原创 上海公卫呼吸重症 医学界呼吸频道 收录于话题#呼吸保卫战14个
仅供医学专业人士阅读参考

《呼吸保卫战》第14期来了!
病例简介
▍基本信息
患者,男,60岁,因“反复干咳伴气急8月余”于2020.10.15收治入院。
▍现病史:
患者2020年2月无明显诱因出现干咳伴气急,活动后加重,休息时缓解,患者无咳痰,无咯血,无发热畏寒,无明显食欲下降。至当地医院就诊,胸片提示左侧液气胸,行胸腔穿刺引流术后气急症状改善。9月份患者再发干咳、气急,至当地医院就诊,胸片示左侧液气胸,再次行胸腔穿刺引流术后症状好转。
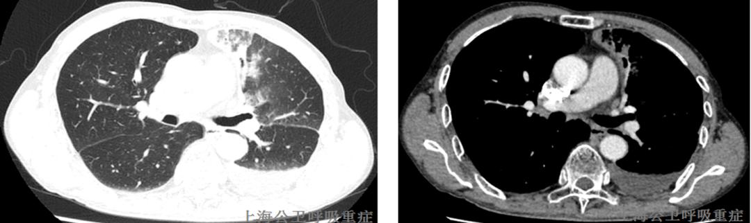
2020-10-02行胸部CT示:左侧气胸,左肺压缩约10%;左上肺结节,左下肺炎症,左侧胸腔积液,予口服左氧氟沙星抗感染治疗后症状无改善。2020-10-12外院复查胸部CT示:左肺散在感染灶可能,左侧液气胸,双肺尖胸膜下少许肺大泡。2020.10.15至我院就诊,门诊以“肺部感染伴液气胸”收入我科。
▍既往史及个人史:
既往体健,否认相关病史。
吸烟史35年,平均10支/天。
体格检查:左肺呈过清音,未闻及干湿性啰音。双下肢无水肿。
初步诊断及治疗:肺部感染伴液气胸,予头孢哌酮舒巴坦抗感染及化痰、平喘等对症治疗。
▍入院后检查:(2020.10.16)
血气分析示:血氧分压9.05 KPa↓,标准碳酸氢根26.2 mmol/L↑,氧合血红蛋白93.00%↓;
血常规示:白细胞(WBC)9.11×109/L,血小板(PLT)244×109/L↑,嗜酸性粒细胞百分比(EO%)32.20%↑,嗜碱性粒细胞绝对数(BA)0.20×109/L↑,嗜酸性粒细胞绝对数(EO)2.93×109/L↑,单核细胞绝对数(MO)0.70×109/L↑;
肝肾功能示:乳酸脱氢酶(LDH)298.00 U/L↑,白球比例1.10%↓,肌酐(Cr)54.10 μmol/L↓,谷胱苷肽还原酶测定77.46 U/L↑,载脂蛋白B 1.28 g/L↑;
免疫指标:免疫球蛋白E 928.00 IU/ml↑,免疫球蛋白G 17.60 g/L↑,类风湿因子36.90 IU/ml↑;抗核抗体阳性(1:80)P;
常规微生物检验报告:真菌D-葡聚糖检测188.47 pg/ml↑;
凝血指标、肿瘤指标、甲状腺功能未见异常。
2020.10.20行电子支气管镜检查,于左下叶外后基底段刷检,灌洗送检。
2020.10.21支气管镜肺泡灌洗液及支刷物检查示抗酸杆菌、分支杆菌、真菌等相关检查未见异常。
2020.10.21行CT引导下经皮肺穿刺活检。
2020.10.22胸部CT增强示:左上肺尖后段、左上肺前段、左下肺前基底段及外基底段实性结节,左肺散在炎症,左侧胸膜局灶性增厚,左侧胸腔少量积液,左下肺部分膨胀不全;MT待排,请结合临床并进一步检查。左侧肺门淋巴结肿大。两上肺胸膜下小肺大泡。




2020.10.24灌洗液培养示“大肠埃希菌”,对头孢哌酮舒巴坦中介,对美洛培南敏感,治疗上停用“头孢哌酮舒巴坦”,更换为“美罗培南”抗感染治疗。
