素治疗胆囊炎的效果不佳时,应考虑到非典型病原体的可能,并及时调整“投石问路”的诊疗策略。
参考资料:
[1]Hariz A,Beji I,Hamdi MS,Cherif E.Brucellosis,an uncommon cause of acute acalculous cholecystitis:two new cases and concise review.BMJ Case Rep.2019 Sep 6;12(9):e229616.doi:10.1136/bcr-2019-229616.PMID:31494582;PMCID:PMC6731780.
[2]Jones MW,Ferguson T.Acalculous Cholecystitis.[Updated 2021 Feb 8].In:StatPearls[Internet].Treasure Island(FL):StatPearls Publishing;2021 Jan-.
[3]Halpin V.Acute cholecystitis.BMJ Clin Evid.2014 Aug 20;2014:0411.PMID:25144428;PMCID:PMC4140413.
[4]Huffman JL,Schenker S.Acute acalculous cholecystitis:a review.Clin Gastroenterol Hepatol.2010 Jan;8(1):15-22.doi:10.1016/j.cgh.2009.08.034.Epub 2009 Sep 10.PMID:19747982.
[5]Gu MG,Kim TN,Song J,Nam YJ,Lee JY,Park JS.Risk factors and therapeutic outcomes of acute acalculous cholecystitis.Digestion.2014;90(2):75-80.doi:10.1159/000362444.Epub 2014 Sep 4.PMID:25196261.
[6]Poddighe D,Cagnoli G,Mastricci N,Bruni P.Acute acalculous cholecystitis associated with severe EBV hepatitis in an immunocompetent child.BMJ Case Rep.2014 Jan 13;2014:bcr2013201166.doi:10.1136/bcr-2013-201166.PMID:24419637;PMCID:PMC3902339.
本文首发:医学界消化肝病频道
本文作者:CHENG KT
本文审核:杨卫生 景德镇市第二人民医院副主任医师
责任编辑:Mary
未知来源的下消化道出血,怎么处理?
3分钟学会,快点击查看:
版权申明
本文原创 如需转载请联系授权
- End -
原标题:《确诊急性胆囊炎,CT却未发现结石?遇到无结石的急性胆囊炎,怎么处理?》