原创 杜华阳 医学界消化肝病频道 收录于话题#影像图解6个
仅供医学专业人士阅读参考

遇到腹痛患者,还要考虑这个病因。
临床工作中,经常会遇到因腹痛就诊的患者,尤其是中老年患者,常常有腹痛、腹胀的症状,部分患者还有恶心、呕吐、便秘、消瘦等。按照常规的诊断思路,我们会给患者开常规的生化检查,血尿淀粉酶、肝胆胰脾双肾的超声等,除外腹部炎性改变、胰腺炎、泌尿系结石等最常见的疾病。
但是,有一种疾病,曾让很多医生头疼,因为常规的生化检查难以确认病因,最后只能靠CT检查确诊。希望通过今天的「影像图解」能够让大家认识到这个“不一样”的腹痛病因。
我们先看一个病例:
患者,男性,21岁,右侧腹痛6天,来医院急诊科就诊。无其他既往史、过敏史,外伤史,自述饮食清洁,无暴饮暴食等。
右侧腹痛,我们能想到的常见疾病,肝脏(肝脓肿、肝内胆管结石)、胆囊(胆囊结石、胆囊炎)、右肾(肾结石)、肠道(阑尾炎)等。
于是,急诊科医生开了全血细胞分析、肝功、肾功、尿常规、便常规、便潜血检查,结果都是阴性。
结果分别如下:

全血细胞分析(阴性)

肝功、肾功(阴性)

尿常规(阴性)

便常规+潜血(阴性)
生化检查正常,并不代表患者真的正常。
随后,急诊科医生又开肝胆胰脾双肾右下腹超声检查,除外腹部脏器、阑尾炎可能,结果还是阴性。
遇到这样的患者,相信急诊科医生的内心是崩溃的。生化检查都是阴性,腹部脏器、阑尾炎基本可以除外,但是患者就是腹痛。
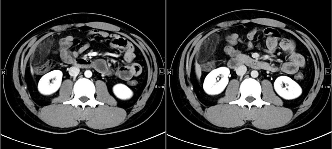
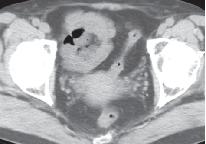
最后,做了腹盆增强CT。典型的图像如下:


上面4图分别为:平扫、动脉期、门脉期、延迟期
影像表现:于升结肠前方可见一不规则团块状脂肪密度影,周围脂肪密度增高,升结肠周围可见饱满淋巴结,邻近肠壁有轻微增厚,无明显脓肿及肠梗阻征象。
诊断:升结肠肠脂垂炎。
认识肠脂垂炎
▎肠脂垂的解剖与血供

肠脂垂的位置
咱们大多数人都吃过猪大肠(没有吃过猪大肠的医生,以后可以找机会吃),结肠的外壁上有很多类圆形脂肪垂,我们的结肠和猪的大肠差不多。肠脂垂是附着于结肠带的脂肪垂,多见于盲肠和乙状结肠,为许多大小不等、形态不定的脂肪小突起,由肠壁浆膜下的脂肪组织聚集而成(上图)。肠脂垂的供血动脉来自结肠动脉边缘支,其小分支进入肠脂垂,而静脉回流至一弯曲且管径窄小的静脉。肠脂垂的血供特点加上肠脂垂内脂肪多而重,末端游动度大,增加了其扭转和梗死机率,从而导致局部缺血引起炎症和周围水肿。

肠脂垂的血供
▎肠脂垂炎
肠脂垂炎是肠脂垂扭转或引流静脉自发性血栓形成,致使肠脂垂脂肪坏死及炎症的疾病。虽然,我们人体中的肠脂垂很多,但肠脂垂炎是一种罕见病,可分为原发和继发性。原发性是由于肠脂垂发生扭转,造成肠脂垂脂肪坏死。继发性,是因为附近的组织炎性反应再侵犯到肠脂垂,而导致后者发生炎症。
从肠脂垂的分布上,乙状结肠、盲肠处有大量的较大肠脂垂,乙状结肠弯曲度大,肠脂垂旋转和扭绞更易发生肠脂垂炎,患者的临床表现为急性下腹痛,常发生于左、右下腹。其临床症状与急性憩室炎或急性阑尾炎相似,原发性肠脂垂炎是一种自限性疾病,并不需要特殊治疗。正是因为原发性肠脂垂炎不需要特殊干预,可以自愈,我们早期诊断,才能避免过度治疗。
▎肠脂垂炎的影像学表现
CT具有高密度分辨率、空间分辨率的优势,是诊断急性肠脂垂炎的常用方法。
肠脂垂炎典型影像学征象如下:
(1)结肠旁结肠系膜邻近肠管旁卵圆形或分叶状脂肪密度病灶,周围可见高密度渗出液。
(2)病灶中央见点状、线状或圆形高密度影。
(3)周围脂肪间隙可见索条状高密度影。
(3)病灶相邻的肠管壁增厚,但较少见。
为了加深同行对肠脂垂炎影像征象的认识,将文献中的图像与大家一起分享。

