超声深夜急会诊

3月1日晚9点45,一阵急促的电话铃声,打破了超声科值班室的宁静。“消化科马上有一例急腹症患者前来介入会诊,请立刻在介入室开机并做好术前准备工作。”超声科介入团队立即启动夜间介入急诊应急响应。


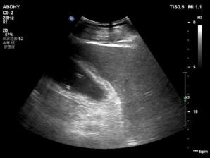
超声科介入室外,患者家属在紧张的等候着,超声介入会诊室内呼吸与重症医学科戚刚强主任、消化科卢王主任、张排旗主任、张蓉主任、外科郭琪医师、超声科黄毅主任在进行会诊。患者老年男性,2月25日收入我院消化科。现患者进行性腹痛4天,高热、寒战并加重2天,(转移性右上腹呈绞痛,墨非氏征阳性,血常规白细胞升高,胆红素升高,糖尿病,注射抗生素效果不佳。)腹部超声检查时超声显示可见胆囊肿大明显,其内液区欠清,胆汁淤积伴脓性细小光点漂浮,有分层,胆囊壁水肿增厚,胆囊颈部可见结石回声,最大径2.2cm,不随体位改变移动。考虑急性化脓性胆囊炎、胆结石嵌顿于胆囊颈。现患者处于急性炎症期,不宜手术切除胆囊,建议先行PTGD术(经皮经肝胆囊穿刺置管引流术)缓解症状,等待情况稳定,炎症控制后,择期手术切除胆囊。

成功实施胆囊置管术

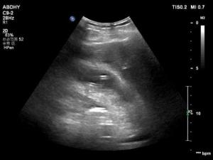
在家属协商,充分告知并签署知情同意书后,晚11点超声介入团队黄毅主任和王思翰医师为患者在超声科介入室进行了超声引导下经皮经肝胆囊穿刺置管引流术。过程顺利,术中抽出灰黄色浑浊液体约70ml,术后患者腹痛症状明显减轻,安返病房。

延伸阅读:
急性胆囊炎小知识

近年来,随着国人的饮食习惯的改变,城市人的胆囊结石发病率明显升高。急性胆囊炎是胆囊的急性化脓性炎症,80% 伴有胆囊结石,是临床常见的急腹症之一。临床上主要表现为右上腹持续性疼痛,呈阵发性加剧,可放射到右侧肩背部;患者多同时伴有恶心、呕吐、发热等症状,但是很少见到寒战及黄疸症状。病情轻的单纯性胆囊炎可选用药物治疗; 对于化脓性或坏疽性胆囊炎应及时手术治疗,但是由于急性胆囊炎患者在急性炎症期时胆囊常出现充血、水肿以及解剖不清等情况,所以进行腹腔镜胆囊切除术时易转为开腹手术,而且在术中容易损伤胆管及血管,同时还有可能伴有严重的肝脏出血等并发症,难以进行有效控制,因此既往多不建议在急性炎症期实施腹腔镜胆囊切除术。

急性胆囊炎主要是因胆囊管梗阻,引起胆囊内胆汁淤积,大量细菌繁殖,黏膜充血水肿所引起。假如胆囊管梗阻无法及时有效地缓解,病变会累及到整个胆囊壁,导致囊壁增厚、血管扩张、浆膜渗出,很容易引起胆囊穿孔或者坏死。因此,积极处理胆囊管梗阻、胆囊内胆汁淤积是急性胆囊炎治疗的关键。超声引导下实施PTGD术(经皮、肝胆囊穿刺置管)治疗急性胆囊炎具有操作简便、创伤小的优点,尤其适合需要进行紧急手术的治疗,能够很好地发挥超声实时可视,直视穿刺针的效果,并且创伤小、花费少、安全性较高。通过肝脏胆囊引流,具有避免引流管脱出、胆瘘的作用,能快速缓解胆管压力,最大限度地缓解患者的临床症状和急性体征。引流的胆汁可用于细菌学检查及药敏试验,指导临床合理用药,有效避免气管插管、手术麻醉以及开腹等引起的风险,提升临床治疗效果。
坚强有力的超声科团队

西安市胸科医院超声科介入团队结合医院转型,满足新引进唐都消化科技术团队临床工作需要,现可行超声引导下ERCP(经内镜逆行胰胆管造影术)、超声引导下PTCD(经皮、肝穿刺胆道引流术)、超声引导下PTGD(经皮、肝穿刺胆囊引流术)、超声引导下经皮肝静脉穿刺鞘管置入联合大C胃底静脉曲张硬化术、超声引导下胃肠道病变穿刺活检术、超声引导下肝脏病变穿刺活检及硬化介入微创治疗、超声引导下胰腺及腹膜后病变穿刺活检及介入微创治疗等多项消化系统三级手术技术,已为数十余位患者提供了安全高效的超声微创介入治疗医疗服务,获得了患者的认可与称赞。

来源:西安市胸科医院
原标题:《急性化脓性胆囊炎抗炎无效又不能手术怎么办?超声引导胆囊穿刺置管帮您忙!》