结构复杂
难度很大
风险极高
稍有不慎
就会出现
封堵失败
机械瓣损坏
术后溶血
肾功能衰竭
……
很多专家望而却步
国内仅少数医院能够开展
这就是为心脏瓣膜置换术后
严重瓣周漏患者
实施经皮介入封堵治疗
12月9日,华中阜外医院结构性心脏病区专家,为二尖瓣机械瓣瓣膜置换术后严重瓣周漏患者,成功实施经皮介入封堵治疗。
专家们使用3D心脏模型打印技术、X线联合三维食道超声引导技术……该手术难度大,风险高,目前国内仅有少数大的心脏中心能够成熟开展。
47岁的关某来自许昌市,7年前患“风湿性心脏病”,在当地医院做了“二尖瓣机械瓣瓣膜置换术”,术后效果不错。
3个月前,关某突然出现胸闷、气短等症状,并且活动后比较明显,在当地医院治疗后效果差,症状反复出现。

为寻求进一步治疗,患者转到华中阜外医院心外科。心脏彩超显示:收缩期二尖瓣人工机械瓣环外前交界处,可探及一宽约4.4mm反流信号,后交界可探及一宽约3.7mm反流信号。
也就是说,7年前置入的机械瓣瓣膜漏了,而且有两处,均在瓣膜交界处!必须立即进行手术,否则随时都会出现生命危险。
再做手术就是二次手术,手术难度大、风险较高,心内科、心外科等多学科专家会诊,最后决定转入结构性心脏病区实施“经皮二尖瓣瓣周漏介入封堵术”。
由于瓣周漏紧贴二尖瓣瓣环,结构复杂,介入途径要通过主动脉瓣进入左心室,再通过二尖瓣瓣周漏进入左心房,难度较大,风险极高,存在封堵失败、损坏机械瓣、术后溶血至肾衰等风险,严重时甚至出现生命危险!
术前,华中阜外医院结构性心脏病区主任刘煜昊、副主任韩宇博士,运用结合心脏CT、3D心脏模型打印等技术,制定了详细的手术方案。

(术前3D打印模型显示瓣周漏)
12月9日上午8点30分,在科主任刘煜昊的指导下、麻醉科、超声科及导管室的大力配合下,韩宇博士、孙子瑞主治医师精准操作行瓣周漏微创封堵术。
由于患者二尖瓣瓣周结构复杂,确保手术成功且避免并发症,专家们熟练运用X线联合三维食道超声引导技术。

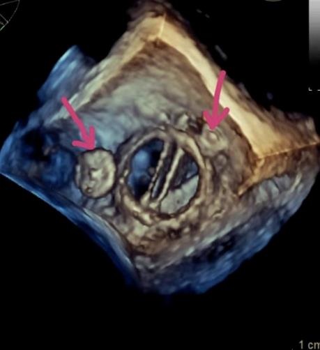
(术中三维超声显示两处瓣周漏完美封堵)
两项技术的融合及术者高超的技巧,避开重重障碍,泥鳅导丝像长了眼睛一样精准通过了瓣周漏,并成功送入输送长鞘,分别将2枚封堵器在瓣周漏处完美释放。

(射线下显示两处瓣周漏封堵器位置良好)
术中食道超声显示封堵器位置良好,两处瓣周漏血流完全消失,二尖瓣功能正常,手术顺利完成,整个过程不到2小时,术后患者直接回病房,目前恢复良好,将于近日出院。

韩宇博士介绍,心脏瓣周漏是在外科心脏瓣膜置换后人工瓣膜外周出现异常的通道,会导致心力衰竭、溶血、感染性心内膜炎等病理生理改变。微创介入封堵手术由于其微创性及良好的手术效果,是此类疾病优先选择的治疗方法。
瓣周漏患者由于瓣周解剖关系的改变,漏口解剖形态及大小多样化,导丝及输送鞘跨过狭长的漏口难度极大;同时易导致残余分流以及溶血的发生;再者就是封堵器不易固定,且容易影响瓣膜功能,因此该手术对术者及手术操作技巧、器械了解、超声诊断等方面的综合能力要求极高。
华中阜外医院结构性心脏病治疗团队在复杂的结构性心脏病诊治方面积累了丰富经验,拥有对此类疾病诊治的传统优势,该手术的完美开展也为此类病患带去了福音。
近年来,华中阜外医院结构性心脏病科在医院的大力支持下,瞄准国际一流水平,开展了经导管心脏瓣膜病介入治疗、先心病介入封堵术、外科术后异常分流及管道狭窄介入治疗、经导管主动脉瓣介入治疗(TAVI)、经导管二尖瓣介入治疗、经导管肺动脉瓣介入治疗及左心耳封堵术等先进技术,均达到了国内先进水平。