患者,女性,64岁,以“左下腹疼痛24h,进行性加重”为主诉就诊。平扫示乙状结肠前内侧见卵圆形脂肪密度病灶,周围脂肪间隙模糊,邻近肠壁无增厚。对患者给予头孢地尼胶囊,0.1g口服,3次/d,治疗7d,CT平扫示乙状结肠近端周围渗出性病变完全吸收。

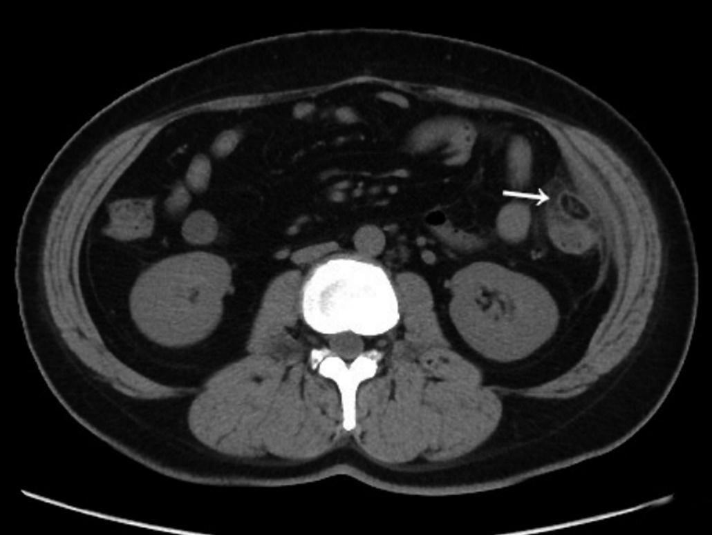
降结肠肠壁的前方、侧方,贴近前腹壁,见卵圆形脂肪密度病灶,边缘呈高密度环,似“戒指”样。

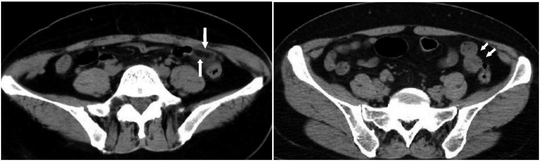
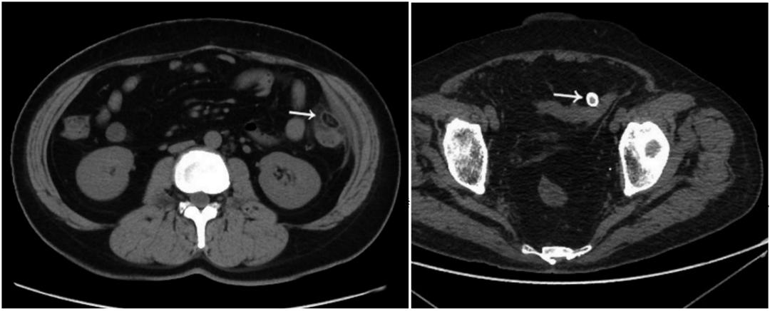
患者,男性,44岁。乙状结肠肠脂垂炎。平扫轴位示乙状结肠近端旁见一直径约11mm稍高密度环影(白线所指处),环壁厚约1.9mm,中央区见点状高密度影。