2020.11.04肺组织活检,病理诊断:(左肺穿刺)大量嗜酸性粒细胞浸润及局灶坏死,抗酸染色(-),PAS染色(-)。
结合患者症状、体征、血检验、影像学检查、肺组织活检病理,考虑嗜酸粒细胞性肺炎。予激素“甲泼尼龙”28mg/日口服治疗。
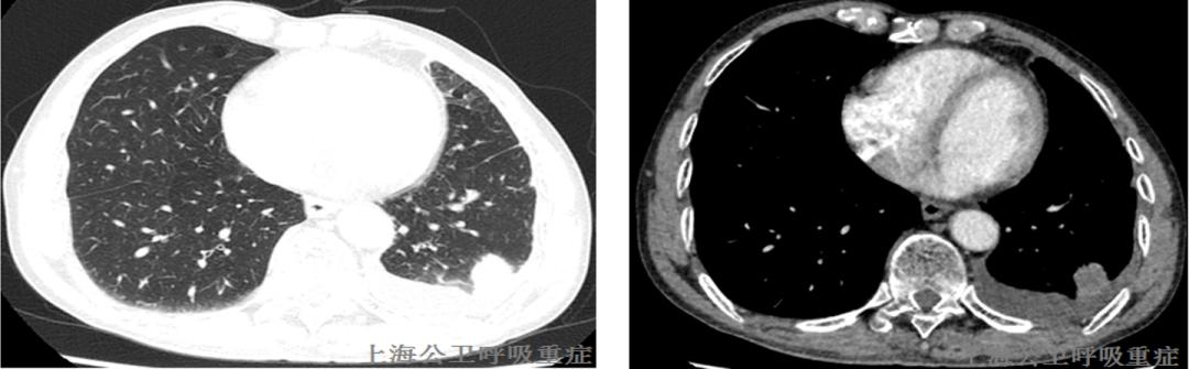
2020.11.30复查胸部CT示:左肺上叶尖后段、左肺下叶外基底段及前内基底段实性结节;左肺少许炎症;左侧少量胸腔积液;左侧胸膜增厚;较前2020-11-26片,左肺下叶前内基底段病灶略减小,左肺下叶外基底段新发实性结节,左侧胸腔积液略增多,左肺上叶尖后段病灶相仿。左肺门淋巴结肿大,与前片相仿;两上肺胸膜下小肺大泡。气管右后方增厚软组织影,建议颈部MRI增强检查。

2020.12.01颈部CT增强示:右侧喉部软组织占位,两侧颈部多发肿大淋巴结,部分融合——考虑MT伴颈部淋巴结转移可能大,请进一步检查。

2020.12.02局麻下行经超声引导下颈部淋巴结穿刺术,术后病理报告:“右侧颈上部淋巴结穿刺”,见低分化癌组织转移,倾向鳞癌。
患者转至外院肿瘤科进一步行放化疗。
随访资料如下:
PET-CT(2020-12-18)结果提示:1、喉咽部团块伴FDG代谢增高,考虑恶性病变伴病灶周围、双侧颈部多发淋巴结转移。2、双肺肺气囊,左肺多发实性班片灶,FDG代谢增高,建议抗炎治疗后复查,双肺散在斑点、斑片灶、双侧肺门及纵隔淋巴结炎性增生可能。
血常规示(2020.12.26):WBC 7.2×109/L,PLT 221×109/L↑,EO% 13.10%↑,BA 0.22×109/L↑,EO 1.89×109/L↑,MO 0.75×109/L↑;
免疫指标:免疫球蛋白E 328.00 IU/ml↑。
★ 专家点评
上海市公共卫生临床中心呼吸与重症医学科唐海成主任
嗜酸粒细胞性肺炎(EP)是一种以肺部嗜酸粒细胞浸润伴有或不伴有外周血嗜酸粒细胞增多为特征的临床综合征,临床上发病率低,目前已知原因的疾病有Loeffler综合征、热带肺嗜酸粒细胞增多、变异性支气管肺曲霉菌病、药物或毒素诱发;不明原因的疾病包括急性嗜酸粒细胞性肺炎、慢性嗜酸粒细胞性肺炎(CEP)、变应性肉芽肿血管炎等。
CEP的发病原因不明,由于缺乏特异性表现,易误诊为肺炎、肺结核、肺癌等。该患者老年男性,慢性病程,以反复气急,左侧液气胸就诊入院,胸部CT提示左肺多发结节伴炎性渗出,入院后检查血嗜酸性粒细胞、IgE明显升高,经肺穿刺病理提示嗜酸性粒细胞浸润,确诊为嗜酸粒细胞性肺炎。CEP最常发生于中年女性,呈现亚急性或慢性病程,在数周或数月内出现呼吸困难、咳嗽、气喘等症状。典型胸片表现为肺外带的致密肺泡渗出影,中心带清晰,渗出性病变多位于上叶。80%的患者有外周血嗜酸粒细胞增多,血清IgE增高也常见。
