*仅供医学专业人士阅读参考

今天我们一起来看看一个病例。
01
反复意识丧失的女患者
患者女,60岁,因“反复意识丧失1天”于2019年10月17日入院。
患者入院1天前无明显诱因反复出现意识丧失,持续1-2分钟后意识自行完全恢复,无肢体抽搐、口吐白沫、大小便失禁,无黑朦、面色苍白,无复视、偏侧肢体麻木及无力。
为求诊治至我院门诊就诊,门诊查颅脑CT示“左侧颞叶软化灶”,为进一步诊治门诊收入我科。
患者否认高血压、糖尿病等慢性疾病史,2012年因腹部良性肿瘤行手术治疗。否认家族史、否认不良嗜好。
生命体征无异常:T 36.2℃,P 71次/分,R 18次/分,BP 139/71mmHg。
查体未见明显异常:神志清晰,构音清晰,双侧瞳孔等大等圆,对光反射灵敏,鼻唇沟对称,伸舌居中,颈软,四肢肌张力正常,四肢肌力5级,双侧躯体感觉正常,双侧腱反射正常,双侧巴氏征阴性,双侧克氏征阴性。
心律齐,未闻及杂音。双肺呼吸音清,未闻及干湿性啰音。腹部可见手术疤痕,腹软,未及压痛、反跳痛。
02
可能引起短暂性意识丧失的疾病
晕厥
指一过性全脑血液低灌注导致的短暂意识丧失,特点为发生迅速、一过性、自限性并能完全恢复,是短暂性意识丧失最常见的病因,多数患者由于意识丧失发生迅速,来不及有预防动作而多有跌伤。
那引起晕厥的常见疾病有哪些呢?分为三大类:
① 神经介导的反射性晕厥
血管迷走性晕厥
多见于瘦弱体格的青少年。诱因包括长时间站立、情绪激动、恐慌、疼痛等,尤其易发生在闷热的车厢、浴室等。可伴有典型表现:出汗、面色苍白、恶心呕吐等。
情境性晕厥
咳嗽、喷嚏、胃肠道刺激、排尿、大笑等诱发的晕厥。
颈动脉窦性晕厥
多见于40岁以上男性,常因衣领过紧、转头等动作诱发晕厥。
② 体位性低血压及直立不耐受综合征
多发生于体位变化时,可有自主神经功能不全的病史,如糖尿病、帕金森,应用降压药、利尿药等。
③ 心源性晕厥
可有明确心脏结构或节律异常的病史,可有猝死家族史,晕厥多发生于运动或用力过程中,发生突然,晕厥前可有心悸症状,晕厥后摔伤常较重。
注:血管迷走性是最常见的病因,其次为心源性。住院的老年患者中心源性晕厥发病率较高。体位性低血压所致的晕厥多见于老年人。反射性晕厥是年轻人中最常见的病因。
晕厥的病因检查:卧立位血压(体位性低血压);直立倾斜实验(血管迷走性晕厥);动态心电图、心脏彩超(心源性)。
癫痫
部分癫痫患者意识丧失的同时会伴肢体抽搐、 舌咬伤及尿失禁。即便是失神发作,也伴有发呆,部分患者会机械重复原有的简单动作。行脑电图检查有助于诊断。
假性发作
是由心理因素引起的功能性发作,临床表现可类似于癫痫或晕厥,但与癫痫或晕厥发作不同的是,假性发作时眼睛总是闭着的,且创伤出现的几率更少。行脑电图检查有助于诊断。
椎基底动脉短暂性脑缺血发作
椎基底动脉短暂性脑缺血发作(TIA)引起的意识丧失多合并脑干症状,如:眩晕、肢体无力、共济失调、复视、吞咽困难及构音障碍等,仅引起意识丧失的情况罕见。行颅脑磁共振检查有助于诊断。
发作性睡病
是一种原因不明的慢性睡眠障碍,好发于10-30岁,临床上以日间出现日间嗜睡、猝倒发作、睡眠瘫痪以及睡眠幻觉四大主征为特点。行多导睡眠图检查有助于诊断。
03
通过检查进一步找明病因
入院后完善相关辅助检查:
卧立位血压:137/79 mmHg(卧位)、129/72 mmHg(立位)。
尿常规、大便常规正常。血常规:红细胞数目 3.35×1012/L,血红蛋白 110g/L,血小板数目 350×109/L。
糖化血红蛋白、肝肾功能、电解质、心肌酶谱、凝血功能正常。血脂:总胆固醇 4.21 mmol/L,甘油三酯 2.02 mmol/L,低密度脂蛋白 2.54 mmol/L。
心脏彩超:左室舒张功能减退。颈动脉彩超示:双侧颈动脉硬化伴斑块形成。
动态心电图:1.窦性心律;2.偶发房性早搏,成对房性早搏,短阵房速;3.偶发室性早搏;4.心率变异性降低。
动态脑电图示:正常范围脑电图。
颅脑MRA:

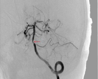
脑血管造影:

最后终于诊断出:椎基底动脉TIA、基底动脉狭窄、右侧大脑中动脉狭窄。
治疗:患者拒绝血管内介入治疗,经阿司匹林+氯吡格雷双联抗血小板聚集、阿托伐他汀强化调脂等治疗后患者未出现短暂性意识丧失发作。
04
总 结
临床上,引起短暂性意识丧失的常见疾病主要为晕厥和癫痫,但也不能忽视椎基底动脉短暂性脑缺血发作。椎基底动脉系统为延髓、小脑、脑桥、中脑、丘脑及枕叶供血,其大血管闭塞通常可导致严重残疾或死亡。
因此,若遇到短暂性意识丧失的患者,可完善卧立位血压、心脏彩超、动态心电图、动态脑电图、颅脑MRI+MRA等检查以查找病因。
另外,需要注意的是,椎基底动脉短暂性脑缺血发作引起的意识丧失多合并脑干症状,仅引起意识丧失的情况罕见。
中脑症状:动眼神经麻痹及垂直凝视麻痹。
脑桥症状:展神经麻痹、水平凝视麻痹及面神经麻痹。
延髓症状:同侧面部痛温觉消失、Horner 征、同侧共济失调、对侧痛温觉消失、同侧舌肌、软腭、声带或胸锁乳突肌无力麻痹。
理想情况下,对于椎基底动脉短暂性脑缺血发作的患者均应进行卒中单元治疗,反复出现意识丧失,还应进行ICU治疗。MRI较CT对缺血更为敏感,DWI更可发现急性期病灶,DSA是明确血管情况金标准。
参考文献:
[1]Van Dijk J G , Thijs R D , Benditt D G , et al. A guide to disorders causing transient loss of consciousness: focus on syncope[J]. Nature Reviews Neurology, 2009, 5(8):438-448.
[2]刘文玲, 胡大一, 郭继鸿,等. 晕厥诊断与治疗中国专家共识(2014年更新版)[J]. 中华内科杂志, 2014, 53(11):916-925.
[3]刘俊艳.一过性意识丧失的病因识别及处理[J].临床荟萃,2016,31(10):1143-1143.
[4]吴江,贾建平.神经病学(第3版)[M].北京:人民卫生出版社,2015.
本文来源:医学界神经病学频道
本文作者:清风无影
责任编辑:陆离先生
版权申明
本文原创 欢迎转发朋友圈
- End -