患者,女性,50岁。乙状结肠肠脂垂炎。CT平扫轴位示乙状结肠旁见一直径约10mm稍高密度环影,环壁厚约2.0mm,稍高密度环影与肠壁间见狭窄的短蒂相连。
▎鉴别诊断
急性肠脂垂炎需与急性肠系膜脂膜炎、急性憩室炎、肠系膜纤维瘤病、累及到网膜的转移瘤及网膜梗死相鉴别。
其中,最需要鉴别的是急性肠系膜脂膜炎与急性憩室炎。
(1)急性肠系膜脂膜炎:急性肠系膜脂膜炎病灶范围较大,CT平扫可见局限性脂肪密度增高影或肿块影(位于系膜区,大部分小肠系膜,也可以是结肠系膜),病灶包绕但不侵犯肠系膜血管,可形成“假肿瘤包膜征”、“脂肪晕环征”;而急性肠脂垂炎呈与肠管相连、范围较小的局灶性病灶,一般不累及小肠系膜。

上图是非常典型的肠系膜脂膜炎CT图像。CT平扫病灶位于小肠系膜,推挤周围肠管,密度明显高于腹膜后正常脂肪密度,呈脂肪性包块,包绕肠系膜血管,弯箭所示包块边缘,直箭所示“小结节”及其周围“脂环征”。
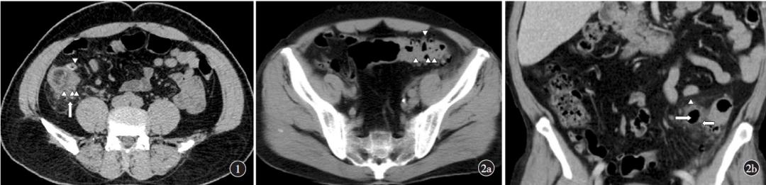
(2)急性憩室炎:患者常有发热、恶性呕吐表现,血常规检测可见白细胞计数增高;CT扫描示结肠憩室周围炎症渗出,邻近肠壁可有增厚,偶可见结肠周围的游离气体影或积液及脓肿等征象。

图①病例:患者,男性,50岁,CT轴位示回盲部多发憩室(三角箭),邻近肠壁增厚,憩室周围脂肪密度增高、筋膜增厚(长箭),手术病理证实为急性阑尾炎合并回盲部多发憩室炎。
图②病例:患者,男性,63岁。②a:CT轴位示乙状结肠多发憩室(三角箭);②b:CT冠状位重组示乙状结肠系膜侧憩室(三角箭),周围脂肪密度增高(长箭),憩室周围积气(短箭)。
除了上面肠系膜脂膜炎、急性憩室炎的鉴别外,尚需要与下面3种疾病鉴别。由于肠系膜纤维瘤病、网膜转移瘤等疾病病情复杂,从影像学上鉴别相对困难,仅做简单介绍。
(3)肠系膜纤维瘤病:可发生在结肠系膜,但多呈单发实性肿块,肿瘤可浸润肠管、血管等周围组织。
(4)网膜转移瘤:常有原发肿瘤史,病变范围广,网膜呈结节样或弥漫性增厚,常伴大量腹腔积液。
(5)网膜梗死:通常发生在右侧升结肠,左侧梗死较少见,其病灶范围一般较大,CT扫描示边缘无高密度环形影,且与肠管有一定距离。
▎肠脂垂炎的预后
原发性肠脂垂炎是一种自限性疾病,可以自愈,并不需要治疗(考虑到当下的医疗环境,也可以采取对症治疗)。如果是其他疾病的并发症所致的肠脂垂炎,我们需要对原发病进行治疗。肠脂垂炎区域,脂肪密度增高区、团块影,最后变小、吸收;如果不能完全吸收,肠脂垂可脱落,发生钙化。

前图为肠脂垂炎发病期,后图为肠脂垂脱落发生的钙化(在影像学中,该钙化称为“腹腔鼠”)。
参考文献:
[1]荣冰水,李梦远,梁洁,孙金磊,李葆青.原发性肠脂垂炎多层螺旋CT表现及诊断价值[J].中外医学研究,2020,18(32):71-73.
[2]史丽娜,杨凯,吴春根.急性肠脂垂炎的临床及CT影像特征分析[J].中华实用诊断与治疗杂志,2020,34(05):491-492.
[3]秦幸茹,闫浩,任莹.肠脂垂炎的CT诊断[J].中国临床医学影像杂志,2016,27(05):349-351.
本文首发:医学界消化肝病频道
本文作者:杜华阳
原标题:《右下腹痛,除了阑尾炎,还可能是这种病……》