尽管嗜酸性粒细胞的作用机制尚未完全阐明,但其在肺部等组织募集、活化是导致组织损伤的关键因素。嗜酸粒细胞一方面被认为是参与抗寄生虫感染、调节Ⅰ型超敏反应等过程中的重要免疫细胞,嗜酸粒细胞表达细胞膜信号分子及受体,进而与嗜碱粒细胞、内皮细胞、巨噬细胞等相互作用参与自然免疫。同时,嗜酸粒细胞与T淋巴细胞等多种细胞相互作用,参与对抗细菌、病毒、肿瘤的获得性免疫。另一方面,嗜酸粒细胞可释放多种毒性颗粒及炎性介质,引起一系列病理生理反应。活化的嗜酸粒细胞脱颗粒并释放花生四烯酸衍生介质、金属蛋白酶、氧自由基等因子,进而通过细胞毒作用、上调趋化因子、调节血管通透性等促炎症发生。
目前EP的治疗首选糖皮质激素,如果嗜酸性粒细胞极度增多,应同时给予别嘌呤醇。EP的预后良好,死亡率非常低。单纯EP导致的死亡率尚无报道。服用糖皮质激素的副作用及其他原发疾病是导致死亡的主要危险原因。
上海市公共卫生临床中心呼吸与重症医学科吴庆国主任
嗜酸性粒细胞增多是指组织和(或)外周血中嗜酸性粒细胞数量的增加,按其增多程度可分为轻度(AEC<1.5×109/L)、中度[AEC(1.5~5.0)×109/L]和重度(AEC>5.0×09/L)。嗜酸性粒细胞增多可见于感染性疾病,过敏性疾病,自身免疫性疾病,特发性疾病,恶性疾病等。近年来有关于恶性肿瘤相关的血嗜酸性细胞增多大部分为个案报道,发生率为0.5%~1%,主要发生在肺癌、消化系统肿瘤、颈部肿瘤、肾肿瘤等,
该患者入院后通过病史询问排除过敏性疾病;无皮疹和胃肠道症状,无发热、盗汗、瘙痒等症状,排除自身免疫及感染性疾病;常规实验室检查排除了血液系统肿瘤;并详细询问旅游史,排除寄生虫等感染的可能。通过颈部淋巴结穿刺细胞学及PET-CT检查确诊为咽部恶性肿瘤。
恶性肿瘤会导致嗜酸性粒细胞增多,目前研究发现的最主要的机制是肿瘤细胞分泌IL-3、IL-5、粒细胞巨噬细胞集落刺激因子(GM-CSF)、嗜酸粒细胞趋化因子(eotaxin)等多种细胞因子,刺激骨髓中的祖细胞加速分化成嗜酸粒细胞;同时组织对血循环中的IL-5、eotaxin等产生免疫应答,导致嗜酸粒细胞在组织中大量募集。但恶性肿瘤和嗜酸性粒细胞增多的相关性尚不清楚,有相互矛盾的结果报道。一部分支持嗜酸性粒细胞抗肿瘤炎症反应,另一部分支持嗜酸细胞促进血管生成和生长因子的释放,外周血嗜酸性粒细胞数量的增加也可能参与副癌的表现。
恶性肿瘤引起嗜酸性粒细胞增多的治疗以治疗原发肿瘤为主,肿瘤的切除和放疗、化疗均会使嗜酸性粒细胞下降,该患者前期给予糖皮质激素治疗后外周血嗜酸性粒细胞下降不明显,通过全身化疗及颈部放疗后血液嗜酸性粒细胞及IgE逐渐下降。进一步证实恶性肿瘤引起的嗜酸性粒细胞增加及继发的嗜酸粒细胞性肺炎。
恶性肿瘤引起嗜酸性粒细胞增多的具体机制尚不明确,与肿瘤的发生发展及预后的相关性还需要进一步深入研究,引起嗜酸性粒细胞增多的疾病很多,病因复杂,涉及多个学科,在诊断及治疗上都存在一定的困难,需要多学科合作(MDT),从而达到早期诊断及治疗的目的。
本文首发:医学界呼吸频道
本文作者:上海市公共卫生临床中心呼吸与重症医学科团队
原标题:《患者嗜酸性粒细胞增多,当心是癌症!》